• Tel: 858.663.9055
  • SeparatorEmail: info@nsjbio.com
  • Tel: 858.663.9055
  • Email: info@nsjbio.com
Home >> Antibodies >> GIPC1 Antibody / PDZ domain-containing protein GIPC1

GIPC1 Antibody / PDZ domain-containing protein GIPC1 (FY13277)

  Catalog No Formulation Size Price (USD)  
Image FY13277 Adding 0.2 ml of distilled water will yield a concentration of 500 ug/ml 100 ug 449
Bulk quote request
Immunofluorescent staining of GIPC1 using anti-GIPC1 antibody (red). GIPC1 was detected in an immunocytochemical section of U2OS cells. Enzyme antigen retrieval was performed using IHC enzyme antigen retrieval reagent for 15 mins. The cells were blocked with 10% goat serum. And then incubated with 5 ug/ml rabbit anti-GIPC1 antibody overnight at 4oC. DyLight 594 Conjugated Goat Anti-Rabbit IgG was used as secondary antibody at 1:100 dilution and incubated for 30 minutes at 37oC. The section was counterstained with DAPI nuclear stain (blue). The tissue section was developed using Phalloidin-iFluor 488 Conjugated (green). Visualize using a fluorescence microscope and filter sets appropriate for the label used.
Western blot analysis of GIPC1 using anti-GIPC1 antibody. Lane 1: human HepG2 whole cell lysates, Lane 2: human Hela whole cell lysates, Lane 3: rat skeletal muscle tissue lysates, Lane 4: rat brain tissue lysates, Lane 5: rat NRK whole cell lysates, Lane 6: mouse skeletal muscle tissue lysates, Lane 7: mouse brain tissue lysates, Lane 8: mouse C2C12 whole cell lysates. After electrophoresis, proteins were transferred to a nitrocellulose membrane at 150 mA for 50-90 minutes. Blocked the membrane with 5% non-fat milk/TBS for 1.5 hour at RT. The membrane was incubated with rabbit anti-GIPC1 antibody at 0.25 ug/ml overnight at 4oC, then washed with TBS-0.1%Tween 3 times with 5 minutes each and probed with a goat anti-rabbit IgG-HRP secondary antibody at a dilution of 1:5000 for 1.5 hour at RT. The signal was developed using enhanced chemiluminescent. A predominant band is detected at an approximately 40 kDa in all samples, running slightly above the predicted ~36 kDa size but consistent with the reported apparent molecular weight of endogenous GIPC1. HepG2 lysate shows a closely spaced doublet, likely reflecting differential phosphorylation or processing, and rodent skeletal muscle displays an additional ~45 kDa band consistent with muscle-specific post translationally modified GIPC1 species rather than alternative isoforms.
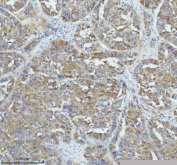
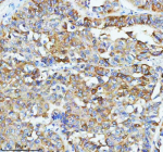
Immunohistochemical staining of GIPC1 using anti-GIPC1 antibody. GIPC1 was detected in a paraffin-embedded section of human liver cancer tissue. Heat mediated antigen retrieval was performed in EDTA buffer (pH 8.0, epitope retrieval solution). The tissue section was blocked with 10% goat serum. The tissue section was then incubated with 2 ug/ml rabbit anti-GIPC1 antibody overnight at 4oC. Peroxidase Conjugated Goat Anti-rabbit IgG was used as secondary antibody and incubated for 30 minutes at 37oC. The tissue section was developed using an HRP secondary and DAB substrate.
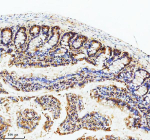
Immunohistochemical staining of GIPC1 using anti-GIPC1 antibody. GIPC1 was detected in a paraffin-embedded section of mouse small intestine tissue. Heat mediated antigen retrieval was performed in EDTA buffer (pH 8.0, epitope retrieval solution). The tissue section was blocked with 10% goat serum. The tissue section was then incubated with 2 ug/ml rabbit anti-GIPC1 antibody overnight at 4oC. Peroxidase Conjugated Goat Anti-rabbit IgG was used as secondary antibody and incubated for 30 minutes at 37oC. The tissue section was developed using an HRP secondary and DAB substrate.
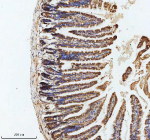
