• Tel: 858.663.9055
  • SeparatorEmail: info@nsjbio.com
  • Tel: 858.663.9055
  • Email: info@nsjbio.com
Home >> Antibodies >> GIGYF1 Antibody / GRB10-interacting GYF protein 1

GIGYF1 Antibody / GRB10-interacting GYF protein 1 (FY12237)

  Catalog No Formulation Size Price (USD)  
Image FY12237 Adding 0.2 ml of distilled water will yield a concentration of 500 ug/ml 100 ug 449
Bulk quote request
Flow Cytometry analysis of SH-SY5Y cells using anti-GIGYF1 antibody. Overlay histogram showing SH-SY5Y cells stained with (Blue line). To facilitate intracellular staining, cells were fixed with 4% paraformaldehyde and permeabilized with permeabilization buffer. The cells were blocked with 10% normal goat serum. And then incubated with rabbit anti-GIGYF1 antibody (1 ug/million cells) for 30 min at 20oC. DyLight 488 conjugated goat anti-rabbit IgG (5-10 ug/million cells) was used as secondary antibody for 30 minutes at 20oC. Isotype control antibody (Green line) was rabbit IgG (1 ug/million cells) used under the same conditions. Unlabelled sample (Red line) was also used as a control.
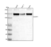
Western blot analysis of GIGYF1 using anti-GIGYF1 antibody. Lane 1: human K562 whole cell lysates, Lane 2: human THP-1 whole cell lysates, Lane 3: human Hela whole cell lysates. After electrophoresis, proteins were transferred to a nitrocellulose membrane at 150 mA for 50-90 minutes. Blocked the membrane with 5% non-fat milk/TBS for 1.5 hour at RT. The membrane was incubated with rabbit anti-GIGYF1 antibody at 0.5 ug/ml overnight at 4oC, then washed with TBS-0.1%Tween 3 times with 5 minutes each and probed with a goat anti-rabbit IgG-HRP secondary antibody at a dilution of 1:5000 for 1.5 hour at RT. The signal was developed using enhanced chemiluminescent. The expected band size for GIGYF1 is at 115 kDa, but it can be observed at 140-150 kDa.
Availability 1-2 days
Species Reactivity Human
Format Lyophilized
Host Rabbit
Clonality Polyclonal (rabbit origin)
Isotype Rabbit IgG
Purity Immunogen affinity purified
Buffer Each vial contains 4 mg Trehalose, 0.9 mg NaCl, 0.2 mg Na2HPO4.
UniProt O75420
Applications Western Blot : 0.25-0.5ug/ml
Flow Cytometry : 1-3ug/million cells
ELISA : 0.1-0.5ug/ml
Limitations This GIGYF1 antibody is available for research use only.
Review this product on BioCompare and get a $20 Amazon gift card

Description

GIGYF1 antibody detects GRB10-interacting GYF protein 1, encoded by the GIGYF1 gene on chromosome 7q22. GIGYF1 antibody is widely applied in studies of insulin signaling, mRNA regulation, and cell growth. GIGYF1 interacts with GRB10, an adaptor protein in insulin and growth factor receptor pathways, modulating downstream signaling. It also participates in post-transcriptional regulation by binding mRNA cap-binding proteins and translational regulators. Expression is detected in multiple tissues, including brain, pancreas, and muscle, consistent with its roles in metabolism and growth control.

Structurally, GIGYF1 is a protein containing a GYF domain, which recognizes proline-rich motifs, and regions mediating interactions with GRB10 and mRNA-binding proteins. Alternative splicing produces isoforms with variable interaction capacity. Its dual role in signaling and RNA biology reflects structural versatility.

Functionally, GIGYF1 acts as a scaffold linking GRB10 to insulin receptor pathways, regulating PI3K-Akt and MAPK cascades. It also partners with 4EHP, a cap-binding protein, to repress translation of specific mRNAs. Through these mechanisms, GIGYF1 influences metabolism, cell proliferation, and stress responses. Researchers use GIGYF1 antibody to study insulin signaling, translational repression, and metabolic control.

Clinically, GIGYF1 has been implicated in diabetes, neurodevelopmental disorders, and cancer. Genetic variants in GIGYF1 are associated with type 2 diabetes risk and altered glucose homeostasis. Loss-of-function mutations have been linked to developmental delay, autism, and epilepsy, highlighting roles in brain function. Dysregulated expression contributes to oncogenesis, where altered receptor signaling drives proliferation. NSJ Bioreagents supplies GIGYF1 antibody to support studies in endocrinology, neurology, and oncology.

Experimentally, GIGYF1 antibody is used in western blotting to detect the ~160 kDa protein, in immunofluorescence to study subcellular localization, and in immunohistochemistry to evaluate tissue-specific expression. Co-immunoprecipitation with GIGYF1 antibody identifies complexes containing GRB10, 4EHP, and translational regulators.

Application Notes

Optimal dilution of the GIGYF1 antibody should be determined by the researcher.

Immunogen

E.coli-derived human GIGYF1 recombinant protein (Position: K55-E950) was used as the immunogen for the GIGYF1 antibody.

Storage

After reconstitution, the GIGYF1 antibody can be stored for up to one month at 4oC. For long-term, aliquot and store at -20oC. Avoid repeated freezing and thawing.

Cross
Bulk Quote Request Form
Name*:
Organization*:
Email*:
Phone Number*:
Catalog No.*:
Comments and Specifics(amount, formulation, etc.)*:
Validation code: Captchapackage Image


Can't read the image? click here to refresh.
    *required field

Your bulk quote request has been submitted successfully!

Please contact us if you have any questions.