• Tel: 858.663.9055
  • SeparatorEmail: info@nsjbio.com
  • Tel: 858.663.9055
  • Email: info@nsjbio.com
Home >> Antibodies >> GHRHR Antibody / Growth hormone releasing hormone receptor

GHRHR Antibody / Growth hormone releasing hormone receptor (FY12019)

  Catalog No Formulation Size Price (USD)  
Image FY12019 Adding 0.2 ml of distilled water will yield a concentration of 500 ug/ml. 100 ug 449
Bulk quote request
IHC analysis of GHRHR using anti-GHRHR antibody. GHRHR was detected in a paraffin-embedded section of human ovarian cancer tissue. Heat mediated antigen retrieval was performed in EDTA buffer (pH 8.0, epitope retrieval solution). The tissue section was blocked with 10% goat serum. The tissue section was then incubated with 2 ug/ml rabbit anti-GHRHR antibody overnight at 4oC. Peroxidase Conjugated Goat Anti-rabbit IgG was used as secondary antibody and incubated for 30 minutes at 37oC. The tissue section was developed using an HRP secondary and DAB substrate.
Western blot analysis of GHRHR using anti-GHRHR antibody. Electrophoresis was performed on a 10% SDS-PAGE gel at 80V (Stacking gel) / 120V (Resolving gel) for 2 hours. Lane 1: human 293T whole cell lysates, Lane 2: rat kidney tissue lysates, Lane 3: rat PC-12 whole cell lysates, Lane 4: mouse kidney tissue lysates, Lane 5: mouse NIH/3T3 whole cell lysates. After electrophoresis, proteins were transferred to a nitrocellulose membrane at 150 mA for 50-90 minutes. Blocked the membrane with 5% non-fat milk/TBS for 1.5 hour at RT. The membrane was incubated with rabbit anti-GHRHR antibody at 0.5 ug/ml overnight at 4oC, then washed with TBS-0.1%Tween 3 times with 5 minutes each and probed with a goat anti-rabbit IgG-HRP secondary antibody at a dilution of 1:5000 for 1.5 hour at RT. The signal was developed using an ECL Plus Western Blotting Substrate. A specific band was detected for GHRHR at approximately 47 kDa. The expected band size for GHRHR is at 47 kDa.
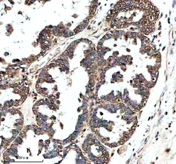
IHC analysis of GHRHR using anti-GHRHR antibody. GHRHR was detected in a paraffin-embedded section of human prostate cancer tissue. Heat mediated antigen retrieval was performed in EDTA buffer (pH 8.0, epitope retrieval solution). The tissue section was blocked with 10% goat serum. The tissue section was then incubated with 2 ug/ml rabbit anti-GHRHR antibody overnight at 4oC. Peroxidase Conjugated Goat Anti-rabbit IgG was used as secondary antibody and incubated for 30 minutes at 37oC. The tissue section was developed using an HRP secondary and DAB substrate.
IHC analysis of GHRHR using anti-GHRHR antibody. GHRHR was detected in a paraffin-embedded section of mouse adrenal tissue. Heat mediated antigen retrieval was performed in EDTA buffer (pH 8.0, epitope retrieval solution). The tissue section was blocked with 10% goat serum. The tissue section was then incubated with 2 ug/ml rabbit anti-GHRHR antibody overnight at 4oC. Peroxidase Conjugated Goat Anti-rabbit IgG was used as secondary antibody and incubated for 30 minutes at 37oC. The tissue section was developed using an HRP secondary and DAB substrate.
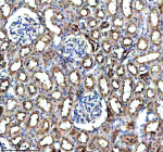
IHC analysis of GHRHR using anti-GHRHR antibody. GHRHR was detected in a paraffin-embedded section of rat kidney tissue. Heat mediated antigen retrieval was performed in EDTA buffer (pH 8.0, epitope retrieval solution). The tissue section was blocked with 10% goat serum. The tissue section was then incubated with 2 ug/ml rabbit anti-GHRHR antibody overnight at 4oC. Peroxidase Conjugated Goat Anti-rabbit IgG was used as secondary antibody and incubated for 30 minutes at 37oC. The tissue section was developed using an HRP secondary and DAB substrate.
IHC analysis of GHRHR using anti-GHRHR antibody. GHRHR was detected in a paraffin-embedded section of mouse kidney tissue. Heat mediated antigen retrieval was performed in EDTA buffer (pH 8.0, epitope retrieval solution). The tissue section was blocked with 10% goat serum. The tissue section was then incubated with 2 ug/ml rabbit anti-GHRHR antibody overnight at 4oC. Peroxidase Conjugated Goat Anti-rabbit IgG was used as secondary antibody and incubated for 30 minutes at 37oC. The tissue section was developed using an HRP secondary and DAB substrate.
Flow Cytometry analysis of 293T cells using anti-GHRHR antibody. Overlay histogram showing 293T cells stained with (Blue line). The cells were fixed with 4% paraformaldehyde and blocked with 10% normal goat serum. And then incubated with rabbit anti-GHRHR antibody (1 ug/million cells) for 30 min at 20oC. DyLight 488 conjugated goat anti-rabbit IgG (5-10 ug/million cells) was used as secondary antibody for 30 minutes at 20oC. Isotype control antibody (Green line) was rabbit IgG (1 ug/million cells) used under the same conditions. Unlabelled sample without incubation with primary antibody and secondary antibody (Red line) was used as a blank control.
Availability 1-2 days
Species Reactivity Human, Mouse, Rat
Format Lyophilized
Host Rabbit
Clonality Polyclonal (rabbit origin)
Isotype Rabbit IgG
Purity Immunogen affinity purified
Buffer Each vial contains 4 mg Trehalose, 0.9 mg NaCl, 0.2 mg Na2HPO4.
UniProt Q02643
Applications Western Blot : 0.25-0.5ug/ml
Immunohistochemistry : 2-5ug/ml
Flow Cytometry : 1-3ug/million cells
ELISA : 0.1-0.5ug/ml
Limitations This GHRHR antibody is available for research use only.
Review this product on BioCompare and get a $20 Amazon gift card