Immunohistochemical staining of GIPC1 using anti-GIPC1 antibody. GIPC1 was detected in a paraffin-embedded section of mouse small intestine tissue. Heat mediated antigen retrieval was performed in EDTA buffer (pH 8.0, epitope retrieval solution). The tissue section was blocked with 10% goat serum. The tissue section was then incubated with 2 ug/ml rabbit anti-GIPC1 antibody overnight at 4oC. Peroxidase Conjugated Goat Anti-rabbit IgG was used as secondary antibody and incubated for 30 minutes at 37oC. The tissue section was developed using an HRP secondary and DAB substrate.
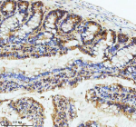
Immunohistochemical staining of GIPC1 using anti-GIPC1 antibody. GIPC1 was detected in a paraffin-embedded section of rat small intestine tissue. Heat mediated antigen retrieval was performed in EDTA buffer (pH 8.0, epitope retrieval solution). The tissue section was blocked with 10% goat serum. The tissue section was then incubated with 2 ug/ml rabbit anti-GIPC1 antibody overnight at 4oC. Peroxidase Conjugated Goat Anti-rabbit IgG was used as secondary antibody and incubated for 30 minutes at 37oC. The tissue section was developed using an HRP secondary and DAB substrate.
Immunohistochemical staining of GIPC1 using anti-GIPC1 antibody. GIPC1 was detected in a paraffin-embedded section of rat small intestine tissue. Heat mediated antigen retrieval was performed in EDTA buffer (pH 8.0, epitope retrieval solution). The tissue section was blocked with 10% goat serum. The tissue section was then incubated with 2 ug/ml rabbit anti-GIPC1 antibody overnight at 4oC. Peroxidase Conjugated Goat Anti-rabbit IgG was used as secondary antibody and incubated for 30 minutes at 37oC. The tissue section was developed using an HRP secondary and DAB substrate.
Immunohistochemical staining of GIPC1 using anti-GIPC1 antibody. GIPC1 was detected in a paraffin-embedded section of human liver cancer tissue. Heat mediated antigen retrieval was performed in EDTA buffer (pH 8.0, epitope retrieval solution). The tissue section was blocked with 10% goat serum. The tissue section was then incubated with 2 ug/ml rabbit anti-GIPC1 antibody overnight at 4oC. Peroxidase Conjugated Goat Anti-rabbit IgG was used as secondary antibody and incubated for 30 minutes at 37oC. The tissue section was developed using an HRP secondary and DAB substrate.
Flow Cytometry analysis of HepG2 cells using anti-GIPC1 antibody. Overlay histogram showing HepG2 cells stained with (Blue line). The cells were fixed with 4% paraformaldehyde and blocked with 10% normal goat serum. And then incubated with rabbit anti-GIPC1 antibody (1 ug/million cells) for 30 min at 20oC. DyLight 488 conjugated goat anti-rabbit IgG (5-10 ug/million cells) was used as secondary antibody for 30 minutes at 20oC. Isotype control antibody (Green line) was rabbit IgG (1 ug/million cells) used under the same conditions. Unlabelled sample without incubation with primary antibody and secondary antibody (Red line) was used as a blank control.
Immunoprecipitation of GIPC1 protein from 500ug of human A431 whole cell lysate with 2ug of GIPC1 antibody.
Availability 1-2 days
Species Reactivity Human, Mouse, Rat
Format Lyophilized
Host Rabbit
Clonality Polyclonal (rabbit origin)
Isotype Rabbit IgG
Purity Immunogen affinity purified
Buffer Each vial contains 4 mg Trehalose, 0.9 mg NaCl, 0.2 mg Na2HPO4.
UniProt O14908
Localization Cytoplasm, cell membrane, nucleus
Applications Western Blot : 0.25-0.5ug/ml
Immunohistochemistry : 2-5ug/ml
Immunocytochemistry : 5ug/ml
Immunofluorescence : 5ug/ml
Flow Cytometry : 1-3ug/million cells
ELISA : 0.1-0.5ug/ml
Immunoprecipitation : 2ug per 500ug of lysate
Limitations This GIPC1 antibody is available for research use only.
Review this product on BioCompare and get a $20 Amazon gift card

