• Tel: 858.663.9055
  • SeparatorEmail: info@nsjbio.com
  • Tel: 858.663.9055
  • Email: info@nsjbio.com
Home >> Antibodies >> GLG1 Antibody / Golgi apparatus protein 1

GLG1 Antibody / Golgi apparatus protein 1 (FY13229)

  Catalog No Formulation Size Price (USD)  
Image FY13229 Adding 0.2 ml of distilled water will yield a concentration of 500 ug/ml 100 ug 449
Bulk quote request
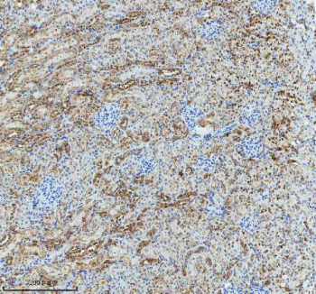
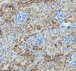
Immunohistochemical staining of GLG1 using anti-GLG1 antibody. GLG1 was detected in a paraffin-embedded section of mouse kidney tissue. Heat mediated antigen retrieval was performed in EDTA buffer (pH 8.0, epitope retrieval solution). The tissue section was blocked with 10% goat serum. The tissue section was then incubated with 2 ug/ml rabbit anti-GLG1 antibody overnight at 4oC. Peroxidase Conjugated Goat Anti-rabbit IgG was used as secondary antibody and incubated for 30 minutes at 37oC. The tissue section was developed using an HRP secondary and DAB substrate.
Western blot analysis of GLG1 using anti-GLG1 antibody. Lane 1: human HepG2 whole cell lysates, Lane 2: human SiHa whole cell lysates, Lane 3: human Hacat whole cell lysates, Lane 4: human whole cell lysates, Lane 5: rat testis tissue lysates, Lane 6: mouse testis tissue lysates. After electrophoresis, proteins were transferred to a nitrocellulose membrane at 150 mA for 50-90 minutes. Blocked the membrane with 5% non-fat milk/TBS for 1.5 hour at RT. The membrane was incubated with rabbit anti-GLG1 antibody at 0.5 ug/ml overnight at 4oC, then washed with TBS-0.1%Tween 3 times with 5 minutes each and probed with a goat anti-rabbit IgG-HRP secondary antibody at a dilution of 1:5000 for 1.5 hour at RT. The signal was developed using enhanced chemiluminescent. Western blot detection of GLG1 shows a predominant band at ~150 kDa, consistent with the mature, highly glycosylated form of the ~135 kDa core protein. A recurrent ~75 kDa species is observed across samples, compatible with a processed luminal fragment of GLG1; species-dependent glycosylation explains the slightly lower migration in mouse and rat.
Immunohistochemical staining of GLG1 using anti-GLG1 antibody. GLG1 was detected in a paraffin-embedded section of mouse kidney tissue. Heat mediated antigen retrieval was performed in EDTA buffer (pH 8.0, epitope retrieval solution). The tissue section was blocked with 10% goat serum. The tissue section was then incubated with 2 ug/ml rabbit anti-GLG1 antibody overnight at 4oC. Peroxidase Conjugated Goat Anti-rabbit IgG was used as secondary antibody and incubated for 30 minutes at 37oC. The tissue section was developed using an HRP secondary and DAB substrate.
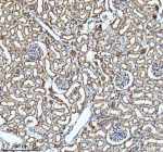
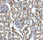
Immunohistochemical staining of GLG1 using anti-GLG1 antibody. GLG1 was detected in a paraffin-embedded section of rat kidney tissue. Heat mediated antigen retrieval was performed in EDTA buffer (pH 8.0, epitope retrieval solution). The tissue section was blocked with 10% goat serum. The tissue section was then incubated with 2 ug/ml rabbit anti-GLG1 antibody overnight at 4oC. Peroxidase Conjugated Goat Anti-rabbit IgG was used as secondary antibody and incubated for 30 minutes at 37oC. The tissue section was developed using an HRP secondary and DAB substrate.
Immunohistochemical staining of GLG1 using anti-GLG1 antibody. GLG1 was detected in a paraffin-embedded section of rat kidney tissue. Heat mediated antigen retrieval was performed in EDTA buffer (pH 8.0, epitope retrieval solution). The tissue section was blocked with 10% goat serum. The tissue section was then incubated with 2 ug/ml rabbit anti-GLG1 antibody overnight at 4oC. Peroxidase Conjugated Goat Anti-rabbit IgG was used as secondary antibody and incubated for 30 minutes at 37oC. The tissue section was developed using an HRP secondary and DAB substrate.
Flow Cytometry analysis of SiHa cells using anti-GLG1 antibody. Overlay histogram showing SiHa cells stained with (Blue line). To facilitate intracellular staining, cells were fixed with 4% paraformaldehyde and permeabilized with permeabilization buffer. The cells were blocked with 10% normal goat serum. And then incubated with rabbit anti-GLG1 antibody (1 ug/million cells) for 30 min at 20oC. DyLight 488 conjugated goat anti-rabbit IgG (5-10 ug/million cells) was used as secondary antibody for 30 minutes at 20oC. Isotype control antibody (Green line) was rabbit IgG (1 ug/million cells) used under the same conditions. Unlabelled sample without incubation with primary antibody and secondary antibody (Red line) was used as a blank control.
Availability 1-2 days
Species Reactivity Human, Mouse, Rat
Format Lyophilized
Host Rabbit
Clonality Polyclonal (rabbit origin)
Isotype Rabbit IgG
Purity Immunogen affinity purified
Buffer Each vial contains 4 mg Trehalose, 0.9 mg NaCl, 0.2 mg Na2HPO4.
UniProt Q92896
Applications Western Blot : 0.25-0.5ug/ml
Immunohistochemistry : 2-5ug/ml
Flow Cytometry : 1-3ug/million cells
ELISA : 0.1-0.5ug/ml
Limitations This GLG1 antibody is available for research use only.
Review this product on BioCompare and get a $20 Amazon gift card

