• Tel: 858.663.9055
  • SeparatorEmail: info@nsjbio.com
  • Tel: 858.663.9055
  • Email: info@nsjbio.com
Home >> Antibodies >> GKN1 Antibody / Gastrokine 1

GKN1 Antibody / Gastrokine 1 (FY12711)

  Catalog No Formulation Size Price (USD)  
Image FY12711 Adding 0.2 ml of distilled water will yield a concentration of 500 ug/ml 100 ug 449
Bulk quote request
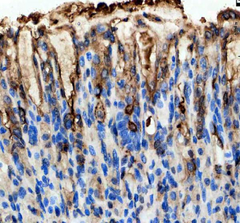
Immunohistochemical staining of GKN1 using anti-GKN1 antibody. GKN1 was detected in a paraffin-embedded section of mouse stomach tissue. Heat mediated antigen retrieval was performed in EDTA buffer (pH 8.0, epitope retrieval solution). The tissue section was blocked with 10% goat serum. The tissue section was then incubated with 2 ug/ml rabbit anti-GKN1 antibody overnight at 4oC. Peroxidase Conjugated Goat Anti-rabbit IgG was used as secondary antibody and incubated for 30 minutes at 37oC. The tissue section was developed using an HRP secondary and DAB substrate.
Western blot analysis of GKN1 using anti-GKN1 antibody. Electrophoresis was performed on a 12% SDS-PAGE gel at 80V (Stacking gel) / 120V (Resolving gel) for 2 hours. Lane 1: mouse stomach tissue lysates. After electrophoresis, proteins were transferred to a nitrocellulose membrane at 150 mA for 50-90 minutes. Blocked the membrane with 5% non-fat milk/TBS for 1.5 hour at RT. The membrane was incubated with rabbit anti-GKN1 antibody at 0.5 ug/ml overnight at 4oC, then washed with TBS-0.1%Tween 3 times with 5 minutes each and probed with a goat anti-rabbit IgG-HRP secondary antibody at a dilution of 1:5000 for 1.5 hour at RT. The signal was developed using an ECL Plus Western Blotting Substrate. The expected molecular weight of GKN1 is ~20 kDa.
Immunohistochemical staining of GKN1 using anti-GKN1 antibody. GKN1 was detected in a paraffin-embedded section of human stomach tissue. Heat mediated antigen retrieval was performed in EDTA buffer (pH 8.0, epitope retrieval solution). The tissue section was blocked with 10% goat serum. The tissue section was then incubated with 2 ug/ml rabbit anti-GKN1 antibody overnight at 4oC. Peroxidase Conjugated Goat Anti-rabbit IgG was used as secondary antibody and incubated for 30 minutes at 37oC. The tissue section was developed using an HRP secondary and DAB substrate.
Immunohistochemical staining of GKN1 using anti-GKN1 antibody. GKN1 was detected in a paraffin-embedded section of human stomach tissue. Heat mediated antigen retrieval was performed in EDTA buffer (pH 8.0, epitope retrieval solution). The tissue section was blocked with 10% goat serum. The tissue section was then incubated with 2 ug/ml rabbit anti-GKN1 antibody overnight at 4oC. Peroxidase Conjugated Goat Anti-rabbit IgG was used as secondary antibody and incubated for 30 minutes at 37oC. The tissue section was developed using an HRP secondary and DAB substrate.
Availability 1-2 days
Species Reactivity Human, Mouse
Format Lyophilized
Host Rabbit
Clonality Polyclonal (rabbit origin)
Isotype Rabbit IgG
Purity Immunogen affinity purified
Buffer Each vial contains 4 mg Trehalose, 0.9 mg NaCl, 0.2 mg Na2HPO4.
UniProt Q9NS71
Localization Cytoplasm, Golgi, secreted
Applications Western Blot : 0.25-0.5ug/ml
Immunohistochemistry : 2-5ug/ml
ELISA : 0.1-0.5ug/ml
Limitations This GKN1 antibody is available for research use only.
Review this product on BioCompare and get a $20 Amazon gift card

Description

GKN1 antibody detects Gastrokine-1 (also known as Antral mucosal protein or AMP-18), a secreted epithelial protein that promotes gastric mucosal integrity and repair. Encoded by the GKN1 gene on chromosome 2p13.3, this small peptide is abundantly expressed in the stomach epithelium, where it supports epithelial cell survival, migration, and restitution following injury. Gastrokine-1 contains a BRICHOS domain that mediates protein-protein interactions involved in epithelial protection and regeneration. It is secreted into the gastric lumen and acts both locally and paracrinally to maintain mucosal homeostasis.

GKN1 expression is restricted to normal gastric mucosa and is markedly downregulated or lost in gastric cancer, making it a useful biomarker for gastric differentiation and neoplastic transformation. Functional studies demonstrate that GKN1 suppresses gastric tumor cell proliferation, modulates NF-kB signaling, and inhibits epithelial-mesenchymal transition. Loss of GKN1 leads to increased susceptibility to inflammation-induced damage and carcinogenesis. By promoting mucosal healing and preserving epithelial barrier integrity, GKN1 functions as a tumor suppressor and protective factor in the gastrointestinal tract.

The GKN1 antibody is widely used in gastrointestinal biology, cancer, and inflammation research to detect Gastrokine-1 in tissue sections or cell lysates. In immunohistochemistry, GKN1 localizes predominantly to the cytoplasm and secretory granules of surface mucous cells. Western blotting identifies a 19 kilodalton band corresponding to the mature secreted form. The antibody assists in distinguishing normal gastric tissue from malignant lesions, as GKN1 expression is largely absent in gastric adenocarcinoma but retained in non-neoplastic mucosa. This differential expression pattern has diagnostic and prognostic implications.

Beyond the stomach, low levels of GKN1 are occasionally detected in duodenal and pancreatic tissues, suggesting secondary protective roles in the upper gastrointestinal tract. The protein also exhibits antibacterial activity and modulates host responses to Helicobacter pylori infection. Because of these diverse functions, the GKN1 antibody supports research into epithelial regeneration, cancer suppression, and gastric disease pathogenesis. NSJ Bioreagents provides this antibody validated for its applications, enabling accurate analysis of Gastrokine-1 expression in health and disease.

Application Notes

Optimal dilution of the GKN1 antibody should be determined by the researcher.

Immunogen

E.coli-derived human GKN1 recombinant protein (Position: M1-N185) was used as the immunogen for the GKN1 antibody.

Storage

After reconstitution, the GKN1 antibody can be stored for up to one month at 4oC. For long-term, aliquot and store at -20oC. Avoid repeated freezing and thawing.

Cross
Bulk Quote Request Form
Name*:
Organization*:
Email*:
Phone Number*:
Catalog No.*:
Comments and Specifics(amount, formulation, etc.)*:
Validation code: Captchapackage Image


Can't read the image? click here to refresh.
    *required field

Your bulk quote request has been submitted successfully!

Please contact us if you have any questions.