• Tel: 858.663.9055
  • SeparatorEmail: info@nsjbio.com
  • Tel: 858.663.9055
  • Email: info@nsjbio.com
Home >> Antibodies >> GFRA2 Antibody / GDNF family receptor alpha 2

GFRA2 Antibody / GDNF family receptor alpha 2 (FY12896)

  Catalog No Formulation Size Price (USD)  
Image FY12896 Adding 0.2 ml of distilled water will yield a concentration of 500 ug/ml 100 ug 449
Bulk quote request
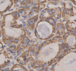
Immunohistochemical staining of GFRA2 using anti-GFRA2 antibody. GFRA2 was detected in a paraffin-embedded section of human testis cancer tissue. Heat mediated antigen retrieval was performed in EDTA buffer (pH 8.0, epitope retrieval solution). The tissue section was blocked with 10% goat serum. The tissue section was then incubated with 2 ug/ml rabbit anti-GFRA2 antibody overnight at 4oC. Peroxidase Conjugated Goat Anti-rabbit IgG was used as secondary antibody and incubated for 30 minutes at 37oC. The tissue section was developed using an HRP secondary and DAB substrate.
Western blot analysis of GFRA2 using anti-GFRA2 antibody. Electrophoresis was performed on a 10% SDS-PAGE gel at 80V (Stacking gel) / 120V (Resolving gel) for 2 hours. Lane 1: human HepG2 whole cell lysates, Lane 2: human HEL whole cell lysates, Lane 3: human SH-SY5Y whole cell lysates, Lane 4: rat testis tissue lysates, Lane 5: rat brain tissue lysates, Lane 6: mouse testis tissue lysates, Lane 7: mouse brain tissue lysates. After electrophoresis, proteins were transferred to a nitrocellulose membrane at 150 mA for 50-90 minutes. Blocked the membrane with 5% non-fat milk/TBS for 1.5 hour at RT. The membrane was incubated with rabbit anti-GFRA2 antibody at 0.5 ug/ml overnight at 4oC, then washed with TBS-0.1%Tween 3 times with 5 minutes each and probed with a goat anti-rabbit IgG-HRP secondary antibody at a dilution of 1:5000 for 1.5 hour at RT. The signal was developed using an ECL Plus Western Blotting Substrate. GFRA2 western blot shows a ~52 kDa band with a close upper/lower doublet in mouse/rat brain, consistent with differential glycosylation and GPI-anchor processing/shedding typical of GFRa family receptors.
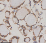
Immunohistochemical staining of GFRA2 using anti-GFRA2 antibody. GFRA2 was detected in a paraffin-embedded section of human thyroid cancer tissue. Heat mediated antigen retrieval was performed in EDTA buffer (pH 8.0, epitope retrieval solution). The tissue section was blocked with 10% goat serum. The tissue section was then incubated with 2 ug/ml rabbit anti-GFRA2 antibody overnight at 4oC. Peroxidase Conjugated Goat Anti-rabbit IgG was used as secondary antibody and incubated for 30 minutes at 37oC. The tissue section was developed using an HRP secondary and DAB substrate.
Immunohistochemical staining of GFRA2 using anti-GFRA2 antibody. GFRA2 was detected in a paraffin-embedded section of human thyroid cancer tissue. Heat mediated antigen retrieval was performed in EDTA buffer (pH 8.0, epitope retrieval solution). The tissue section was blocked with 10% goat serum. The tissue section was then incubated with 2 ug/ml rabbit anti-GFRA2 antibody overnight at 4oC. Peroxidase Conjugated Goat Anti-rabbit IgG was used as secondary antibody and incubated for 30 minutes at 37oC. The tissue section was developed using an HRP secondary and DAB substrate.
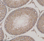
Immunohistochemical staining of GFRA2 using anti-GFRA2 antibody. GFRA2 was detected in a paraffin-embedded section of rat testis tissue. Heat mediated antigen retrieval was performed in EDTA buffer (pH 8.0, epitope retrieval solution). The tissue section was blocked with 10% goat serum. The tissue section was then incubated with 2 ug/ml rabbit anti-GFRA2 antibody overnight at 4oC. Peroxidase Conjugated Goat Anti-rabbit IgG was used as secondary antibody and incubated for 30 minutes at 37oC. The tissue section was developed using an HRP secondary and DAB substrate.
Immunofluorescent staining of GFRA2 using anti-GFRA2 antibody (red). GFRA2 was detected in a paraffin-embedded section of rat testis tissue. Heat mediated antigen retrieval was performed in EDTA buffer (pH 8.0, epitope retrieval solution). The tissue section was blocked with 10% goat serum. The tissue section was then incubated with 5 ug/ml rabbit anti-GFRA2 antibody overnight at 4oC. Cy3 Conjugated Goat Anti-Rabbit IgG was used as secondary antibody at 1:500 dilution and incubated for 30 minutes at 37oC. The section was counterstained with DAPI nuclear stain (blue). Visualize using a fluorescence microscope and filter sets appropriate for the label used.
Immunofluorescent staining of GFRA2 using anti-GFRA2 antibody (red). GFRA2 was detected in a paraffin-embedded section of human thyroid cancer tissue. Heat mediated antigen retrieval was performed in EDTA buffer (pH 8.0, epitope retrieval solution). The tissue section was blocked with 10% goat serum. The tissue section was then incubated with 5 ug/ml rabbit anti-GFRA2 antibody overnight at 4oC. Cy3 Conjugated Goat Anti-Rabbit IgG was used as secondary antibody at 1:500 dilution and incubated for 30 minutes at 37oC. The section was counterstained with DAPI nuclear stain (blue). Visualize using a fluorescence microscope and filter sets appropriate for the label used.
Flow Cytometry analysis of HepG2 cells using anti-GFRA2 antibody. Overlay histogram showing HepG2 cells stained with (Blue line). The cells were fixed with 4% paraformaldehyde and blocked with 10% normal goat serum. And then incubated with rabbit anti-GFRA2 antibody (1 ug/million cells) for 30 min at 20oC. DyLight 488 conjugated goat anti-rabbit IgG (5-10 ug/million cells) was used as secondary antibody for 30 minutes at 20oC. Isotype control antibody (Green line) was rabbit IgG (1 ug/million cells) used under the same conditions. Unlabelled sample without incubation with primary antibody and secondary antibody (Red line) was used as a blank control.
Availability 1-2 days
Species Reactivity Human, Mouse, Rat
Format Lyophilized
Host Rabbit
Clonality Polyclonal (rabbit origin)
Isotype Rabbit IgG
Purity Immunogen affinity purified
Buffer Each vial contains 4 mg Trehalose, 0.9 mg NaCl, 0.2 mg Na2HPO4.
UniProt O00451
Localization Cytoplasm (Vesicles), cell membrane
Applications Western Blot : 0.25-0.5ug/ml
Immunohistochemistry : 2-5ug/ml
Immunofluorescence : 5ug/ml
Flow Cytometry : 1-3ug/million cells
ELISA : 0.1-0.5ug/ml
Limitations This GFRA2 antibody is available for research use only.
Review this product on BioCompare and get a $20 Amazon gift card

