• Tel: 858.663.9055
  • SeparatorEmail: info@nsjbio.com
  • Tel: 858.663.9055
  • Email: info@nsjbio.com
Home >> Antibodies >> GHRH Antibody / Growth hormone-releasing hormone / Somatoliberin

GHRH Antibody / Growth hormone-releasing hormone / Somatoliberin (RQ8277)

  Catalog No Formulation Size Price (USD)  
Image RQ8277 0.5mg/ml if reconstituted with 0.2ml sterile DI water 100 ug 449
Bulk quote request
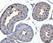
IHC staining of FFPE mouse testis tissue with GHRH antibody. HIER: boil tissue sections in pH8 EDTA for 20 min and allow to cool before testing.
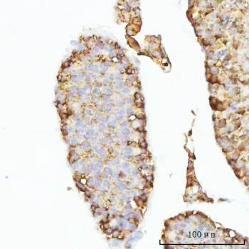
IHC staining of FFPE rat testis tissue with GHRH antibody. HIER: boil tissue sections in pH8 EDTA for 20 min and allow to cool before testing.
Western blot testing of 1) rat testis and 2) mouse testis tissue with GHRH antibody. Predicted molecular weight ~12 kDa.
Availability 1-3 business days
Species Reactivity Human, Mouse, Rat
Format Antigen affinity purified
Host Rabbit
Clonality Polyclonal (rabbit origin)
Isotype Rabbit IgG
Purity Antigen affinity purified
Buffer Lyophilized from 1X PBS with 2% Trehalose
UniProt P01286
Applications Western Blot : 0.5-1ug/ml
Immunohistochemistry (FFPE) : 2-5ug/ml
Direct ELISA : 0.1-0.5ug/ml
Limitations This GHRH antibody is available for research use only.
Review this product on BioCompare and get a $20 Amazon gift card

Description

This gene encodes a member of the glucagon family of proteins. The encoded preproprotein is produced in the hypothalamus and cleaved to generate the mature factor, known as somatoliberin, which acts to stimulate growth hormone release from the pituitary gland. Variant receptors for somatoliberin have been found in several types of tumors, and antagonists of these receptors can inhibit the growth of the tumors. Defects in this gene are a cause of dwarfism, while hypersecretion of the encoded protein is a cause of gigantism. Alternative splicing results in multiple transcript variants, at least one of which encodes a preproprotein that is proteolytically processed.

Application Notes

Optimal dilution of the GHRH antibody should be determined by the researcher.

Immunogen

An E.coli-derived human recombinant protein (Y32-L75) was used as the immunogen for the GHRH antibody.

Storage

After reconstitution, the GHRH antibody can be stored for up to one month at 4oC. For long-term, aliquot and store at -20oC. Avoid repeated freezing and thawing.

Cross
Bulk Quote Request Form
Name*:
Organization*:
Email*:
Phone Number*:
Catalog No.*:
Comments and Specifics(amount, formulation, etc.)*:
Validation code: Captchapackage Image


Can't read the image? click here to refresh.
    *required field

Your bulk quote request has been submitted successfully!

Please contact us if you have any questions.