• Tel: 858.663.9055
  • SeparatorEmail: info@nsjbio.com
  • Tel: 858.663.9055
  • Email: info@nsjbio.com
Home >> Antibodies >> GIMAP4 Antibody / GTPase IMAP family member 4

GIMAP4 Antibody / GTPase IMAP family member 4 (FY12071)

  Catalog No Formulation Size Price (USD)  
Image FY12071 Adding 0.2 ml of distilled water will yield a concentration of 500 ug/ml 100 ug 449
Bulk quote request
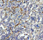
IHC analysis of GIMAP4 using anti-GIMAP4 antibody. GIMAP4 was detected in a paraffin-embedded section of human ovarian cancer tissue. Heat mediated antigen retrieval was performed in EDTA buffer (pH 8.0, epitope retrieval solution). The tissue section was blocked with 10% goat serum. The tissue section was then incubated with 2 ug/ml rabbit anti-GIMAP4 antibody overnight at 4oC. Peroxidase Conjugated Goat Anti-rabbit IgG was used as secondary antibody and incubated for 30 minutes at 37oC. The tissue section was developed using an HRP secondary and DAB substrate.
Western blot analysis of GIMAP4 using anti-GIMAP4 antibody. Lane 1: human Jurkat whole cell lysates, Lane 2: rat spleen tissue lysates, Lane 3: rat thymus tissue lysates, Lane 4: rat lung tissue lysates, Lane 5: mouse spleen tissue lysates, Lane 6: mouse thymus tissue lysates, Lane 7: mouse lung tissue lysates. After electrophoresis, proteins were transferred to a nitrocellulose membrane at 150 mA for 50-90 minutes. Blocked the membrane with 5% non-fat milk/TBS for 1.5 hour at RT. The membrane was incubated with rabbit anti-GIMAP4 antibody at 0.5 ug/ml overnight at 4oC, then washed with TBS-0.1%Tween 3 times with 5 minutes each and probed with a goat anti-rabbit IgG-HRP secondary antibody at a dilution of 1:5000 for 1.5 hour at RT. The signal was developed using enhanced chemiluminescent. A specific band was detected for GIMAP4 at approximately 38 kDa. The expected band size for GIMAP4 is at 38 kDa.
IHC analysis of GIMAP4 using anti-GIMAP4 antibody. GIMAP4 was detected in a paraffin-embedded section of human ovarian cancer tissue. Heat mediated antigen retrieval was performed in EDTA buffer (pH 8.0, epitope retrieval solution). The tissue section was blocked with 10% goat serum. The tissue section was then incubated with 2 ug/ml rabbit anti-GIMAP4 antibody overnight at 4oC. Peroxidase Conjugated Goat Anti-rabbit IgG was used as secondary antibody and incubated for 30 minutes at 37oC. The tissue section was developed using an HRP secondary and DAB substrate.
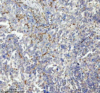
IHC analysis of GIMAP4 using anti-GIMAP4 antibody. GIMAP4 was detected in a paraffin-embedded section of rat thymus tissue. Heat mediated antigen retrieval was performed in EDTA buffer (pH 8.0, epitope retrieval solution). The tissue section was blocked with 10% goat serum. The tissue section was then incubated with 2 ug/ml rabbit anti-GIMAP4 antibody overnight at 4oC. Peroxidase Conjugated Goat Anti-rabbit IgG was used as secondary antibody and incubated for 30 minutes at 37oC. The tissue section was developed using an HRP secondary and DAB substrate.
IHC analysis of GIMAP4 using anti-GIMAP4 antibody. GIMAP4 was detected in a paraffin-embedded section of rat thymus tissue. Heat mediated antigen retrieval was performed in EDTA buffer (pH 8.0, epitope retrieval solution). The tissue section was blocked with 10% goat serum. The tissue section was then incubated with 2 ug/ml rabbit anti-GIMAP4 antibody overnight at 4oC. Peroxidase Conjugated Goat Anti-rabbit IgG was used as secondary antibody and incubated for 30 minutes at 37oC. The tissue section was developed using an HRP secondary and DAB substrate.
Flow Cytometry analysis of JK cells using anti-GIMAP4 antibody. Overlay histogram showing JK cells stained with (Blue line). To facilitate intracellular staining, cells were fixed with 4% paraformaldehyde and permeabilized with permeabilization buffer. The cells were blocked with 10% normal goat serum. And then incubated with rabbit anti-GIMAP4 antibody (1 ug/million cells) for 30 min at 20oC. DyLight 488 conjugated goat anti-rabbit IgG (5-10 ug/million cells) was used as secondary antibody for 30 minutes at 20oC. Isotype control antibody (Green line) was rabbit IgG (1 ug/million cells) used under the same conditions. Unlabelled sample without incubation with primary antibody and secondary antibody (Red line) was used as a blank control.
Availability 1-2 days
Species Reactivity Human, Mouse, Rat
Format Lyophilized
Host Rabbit
Clonality Polyclonal (rabbit origin)
Isotype Rabbit IgG
Purity Immunogen affinity purified
Buffer Each vial contains 4 mg Trehalose, 0.9 mg NaCl, 0.2 mg Na2HPO4.
UniProt Q9NUV9
Applications Western Blot : 0.25-0.5ug/ml
Immunohistochemistry : 2-5ug/ml
Flow Cytometry : 1-3ug/million cells
ELISA : 0.1-0.5ug/ml
Limitations This GIMAP4 antibody is available for research use only.
Review this product on BioCompare and get a $20 Amazon gift card