Description

GHRHR antibody detects Growth hormone releasing hormone receptor, encoded by the GHRHR gene. Growth hormone releasing hormone receptor is a G protein-coupled receptor expressed in the anterior pituitary, where it mediates responses to growth hormone releasing hormone. GHRHR antibody provides researchers with a tool to study endocrine signaling, growth regulation, and disease mechanisms involving pituitary hormone production.

Growth hormone releasing hormone receptor activates adenylate cyclase and cAMP signaling pathways upon binding its ligand. Research using GHRHR antibody has shown that this activation stimulates growth hormone synthesis and secretion. Growth hormone then regulates somatic growth, metabolism, and tissue repair through downstream IGF-1 production. This axis is essential for normal growth and metabolic homeostasis.

Studies with GHRHR antibody have revealed that mutations in GHRHR cause isolated growth hormone deficiency. This condition is characterized by short stature, delayed growth, and impaired metabolic adaptation. Mutations that disrupt receptor folding, trafficking, or signaling result in insufficient growth hormone production, demonstrating the receptor's critical physiological role.

Beyond growth deficiency, dysregulation of GHRHR signaling contributes to endocrine disease and cancer. Research using GHRHR antibody has shown that receptor variants are expressed in tumors such as pituitary adenomas and certain carcinomas. Aberrant signaling through GHRHR promotes proliferation and survival, linking it to oncogenic pathways. These findings highlight GHRHR as both a diagnostic marker and a potential therapeutic target.

GHRHR antibody is widely used in immunohistochemistry, western blotting, and receptor binding assays. Immunohistochemistry highlights expression in pituitary tissue, western blotting quantifies receptor levels, and binding studies confirm functional activity. These applications make GHRHR antibody indispensable in endocrinology and oncology research.

By providing validated GHRHR antibody reagents, NSJ Bioreagents supports studies into pituitary signaling, growth hormone regulation, and disease. Detection of Growth hormone releasing hormone receptor provides researchers with insights into how endocrine pathways control growth and metabolism.

Application Notes

Optimal dilution of the GHRHR antibody should be determined by the researcher.

Immunogen

E.coli-derived human GHRHR recombinant protein (Position: H23-K407) was used as the immunogen for the GHRHR antibody.

Storage

After reconstitution, the GHRHR antibody can be stored for up to one month at 4oC. For long-term, aliquot and store at -20oC. Avoid repeated freezing and thawing.

Cross
Bulk Quote Request Form
Name*:
Organization*:
Email*:
Phone Number*:
Catalog No.*:
Comments and Specifics(amount, formulation, etc.)*:
Validation code: Captchapackage Image


Can't read the image? click here to refresh.
    *required field

Your bulk quote request has been submitted successfully!

Please contact us if you have any questions.