• Tel: 858.663.9055
  • SeparatorEmail: info@nsjbio.com
  • Tel: 858.663.9055
  • Email: info@nsjbio.com
Home >> Antibodies >> GIRK2 Antibody / G protein activated inward rectifier potassium channel 2

GIRK2 Antibody / G protein activated inward rectifier potassium channel 2 [clone KCNJ6/7559] (V4840)

  Catalog No Formulation Size Price (USD)  
Image V4840-100UG 0.2 mg/ml in 1X PBS with 0.1 mg/ml BSA (US sourced), 0.05% sodium azide 100 ug 559
Image
V4840-20UG 0.2 mg/ml in 1X PBS with 0.1 mg/ml BSA (US sourced), 0.05% sodium azide 20 ug 259
Image
V4840SAF-100UG 1 mg/ml in 1X PBS; BSA free, sodium azide free 100 ug 559
Bulk quote request
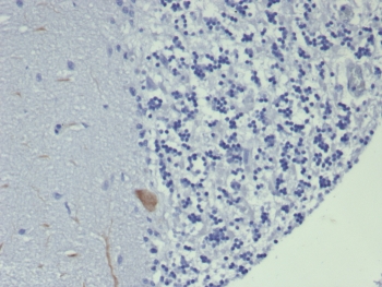
IHC staining of FFPE human brain tissue with GIRK2 antibody (clone KCNJ6/7559) at 2ug/ml. HIER: boil tissue sections in pH 9 10mM Tris with 1mM EDTA for 20 min and allow to cool before testing.
SDS-PAGE analysis of purified, BSA-free GIRK2 antibody (clone KCNJ6/7559) as confirmation of integrity and purity.
Availability 1-3 business days
Species Reactivity Human
Format Purified
Host Mouse
Clonality Monoclonal (mouse origin)
Isotype Mouse IgG2, kappa
Clone Name KCNJ6/7559
Purity Protein A/G affinity
UniProt P48051
Localization Membrane
Applications Immunohistochemistry (FFPE) : 1-2ug/ml for 30 min at RT
Limitations This GIRK2 antibody is available for research use only.
Review this product on BioCompare and get a $20 Amazon gift card

Related Products

Description

This gene encodes a member of the G protein-coupled inwardly-rectifying potassium channel family of inward rectifier potassium channels. This type of potassium channel allows a greater flow of potassium into the cell than out of it. These proteins modulate many physiological processes, including heart rate in cardiac cells and circuit activity in neuronal cells, through G-protein coupled receptor stimulation. Mutations in this gene are associated with Keppen-Lubinsky Syndrome, a rare condition characterized by severe developmental delay, facial dysmorphism, and intellectual disability. [provided by RefSeq, Apr 2015]

Application Notes

Optimal dilution of the GIRK2 antibody should be determined by the researcher.

Immunogen

A recombinant fragment of human KCNJ6 protein was used as the immunogen for the GIRK2 antibody.

Storage

Aliquot the GIRK2 antibody and store frozen at -20oC or colder. Avoid repeated freeze-thaw cycles.

Cross
Bulk Quote Request Form
Name*:
Organization*:
Email*:
Phone Number*:
Catalog No.*:
Comments and Specifics(amount, formulation, etc.)*:
Validation code: Captchapackage Image


Can't read the image? click here to refresh.
    *required field

Your bulk quote request has been submitted successfully!

Please contact us if you have any questions.