Description

GIMAP4 antibody detects GTPase IMAP family member 4, encoded by the GIMAP4 gene. GTPase IMAP family member 4 is a small GTP binding protein expressed in lymphoid tissues, where it regulates apoptosis and immune homeostasis. GIMAP4 antibody provides researchers with a tool for studying lymphocyte biology, programmed cell death, and immune regulation.

GTPase IMAP family member 4 is a member of the GIMAP (GTPase of the immunity-associated protein) family, which is enriched in hematopoietic cells. Research using GIMAP4 antibody has shown that it localizes to the cytoplasm and regulates T cell apoptosis by influencing mitochondrial membrane potential and caspase activation. These findings highlight its role in immune cell turnover and tolerance.

Studies with GIMAP4 antibody have demonstrated that loss of GIMAP4 function alters T cell lifespan, disrupting normal immune balance. In model organisms, deficiency of GIMAP4 results in prolonged T cell survival and immune dysregulation. Conversely, overexpression enhances apoptosis, suggesting that GIMAP4 fine-tunes immune cell homeostasis.

Dysregulation of GTPase IMAP family member 4 has been associated with autoimmune disease and cancer. Research using GIMAP4 antibody has shown that altered expression influences susceptibility to autoimmune conditions, where prolonged T cell survival contributes to autoreactivity. Reduced expression has been observed in certain leukemias, suggesting tumor suppressive functions.

GIMAP4 antibody is widely applied in immunohistochemistry, western blotting, and flow cytometry. Immunohistochemistry highlights expression in lymphoid tissues, western blotting quantifies levels in T cell lines, and flow cytometry identifies expression across immune cell subsets. These applications make GIMAP4 antibody indispensable in immunology research.

By providing validated GIMAP4 antibody reagents, NSJ Bioreagents supports studies into apoptosis, immune regulation, and disease. Detection of GTPase IMAP family member 4 provides researchers with insight into how GTPases regulate lymphocyte homeostasis and pathology.

Application Notes

Optimal dilution of the GIMAP4 antibody should be determined by the researcher.

Immunogen

E.coli-derived human GIMAP4 recombinant protein (Position: R53-R224) was used as the immunogen for the GIMAP4 antibody.

Storage

After reconstitution, the GIMAP4 antibody can be stored for up to one month at 4oC. For long-term, aliquot and store at -20oC. Avoid repeated freezing and thawing.

Cross
Bulk Quote Request Form
Name*:
Organization*:
Email*:
Phone Number*:
Catalog No.*:
Comments and Specifics(amount, formulation, etc.)*:
Validation code: Captchapackage Image


Can't read the image? click here to refresh.
    *required field

Your bulk quote request has been submitted successfully!

Please contact us if you have any questions.