• Tel: 858.663.9055
  • SeparatorEmail: info@nsjbio.com
  • Tel: 858.663.9055
  • Email: info@nsjbio.com
Home >> Antibodies >> GLCLR Antibody / GCLM

GLCLR Antibody / GCLM [clone GCLM/4069] (V4661)

  Catalog No Formulation Size Price (USD)  
Image V4661-100UG 0.2 mg/ml in 1X PBS with 0.1 mg/ml BSA (US sourced), 0.05% sodium azide 100 ug 559
Image
V4661-20UG 0.2 mg/ml in 1X PBS with 0.1 mg/ml BSA (US sourced), 0.05% sodium azide 20 ug 259
Image
V4661SAF-100UG 1 mg/ml in 1X PBS; BSA free, sodium azide free 100 ug 559
Bulk quote request
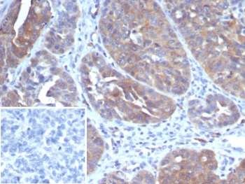
IHC staining of FFPE human ovarian cancer tissue with GLCLR antibody (clone GCLM/4069). Inset: PBS used in place of primary Ab (secondary Ab negative control). HIER: boil tissue sections in pH 9 10mM Tris with 1mM EDTA for 20 min and allow to cool before testing.
SDS-PAGE analysis of purified, BSA-free GLCLR antibody (clone GCLM/4069) as confirmation of integrity and purity.
Availability 1-3 business days
Species Reactivity Human
Format Purified
Host Mouse
Clonality Monoclonal (mouse origin)
Isotype Mouse IgG2a, kappa
Clone Name GCLM/4069
Purity Protein A/G affinity
UniProt P48507
Localization Cytoplasmic
Applications Immunohistochemistry (FFPE) : 1-2ug/ml for 30 min at RT
Limitations This GLCLR antibody is available for research use only.
Review this product on BioCompare and get a $20 Amazon gift card

Related Products

Description

g-glutamylcysteine synthetase (g-GCS) is the rate limiting enzyme for glutathione (L-g-glutamyl-L-cysteinylglycine, GSH) synthesis. GSH is ubiquitous in mammalian cells as a vital intra- and extracellular protective antioxidant. g-GCS is a heterodimer of a heavy catalytic subunit and a light regulatory subunit that is responsive to inflammation, phenolic antioxidants, heat shock, oxidants and cytokines. The human g-GCS gene encoding the 367 amino acid catalytic subunit maps to chromosome 6p12. The human g-GCS gene encoding the regulatory subunit maps to chromosome 1p22.1. The two subunits of g-GCS form a heterodimeric zinc metalloprotein that gains activity through formation of a reversible disulfide bond.

Application Notes

Optimal dilution of the GLCLR antibody should be determined by the researcher.

Immunogen

Recombinant full-length human GLCLR protein was used as the immunogen for the GCLM antibody.

Storage

Aliquot the GLCLR antibody and store frozen at -20oC or colder. Avoid repeated freeze-thaw cycles.

Cross
Bulk Quote Request Form
Name*:
Organization*:
Email*:
Phone Number*:
Catalog No.*:
Comments and Specifics(amount, formulation, etc.)*:
Validation code: Captchapackage Image


Can't read the image? click here to refresh.
    *required field

Your bulk quote request has been submitted successfully!

Please contact us if you have any questions.