• Tel: 858.663.9055
  • SeparatorEmail: info@nsjbio.com
  • Tel: 858.663.9055
  • Email: info@nsjbio.com
Home >> Antibodies >> Giantin Antibody / GOLGB1

Giantin Antibody / GOLGB1 (RQ6771)

  Catalog No Formulation Size Price (USD)  
Image RQ6771 0.5mg/ml if reconstituted with 0.2ml sterile DI water 100 ug 449
Bulk quote request
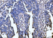
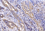
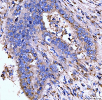
IHC staining of FFPE human appendiceal adenocarcinoma tissue with Giantin antibody. HIER: boil tissue sections in pH8 EDTA for 20 min and allow to cool before testing.
IHC staining of FFPE human gall bladder adenosquamous carcinoma tissue with Giantin antibody. HIER: boil tissue sections in pH8 EDTA for 20 min and allow to cool before testing.
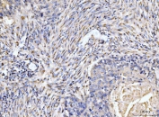
IHC staining of FFPE human breast cancer tissue with Giantin antibody. HIER: boil tissue sections in pH8 EDTA for 20 min and allow to cool before testing.
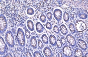
IHC staining of FFPE human colonic adenocarcinoma tissue with Giantin antibody. HIER: boil tissue sections in pH8 EDTA for 20 min and allow to cool before testing.
IHC staining of FFPE human esophageal squamous carcinoma tissue with Giantin antibody. HIER: boil tissue sections in pH8 EDTA for 20 min and allow to cool before testing.
IHC staining of FFPE human gastric adenocarcinoma tissue with Giantin antibody. HIER: boil tissue sections in pH8 EDTA for 20 min and allow to cool before testing.
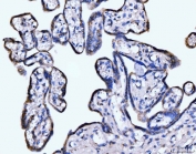
IHC staining of FFPE human placental tissue with Giantin antibody. HIER: boil tissue sections in pH8 EDTA for 20 min and allow to cool before testing.
Immunofluorescent staining of FFPE human RT4 cells with Giantin antibody (green) and DAPI nuclear stain (blue). HIER: steam section in pH6 citrate buffer for 20 min.
Western blot testing of human HeLa cell lysate with Giantin antibody. Predicted molecular weight ~376 kDa.
Flow cytometry testing of human HepG2 cells with Giantin antibody at 1ug/million cells (blocked with goat sera); Red=cells alone, Green=isotype control, Blue= Giantin antibody.
Availability 1-3 business days
Species Reactivity Human
Format Antigen affinity purified
Host Rabbit
Clonality Polyclonal (rabbit origin)
Isotype Rabbit IgG
Purity Antigen affinity purified
Buffer Lyophilized from 1X PBS with 2% Trehalose
UniProt Q14789
Localization Cytoplasmic (Golgi)
Applications Western Blot : 1-2ug/ml
Immunohistochemistry (FFPE) : 2-5ug/ml
Immunofluorescence (FFPE) : 5ug/ml
Flow Cytometry : 1-3ug/million cells
Direct ELISA : 0.1-0.5ug/ml
Limitations This Giantin antibody is available for research use only.
Review this product on BioCompare and get a $20 Amazon gift card

Description

Giantin or Golgin subfamily B member 1 is a protein that in humans is encoded by the GOLGB1 gene. GOLGB1, also known as Giantin and Macrogolgin, is a 360 to 400 kDa member of the Golgin protein family. GOLGB1 is an integral component of the Golgi membrane that associates with the cytoskeleton. It may be involved in both forming intercisternal cross-bridges that mediate stacking in Golgi complexes, and in reorganizing the complexes after they fragment during mitosis. GOLGB1 has also been identified as an autoantigen in chronic rheumatoid arthritis, and in the autoimmune disease Sjoegren syndrome.

Application Notes

Optimal dilution of the Giantin antibody should be determined by the researcher.

Immunogen

Recombinant human protein (amino acids L153-E950) was used as the immunogen for the Giantin antibody.

Storage

After reconstitution, the Giantin antibody can be stored for up to one month at 4oC. For long-term, aliquot and store at -20oC. Avoid repeated freezing and thawing.

Cross
Bulk Quote Request Form
Name*:
Organization*:
Email*:
Phone Number*:
Catalog No.*:
Comments and Specifics(amount, formulation, etc.)*:
Validation code: Captchapackage Image


Can't read the image? click here to refresh.
    *required field

Your bulk quote request has been submitted successfully!

Please contact us if you have any questions.