• Tel: 858.663.9055
  • SeparatorEmail: info@nsjbio.com
  • Tel: 858.663.9055
  • Email: info@nsjbio.com
Home >> Antibodies >> GLDC Antibody / Glycine Decarboxylase

GLDC Antibody / Glycine Decarboxylase [clone 3D3D3] (RQ7134)

  Catalog No Formulation Size Price (USD)  
Image RQ7134 0.5mg/ml if reconstituted with 0.2ml sterile DI water 100 ug 449
Bulk quote request
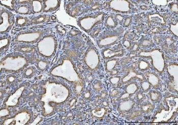
IHC staining of FFPE human thyroiditis tissue with GLDC antibody. HIER: boil tissue sections in pH8 EDTA for 20 min and allow to cool before testing.
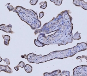
IHC staining of FFPE human placental tissue with GLDC antibody. HIER: boil tissue sections in pH8 EDTA for 20 min and allow to cool before testing.
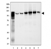
Western blot testing of 1) human HCCP, 2) human 293T, 3) human A549, 4) rat liver, 5) rat kidney, 6) mouse liver and 7) mouse kidney tissue lysate with GLDC antibody. Predicted molecular weight ~113 kDa.
Availability 1-3 business days
Species Reactivity Human, Mouse, Rat
Format Antigen affinity purified
Host Mouse
Clonality Monoclonal (mouse origin)
Isotype Mouse IgG1
Clone Name 3D3D3
Purity Antigen affinity purified
Buffer Lyophilized from 1X PBS with 2% Trehalose
UniProt P23378
Localization Cytoplasmic
Applications Western Blot : 0.5-1ug/ml
Immunohistochemistry (FFPE) : 2-5ug/ml
Limitations This GLDC antibody is available for research use only.
Review this product on BioCompare and get a $20 Amazon gift card

Related Products

Description

Glycine decarboxylase also known as glycine cleavage system P protein or glycine dehydrogenase is an enzyme that in humans is encoded by the GLDC gene. Degradation of glycine is brought about by the glycine cleavage system, which is composed of four mitochondrial protein components: P protein (a pyridoxal phosphate-dependent glycine decarboxylase), H protein (a lipoic acid-containing protein), T protein (a tetrahydrofolate-requiring enzyme), and L protein (a lipoamide dehydrogenase). The protein encoded by this gene is the P protein, which binds to glycine and enables the methylamine group from glycine to be transferred to the T protein. Defects in this gene are a cause of nonketotic hyperglycinemia (NKH).

Application Notes

Optimal dilution of the GLDC antibody should be determined by the researcher.

Immunogen

Recombinant human protein (amino acids K574-S1020) was used as the immunogen for the GLDC antibody.

Storage

After reconstitution, the GLDC antibody can be stored for up to one month at 4oC. For long-term, aliquot and store at -20oC. Avoid repeated freezing and thawing.

Cross
Bulk Quote Request Form
Name*:
Organization*:
Email*:
Phone Number*:
Catalog No.*:
Comments and Specifics(amount, formulation, etc.)*:
Validation code: Captchapackage Image


Can't read the image? click here to refresh.
    *required field

Your bulk quote request has been submitted successfully!

Please contact us if you have any questions.