Related Products

Description

GIPC1 antibody detects PDZ domain-containing protein GIPC1, a cytoplasmic adaptor protein that regulates receptor trafficking, cell signaling, and cytoskeletal organization. The UniProt recommended name is PDZ domain-containing protein GIPC1 (GIPC1). This multifunctional scaffold protein interacts with a wide variety of transmembrane receptors, G-protein coupled receptors, and signaling adaptors through its conserved PDZ domain, influencing signal transduction and vesicular transport.

Functionally, GIPC1 antibody identifies a 333-amino-acid protein that contains a central PDZ domain responsible for binding the C-terminal motifs of target proteins such as TGFbeta receptor III, GLUT1, and neuropilin-1. GIPC1 participates in endocytic recycling and intracellular trafficking of these receptors, thereby modulating cellular responses to growth factors, adhesion molecules, and hormones. Additionally, GIPC1 acts as a linker between membrane receptors and the actin cytoskeleton via interactions with myosin VI, regulating cell polarity and motility.

The GIPC1 gene is located on chromosome 19p13.12 and is expressed ubiquitously, with high levels found in epithelial, neuronal, and endothelial tissues. Its expression is regulated during development and by extracellular stimuli such as growth factors and oxidative stress. GIPC1 is essential for maintaining proper vesicle transport and receptor localization in diverse cell types.

Pathologically, altered GIPC1 expression has been implicated in cancer progression, angiogenesis, and neurological disorders. Overexpression in breast, pancreatic, and gastric cancers enhances tumor cell proliferation and migration by stabilizing growth factor receptor signaling. In neurons, dysregulated GIPC1 may disrupt synaptic vesicle trafficking and signaling. Research using GIPC1 antibody supports studies in receptor trafficking, cancer signaling, and cytoskeletal regulation.

GIPC1 antibody is validated for western blotting, immunohistochemistry, and immunofluorescence to detect adaptor proteins involved in signal transduction. NSJ Bioreagents provides GIPC1 antibody reagents optimized for research in receptor recycling, endocytosis, and actin-coupled signaling pathways.

Structurally, PDZ domain-containing protein GIPC1 includes an N-terminal GH1 domain for dimerization, a central PDZ domain for C-terminal binding to target proteins, and a C-terminal GH2 domain for myosin VI interaction. This modular structure enables GIPC1 to act as a versatile scaffold that coordinates endocytic transport and receptor-mediated signaling. This antibody enables exploration of GIPC1's role in intracellular trafficking, cancer progression, and signal compartmentalization.

Application Notes

Optimal dilution of the GIPC1 antibody should be determined by the researcher.

Immunogen

E.coli-derived human GIPC1 recombinant protein (Position: H66-Y333) was used as the immunogen for the GIPC1 antibody.

Storage

After reconstitution, the GIPC1 antibody can be stored for up to one month at 4oC. For long-term, aliquot and store at -20oC. Avoid repeated freezing and thawing.

Cross
Bulk Quote Request Form
Name*:
Organization*:
Email*:
Phone Number*:
Catalog No.*:
Comments and Specifics(amount, formulation, etc.)*:
Validation code: Captchapackage Image


Can't read the image? click here to refresh.
    *required field

Your bulk quote request has been submitted successfully!

Please contact us if you have any questions.