• Tel: 858.663.9055
  • SeparatorEmail: info@nsjbio.com
  • Tel: 858.663.9055
  • Email: info@nsjbio.com
Home >> Antibodies >> GFAP Antibody / Glial Fibrillary Acidic Protein

GFAP Antibody / Glial Fibrillary Acidic Protein [clone GFAP/9423] (V5714)

  Catalog No Formulation Size Price (USD)  
Image V5714-100UG 0.2 mg/ml in 1X PBS with 0.1 mg/ml BSA (US sourced), 0.05% sodium azide 100 ug 559
Image
V5714-20UG 0.2 mg/ml in 1X PBS with 0.1 mg/ml BSA (US sourced), 0.05% sodium azide 20 ug 259
Image
V5714SAF-100UG 1 mg/ml in 1X PBS; BSA free, sodium azide free 100 ug 559
Bulk quote request
GFAP Antibody Multi-Tissue WB. Western blot analysis of human brain, heart, intestine, kidney, liver, lung, ovary, pancreas, prostate, skeletal muscle, skin, spleen, stomach, and testis tissue lysates using GFAP Antibody clone GFAP/9423. A distinct band is detected at approximately 50 kDa selectively in human brain lysate, consistent with the predicted molecular weight of Glial fibrillary acidic protein / GFAP, an astrocyte-associated intermediate filament protein enriched within central nervous system tissue. Multiple closely migrating lower molecular weight bands forming a stacked pattern beneath the primary signal likely represent GFAP isoforms and/or partial proteolytic processing products commonly observed in neural tissue extracts.
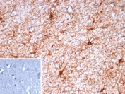
IHC staining of FFPE human brain tissue with GFAP antibody (clone GFAP/9423). Inset: PBS used in place of primary Ab (secondary Ab negative control). HIER: boil tissue sections in pH 9 10mM Tris with 1mM EDTA for 20 min and allow to cool before testing.
SDS-PAGE analysis of purified, BSA-free GFAP antibody (clone GFAP/9423) as confirmation of integrity and purity.
Western blot testing of human brain tissue with GFAP antibody (clone GFAP/9423). Predicted molecular weight ~50 kDa.
GFAP Antibody Brain Tissue WB. Western blot analysis of human brain, mouse brain, rat brain, hamster brain, guinea pig brain, and rabbit brain tissue lysates using GFAP Antibody clone GFAP/9423. Multiple closely migrating bands are detected between approximately 40-50 kDa in human brain lysate, with additional bands of similar molecular weight observed in rat, guinea pig, and rabbit brain samples, consistent with Glial fibrillary acidic protein / GFAP, a major astrocytic intermediate filament protein involved in maintenance of neural cytoskeletal organization and central nervous system architecture. The stacked banding pattern in the human brain sample likely reflects a combination of GFAP isoforms and partial proteolytic processing products commonly observed in neural tissue extracts.
Availability 1-3 business days
Species Reactivity Human
Format Purified
Host Mouse
Clonality Monoclonal (mouse origin)
Isotype Mouse IgG1, kappa
Clone Name GFAP/9423
Purity Protein G affinity
UniProt P14136
Localization Cytoplasm
Applications Immunohistochemistry (FFPE) : 1-2ug/ml
Western Blot : 2-4ug/ml
Limitations This GFAP antibody is available for research use only.
Review this product on BioCompare and get a $20 Amazon gift card

Related Products

Description

This MAb recognizes a protein of ~50kDa which is identified as Glial Fibrillary Acidic Protein (GFAP). It shows no cross-reaction with other intermediate filament proteins. GFAP is specifically found in astroglia. GFAP is a very popular marker for localizing benign astrocyte and neoplastic cells of glial origin in the central nervous system.Antibody to GFAP is useful in differentiating primary gliomas from metastatic lesions in the brain and for documenting astrocytic differentiation in tumors outside the CNS.

Application Notes

Optimal dilution of the GFAP antibody should be determined by the researcher.

Immunogen

A portion of amino acids 100-400 from human GFAP protein was used as the immunogen for the GFAP antibody.

Storage

Aliquot the GFAP antibody and store frozen at -20oC or colder. Avoid repeated freeze-thaw cycles.

Cross
Bulk Quote Request Form
Name*:
Organization*:
Email*:
Phone Number*:
Catalog No.*:
Comments and Specifics(amount, formulation, etc.)*:
Validation code: Captchapackage Image


Can't read the image? click here to refresh.
    *required field

Your bulk quote request has been submitted successfully!

Please contact us if you have any questions.