• Tel: 858.663.9055
  • SeparatorEmail: info@nsjbio.com
  • Tel: 858.663.9055
  • Email: info@nsjbio.com
Home >> Antibodies >> GLB1 Antibody / Beta galactosidase

GLB1 Antibody / Beta galactosidase [clone 25G11] (RQ8918)

  Catalog No Formulation Size Price (USD)  
Image RQ8918 Antibody in PBS with 0.02% sodium azide, 50% glycerol and 0.4-0.5mg/ml BSA 100 ul 449
Microvalidated Recrabbitmono
Bulk quote request
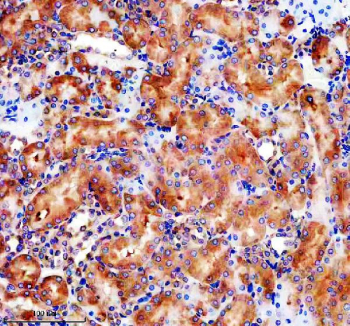
IHC staining of FFPE rat kidney tissue with GLB1 antibody, HRP-secondary and DAB substrate. HIER: boil tissue sections in pH8 EDTA for 20 min and allow to cool before testing.
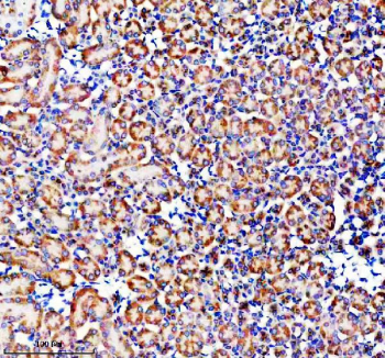
IHC staining of FFPE mouse kidney tissue with GLB1 antibody, HRP-secondary and DAB substrate. HIER: boil tissue sections in pH8 EDTA for 20 min and allow to cool before testing.
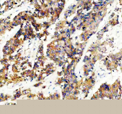
IHC staining of FFPE human colon cancer tissue with GLB1 antibody, HRP-secondary and DAB substrate. HIER: boil tissue sections in pH8 EDTA for 20 min and allow to cool before testing.
Availability 1-3 days
Species Reactivity Human, Mouse, Rat
Format Purified
Host Rabbit
Clonality Recombinant Rabbit Monoclonal
Isotype Rabbit IgG
Clone Name 25G11
Purity Affinity chromatography
UniProt P16278
Localization Cytoplasm
Applications Immunohistochemistry (FFPE) : 1:50
Limitations This GLB1 antibody is available for research use only.
Review this product on BioCompare and get a $20 Amazon gift card

Description

GLB1 (Beta-galactosidase) is a lysosomal hydrolase that catalyzes the breakdown of terminal beta-galactosides into monosaccharides. This enzyme is critical for the proper degradation of glycolipids, glycoproteins, and glycosaminoglycans. Researchers commonly use a GLB1 antibody to study lysosomal function and carbohydrate metabolism.

Deficiency of GLB1 activity is associated with lysosomal storage disorders such as GM1 gangliosidosis and Morquio B disease. These conditions highlight the importance of GLB1 in cellular homeostasis and human health. Employing a GLB1 antibody enables detection of protein expression and activity in both normal physiology and disease contexts.

NSJ Bioreagents provides a high-quality GLB1 antibody validated for applications including western blot, immunohistochemistry, and immunofluorescence. Using a GLB1 antibody ensures sensitive and reproducible results for studies of lysosomal biology, enzymatic function, and inherited metabolic disorders.

Application Notes

Optimal dilution of the GLB1 antibody should be determined by the researcher.

Immunogen

A peptide sequence specific to Beta galactosidase protein was used as the immunogen for the GLB1 antibody.

Storage

After reconstitution, the GLB1 antibody can be stored for up to one month at 4oC. For long-term, aliquot and store at -20oC. Avoid repeated freezing and thawing.

Cross
Bulk Quote Request Form
Name*:
Organization*:
Email*:
Phone Number*:
Catalog No.*:
Comments and Specifics(amount, formulation, etc.)*:
Validation code: Captchapackage Image


Can't read the image? click here to refresh.
    *required field

Your bulk quote request has been submitted successfully!

Please contact us if you have any questions.