Description

GFRA2 antibody detects GDNF family receptor alpha 2, a glycosylphosphatidylinositol (GPI)-anchored receptor involved in neurotrophic signaling. Encoded by the GFRA2 gene on chromosome 8p21.3, this receptor mediates cell surface binding and signal transduction of neurturin, a member of the glial cell line-derived neurotrophic factor (GDNF) family. GFRA2 functions as a co-receptor with the transmembrane tyrosine kinase RET, promoting neuronal survival, differentiation, and axonal growth in both the central and peripheral nervous systems.

Structurally, GFRA2 is a 464-amino-acid protein of approximately 50 kilodaltons, containing three cysteine-rich domains (D1-D3) essential for ligand binding. It is tethered to the cell membrane through a GPI anchor and can also exist in soluble form, allowing it to modulate neurotrophic signaling in paracrine or autocrine contexts. GFRA2 expression is enriched in parasympathetic and sensory neurons, as well as cardiac and enteric ganglia, where it contributes to neural patterning and regeneration.

The GFRA2 antibody is widely used in neurobiology, regenerative medicine, and developmental neuroscience research to study trophic signaling, axonal repair, and neuronal differentiation. Western blot analysis detects a 50 kilodalton band corresponding to GFRA2, while immunofluorescence reveals strong membrane and axonal staining in neuronal cultures and ganglia. This antibody supports studies exploring neurotrophic receptor distribution and GDNF family signaling networks.

Functionally, GFRA2 mediates the effects of neurturin by recruiting RET and activating downstream MAPK and PI3K/AKT pathways that support neuronal survival and neurite outgrowth. Dysregulation of GFRA2 signaling has been linked to neurodegenerative disorders and impaired regeneration following nerve injury. It also plays a role in cardiac innervation and development through guidance of parasympathetic neurons. The GFRA2 antibody enables detailed analysis of these pathways and helps characterize therapeutic responses in models of neural injury and neuroprotection. NSJ Bioreagents validates this antibody for its applications, ensuring sensitive and reproducible results in neuronal and regenerative research.

Application Notes

Optimal dilution of the GFRA2 antibody should be determined by the researcher.

Immunogen

E.coli-derived human GFRA2 recombinant protein (Position: E30-L425) was used as the immunogen for the GFRA2 antibody.

Storage

After reconstitution, the GFRA2 antibody can be stored for up to one month at 4oC. For long-term, aliquot and store at -20oC. Avoid repeated freezing and thawing.

Cross
Bulk Quote Request Form
Name*:
Organization*:
Email*:
Phone Number*:
Catalog No.*:
Comments and Specifics(amount, formulation, etc.)*:
Validation code: Captchapackage Image


Can't read the image? click here to refresh.
    *required field

Your bulk quote request has been submitted successfully!

Please contact us if you have any questions.