• Tel: 858.663.9055
  • SeparatorEmail: info@nsjbio.com
  • Tel: 858.663.9055
  • Email: info@nsjbio.com
Home >> Antibodies >> GFAP Antibody / Glial Fibrillary Acidic Protein

GFAP Antibody / Glial Fibrillary Acidic Protein [clone GFAP/6882] (V4508)

  Catalog No Formulation Size Price (USD)  
Image V4508-100UG 0.2 mg/ml in 1X PBS with 0.1 mg/ml BSA (US sourced), 0.05% sodium azide 100 ug 559
Image
V4508-20UG 0.2 mg/ml in 1X PBS with 0.1 mg/ml BSA (US sourced), 0.05% sodium azide 20 ug 259
Image
V4508SAF-100UG 1 mg/ml in 1X PBS; BSA free, sodium azide free 100 ug 559
Bulk quote request
Analysis of a HuProt(TM) microarray containing more than 19,000 full-length human proteins using antibody to GFAP (GFAP/6882). Z- and S- Score: The Z-score represents the strength of a signal that a monoclonal antibody (in combination with a fluorescently-tagged anti-IgG secondary antibody) produces when binding to a particular protein on the HuProt(TM) array. Z-scores are described in units of standard deviations (SD's) above the mean value of all signals generated on that array. If targets on HuProt(TM) are arranged in descending order of the Z-score, the S-score is the difference (also in units of SD's) between the Z-score. S-score therefore represents the relative target specificity of a mAb to its intended target. A mAb is considered to specific to its intended target, if the mAb has an S-score of at least 2.5. For example, if a mAb binds to protein X with a Z-score of 43 and to protein Y with a Z-score of 14, then the S-score for the binding of that mAb to protein X is equal to 29.
SDS-PAGE analysis of purified, BSA-free GFAP antibody (clone GFAP/6882) as confirmation of integrity and purity.
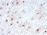
IHC staining of FFPE human brain tissue with GFAP antibody (clone GFAP/6882). HIER: boil tissue sections in pH 9 10mM Tris with 1mM EDTA for 20 min and allow to cool before testing.
Western blot testing of human brain tissue with GFAP antibody. Predicted molecular weight ~50 kDa.
GFAP Antibody Brain Tissue WB. Western blot analysis of human brain, mouse brain, rat brain, guinea pig brain, and hamster brain tissue lysates using GFAP Antibody clone GFAP/6882. A strong band is detected at approximately 50 kDa in human brain lysate, consistent with the predicted molecular weight of Glial fibrillary acidic protein / GFAP, an astrocyte-associated intermediate filament protein involved in maintenance of neural cytoskeletal organization and central nervous system structural integrity. Multiple faint lower molecular weight bands forming a subtle stacked pattern beneath the primary signal likely represent GFAP isoforms and/or partial proteolytic processing products commonly observed in brain-derived tissue lysates.
GFAP Antibody Human Brain WB. Western blot analysis of human brain tissue lysate using GFAP Antibody clone GFAP/6882. Multiple closely migrating bands are detected between approximately 40-50 kDa, consistent with Glial fibrillary acidic protein / GFAP and related lower molecular weight species commonly observed in brain tissue extracts. The stacked banding pattern likely reflects a combination of GFAP isoforms and partial proteolytic processing products associated with astrocytic intermediate filament remodeling in neural tissue.
Availability 1-3 business days
Species Reactivity Human
Format Purified
Host Mouse
Clonality Monoclonal (mouse origin)
Isotype Mouse IgG2c, kappa
Clone Name GFAP/6882
Purity Protein A/G affinity
UniProt P14136
Localization Cytoplasm
Applications Immunohistochemistry (FFPE) : 1-2ug/ml for 30 min at RT
Western Blot : 2-4ug/ml
Limitations This GFAP antibody is available for research use only.
Review this product on BioCompare and get a $20 Amazon gift card

Related Products

Description

GFAP Antibody recognizes a protein of ~50kDa which is identified as Glial Fibrillary Acidic Protein (GFAP). It shows no cross-reaction with other intermediate filament proteins. GFAP is specifically found in astroglia. GFAP is a very popular marker for localizing benign astrocyte and neoplastic cells of glial origin in the central nervous system.Antibody to GFAP is useful in differentiating primary gliomas from metastatic lesions in the brain and for documenting astrocytic differentiation in tumors outside the CNS.

Application Notes

Optimal dilution of the GFAP antibody should be determined by the researcher.

Immunogen

A recombinant partial protein sequence (within amino acids 150-250) from the human protein was used as the immunogen for the GFAP antibody.

Storage

Aliquot the GFAP antibody and store frozen at -20oC or colder. Avoid repeated freeze-thaw cycles.

Cross
Bulk Quote Request Form
Name*:
Organization*:
Email*:
Phone Number*:
Catalog No.*:
Comments and Specifics(amount, formulation, etc.)*:
Validation code: Captchapackage Image


Can't read the image? click here to refresh.
    *required field

Your bulk quote request has been submitted successfully!

Please contact us if you have any questions.