• Tel: 858.663.9055
  • SeparatorEmail: info@nsjbio.com
  • Tel: 858.663.9055
  • Email: info@nsjbio.com
Home >> Antibodies >> GFI1 Antibody

GFI1 Antibody (RQ4261)

  Catalog No Formulation Size Price (USD)  
Image RQ4261 0.5mg/ml if reconstituted with 0.2ml sterile DI water 100 ug 449
Bulk quote request
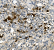
IHC testing of FFPE human breast cancer tissue with GFI1 antibody at 1ug/ml. Required HIER: steam section in pH6 citrate buffer for 20 min and allow to cool prior to staining.
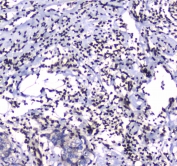
IHC testing of FFPE human rectal cancer tissue with GFI1 antibody at 1ug/ml. Required HIER: steam section in pH6 citrate buffer for 20 min and allow to cool prior to staining.
Availability 1-3 business days
Species Reactivity Human
Format Antigen affinity purified
Host Rabbit
Clonality Polyclonal (rabbit origin)
Isotype Rabbit IgG
Purity Antigen affinity purified
Buffer Lyophilized from 1X PBS with 2% Trehalose and 0.025% sodium azide
UniProt Q99684
Localization Nucleus
Applications IHC (FFPE) : 1-2ug/ml
Limitations This GFI1 antibody is available for research use only.
Review this product on BioCompare and get a $20 Amazon gift card

Related Products

  • Applications : WB, IHC-P, FACS, Direct ELISA
    Reactivity : Human, Mouse, Rat

Description

Zinc finger protein Gfi-1 is a protein that in humans is encoded by the GFI1 gene. This gene encodes a nuclear zinc finger protein that functions as a transcriptional repressor. This protein plays a role in diverse developmental contexts, including hematopoiesis and oncogenesis. It functions as part of a complex along with other cofactors to control histone modifications that lead to silencing of the target gene promoters. Mutations in this gene cause autosomal dominant severe congenital neutropenia, and also dominant nonimmune chronic idiopathic neutropenia of adults, which are heterogeneous hematopoietic disorders that cause predispositions to leukemias and infections. Multiple alternatively spliced variants, encoding the same protein, have been identified for this gene.

Application Notes

Optimal dilution of the GFI1 antibody should be determined by the researcher.

Immunogen

Amino acids NLITHSRKHTGFKPFGCDLCGKGFQRKVDLRRHRETQH were used as the immunogen for the GFI1 antibody.

Storage

After reconstitution, the GFI1 antibody can be stored for up to one month at 4oC. For long-term, aliquot and store at -20oC. Avoid repeated freezing and thawing.

Cross
Bulk Quote Request Form
Name*:
Organization*:
Email*:
Phone Number*:
Catalog No.*:
Comments and Specifics(amount, formulation, etc.)*:
Validation code: Captchapackage Image


Can't read the image? click here to refresh.
    *required field

Your bulk quote request has been submitted successfully!

Please contact us if you have any questions.