Related Products

Description

GLG1 antibody detects Golgi apparatus protein 1, also known as Golgi glycoprotein 1 or E-selectin ligand 1, a type I transmembrane protein involved in protein trafficking, glycosylation, and cell adhesion. The UniProt recommended name is Golgi apparatus protein 1 (GLG1). This protein serves as a key component of the Golgi matrix and participates in sorting and processing of glycoproteins destined for secretion or membrane localization.

Functionally, GLG1 antibody identifies a 1,474-amino-acid type I membrane glycoprotein containing multiple FG (phenylalanine-glycine)-like and epidermal growth factor (EGF)-like repeats. GLG1 acts as a recycling receptor in the Golgi, binding fibroblast growth factors (FGFs) and contributing to their intracellular trafficking. It also functions as a ligand for E-selectin, mediating leukocyte adhesion to endothelial cells during inflammation. Within the Golgi, GLG1 organizes cisternal structure and assists in the retrieval of escaped proteins from post-Golgi compartments.

The GLG1 gene is located on chromosome 16q22.1 and is widely expressed in epithelial, endothelial, and secretory tissues. Its expression is tightly regulated by growth factors and stress signals, ensuring efficient vesicular transport and glycoprotein processing.

Pathologically, GLG1 dysregulation has been linked to cancer progression, congenital disorders of glycosylation, and inflammatory diseases. Overexpression promotes tumor cell migration and metastasis by enhancing adhesion to E-selectin and modulating FGF signaling. Conversely, reduced GLG1 disrupts protein trafficking and Golgi integrity. Research using GLG1 antibody supports studies in vesicular transport, cell adhesion, and tumor biology.

GLG1 antibody is validated for western blotting, immunohistochemistry, and immunofluorescence to detect Golgi-associated proteins. NSJ Bioreagents provides GLG1 antibody reagents optimized for studies in glycoprotein trafficking, Golgi organization, and cell adhesion signaling.

Structurally, Golgi apparatus protein 1 contains a long luminal region with repetitive domains, a single transmembrane helix, and a short cytoplasmic tail responsible for Golgi retention. The protein's modular structure supports both structural and signaling functions within secretory pathways. This antibody enables exploration of GLG1's role in Golgi function, protein sorting, and inflammatory cell adhesion.

Application Notes

Optimal dilution of the GLG1 antibody should be determined by the researcher.

Immunogen

E.coli-derived human GLG1 recombinant protein (Position: E173-K1040) was used as the immunogen for the GLG1 antibody.

Storage

After reconstitution, the GLG1 antibody can be stored for up to one month at 4oC. For long-term, aliquot and store at -20oC. Avoid repeated freezing and thawing.

Cross
Bulk Quote Request Form
Name*:
Organization*:
Email*:
Phone Number*:
Catalog No.*:
Comments and Specifics(amount, formulation, etc.)*:
Validation code: Captchapackage Image


Can't read the image? click here to refresh.
    *required field

Your bulk quote request has been submitted successfully!

Please contact us if you have any questions.