• Tel: 858.663.9055
  • SeparatorEmail: info@nsjbio.com
  • Tel: 858.663.9055
  • Email: info@nsjbio.com
Home >> Antibodies >> Glial Fibrillary Acidic Protein Antibody

Glial Fibrillary Acidic Protein Antibody [clone SPM248] (V9022)

  Catalog No Formulation Size Price (USD)  
Image V9022-100UG 0.2 mg/ml in 1X PBS with 0.1 mg/ml BSA (US sourced) and 0.05% sodium azide 100 ug 559
Image
V9022-20UG 0.2 mg/ml in 1X PBS with 0.1 mg/ml BSA (US sourced) and 0.05% sodium azide 20 ug 259
Image
V9022SAF-100UG 1 mg/ml in 1X PBS; BSA free, sodium azide free 100 ug 559
Image
V9022IHC-7ML Prediluted in 1X PBS with 0.1 mg/ml BSA (US sourced) and 0.05% sodium azide; *For IHC use only* 7 ml 559
Bulk quote request
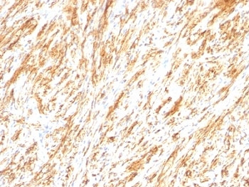
IHC: Formalin-fixed, paraffin-embedded human schwanoma stained with Glial Fibrillary Acidic Protein antibody (clone SPM248).
Western blot testing of human T98G cell lysate with Glial Fibrillary Acidic Protein antibody (clone SPM248). Expected molecular weight 50~55 kDa.
Flow cytometry testing of permeabilized human T98G cells with Glial Fibrillary Acidic Protein antibody (clone SPM248); Red=isotype control, Blue= Glial Fibrillary Acidic Protein antibody.
SDS-PAGE analysis of purified, BSA-free Glial Fibrillary Acidic Protein antibody (clone SPM248) as confirmation of integrity and purity.
Availability 1-3 business days
Species Reactivity Human
Format Purified
Host Mouse
Clonality Monoclonal (mouse origin)
Isotype Mouse IgG1, kappa
Clone Name SPM248
Purity Protein G affinity chromatography
UniProt P14136
Localization Cytoplasmic
Applications Flow Cytometry : 1-2ug/10^6 cells
Western Blot : 1-2ug/ml
Immunohistochemistry (FFPE) : 1-2ug/ml for 30 min at RT (1) (2)
Limitations This Glial Fibrillary Acidic Protein antibody is available for research use only.
Review this product on BioCompare and get a $20 Amazon gift card

Related Products

Description

Glial Fibrillary Acidic Protein antibody detects GFAP, an intermediate filament protein encoded by the GFAP gene. GFAP is expressed primarily in astrocytes of the central nervous system, where it provides structural support, regulates cytoskeletal organization, and contributes to brain homeostasis. Because GFAP is a hallmark astrocyte marker and is upregulated in reactive gliosis and astrocytomas, Glial Fibrillary Acidic Protein antibody is indispensable in neuroscience, pathology, and neurodegenerative disease research.

GFAP filaments maintain astrocyte shape, anchor organelles, and stabilize the cytoskeleton during stress responses. Its expression increases in response to injury, neuroinflammation, and neurodegeneration, making it a reliable indicator of glial activation. In oncology, GFAP detection distinguishes astrocytomas and glioblastomas from non-glial tumors. In developmental biology, GFAP expression marks astrocytic differentiation during brain maturation.

The Glial Fibrillary Acidic Protein antibody clone SPM248 provides specific and reproducible recognition of GFAP. Clone SPM248 has been cited in peer-reviewed publications examining astrocytoma pathology, neuroinflammation, and brain injury responses. Its reproducibility makes it suitable for immunohistochemistry, Western blotting, and immunofluorescence applications.

Research using clone SPM248 has clarified how GFAP upregulation accompanies gliosis following trauma, ischemia, or neurodegenerative processes such as Alzheimer’s disease. In oncology, this antibody has aided classification of gliomas, where GFAP expression confirms astrocytic origin. Studies have also highlighted its use in exploring cytoskeletal dynamics and astrocyte heterogeneity within the central nervous system. Its wide utility makes it a cornerstone reagent in neuroscience and pathology.

NSJ Bioreagents provides this Glial Fibrillary Acidic Protein antibody to support neuroscience, oncology, and pathology research. Alternate names include GFAP antibody, astrocyte marker antibody, intermediate filament protein antibody, glial cytoskeleton antibody, and central nervous system astrocytic protein antibody.

Application Notes

The optimal dilution of the Glial Fibrillary Acidic Protein antibody for each application should be determined by the researcher.

1. Staining of formalin-fixed tissues requires boiling tissue sections in pH 9 10mM Tris with 1mM EDTA for 10-20 min followed by cooling at RT for 20 minutes.
2. The prediluted format is supplied in a dropper bottle and is optimized for use in IHC. After epitope retrieval step (if required), drip mAb solution onto the tissue section and incubate at RT for 30 min.

Immunogen

GFAP isolated from pig spinal cord was used as the immunogen for this Glial Fibrillary Acidic Protein antibody.

Storage

Store the Glial Fibrillary Acidic Protein antibody at 2-8oC (with azide) or aliquot and store at -20oC or colder (without azide).

Cross
Bulk Quote Request Form
Name*:
Organization*:
Email*:
Phone Number*:
Catalog No.*:
Comments and Specifics(amount, formulation, etc.)*:
Validation code: Captchapackage Image


Can't read the image? click here to refresh.
    *required field

Your bulk quote request has been submitted successfully!

Please contact us if you have any questions.