• Tel: 858.663.9055
  • SeparatorEmail: info@nsjbio.com
  • Tel: 858.663.9055
  • Email: info@nsjbio.com
Home >> Antibodies >> Gephyrin Antibody / Inhibitory Synapse and Receptor Clustering Marker Antibody

Gephyrin Antibody / Inhibitory Synapse and Receptor Clustering Marker Antibody (RQ6558)

  Catalog No Formulation Size Price (USD)  
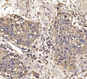
Image RQ6558 0.5mg/ml if reconstituted with 0.2ml sterile DI water 100 ug 449
Bulk quote request
Gephyrin Antibody A431 IF. Immunofluorescence analysis of FFPE human A431 cells using Gephyrin antibody (red) shows punctate cytoplasmic staining consistent with Gephyrin localization in receptor clustering and inhibitory synaptic scaffold-associated structures, while nuclei are counterstained with DAPI (blue). HIER: steam sections in pH6 citrate buffer for 20 min.
Gephyrin Antibody Papillary Thyroid Carcinoma IHC. Immunohistochemistry of FFPE human papillary thyroid carcinoma tissue using Gephyrin antibody shows HRP-DAB brown cytoplasmic and membranous staining in tumor epithelial cells, consistent with Gephyrin expression in receptor clustering and synaptic scaffold-associated signaling structures, while surrounding stromal elements display lower background. HIER: boil tissue sections in pH8 EDTA for 20 min and allow to cool before testing.
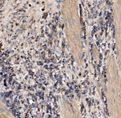
Gephyrin Antibody Stomach Cancer IHC. Immunohistochemistry of FFPE human stomach carcinoma tissue using Gephyrin antibody shows granular HRP-DAB brown cytoplasmic staining in tumor cells, consistent with Gephyrin-associated receptor clustering and inhibitory signaling scaffold localization, while surrounding stromal regions display lower background. HIER: boil tissue sections in pH8 EDTA for 20 min and allow to cool before testing.
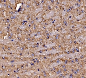
Gephyrin Antibody Liver Cancer IHC. Immunohistochemistry of FFPE human liver carcinoma tissue using Gephyrin antibody shows diffuse HRP-DAB brown cytoplasmic staining in tumor cells, consistent with Gephyrin-associated receptor clustering and inhibitory signaling scaffold organization, while surrounding stromal elements display lower background. HIER: boil tissue sections in pH8 EDTA for 20 min and allow to cool before testing.
Gephyrin Antibody Mouse Brain IHC. Immunohistochemistry of FFPE mouse brain tissue using Gephyrin antibody shows diffuse and punctate HRP-DAB brown cytoplasmic staining in neuronal cell populations, consistent with Gephyrin localization at inhibitory synapses and postsynaptic receptor clustering structures within neural tissue. HIER: boil tissue sections in pH8 EDTA for 20 min and allow to cool before testing.
Gephyrin Antibody Rat Brain IHC. Immunohistochemistry of FFPE rat brain tissue using Gephyrin antibody demonstrates punctate HRP-DAB brown cytoplasmic staining in neuronal cells, consistent with Gephyrin-associated inhibitory synapse organization and receptor scaffold localization in brain tissue. HIER: boil tissue sections in pH8 EDTA for 20 min and allow to cool before testing.
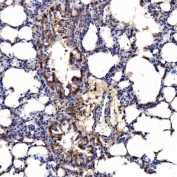
Gephyrin Antibody Rat Lung IHC. Immunohistochemistry of FFPE rat lung tissue using Gephyrin antibody shows HRP-DAB brown cytoplasmic staining in epithelial cell populations, consistent with Gephyrin-associated receptor clustering and scaffold protein localization, while surrounding stromal regions display lower background. HIER: boil tissue sections in pH8 EDTA for 20 min and allow to cool before testing.
Gephyrin Antibody Multi-Species WB. Western blot analysis of 1) human HeLa, 2) human HepG2, 3) human A549, 4) monkey COS-7, 5) human Jurkat, 6) rat brain, 7) mouse brain, 8) mouse kidney, 9) mouse lung, and 10) mouse Neuro-2a cell lysates using Gephyrin antibody detects a prominent band at approximately 90-95 kDa across multiple samples, consistent with the commonly observed apparent molecular weight of Gephyrin despite a predicted molecular weight of approximately 80-83 kDa. The broad detection profile supports Gephyrin expression in neuronal and non-neuronal tissues and is consistent with its role in inhibitory synapse organization and receptor clustering.
Availability 1-3 business days
Species Reactivity Human, Mouse, Rat, Monkey
Format Antigen affinity purified
Host Rabbit
Clonality Polyclonal (rabbit origin)
Isotype Rabbit IgG
Purity Affinity purified
Buffer Lyophilized from 1X PBS with 2% Trehalose
UniProt Q9NQX3
Localization Cytoplasmic
Applications Western Blot : 1-2ug/ml
Immunohistochemistry (FFPE) : 2-5ug/ml
Immunofluorescence : 5ug/ml
Direct ELISA : 0.1-0.5ug/ml
Limitations This Gephyrin Antibody / Inhibitory Synapse and Receptor Clustering Marker Antibody is available for research use only.
Review this product on BioCompare and get a $20 Amazon gift card

Related Products

Description

Gephyrin (GPHN) is a multifunctional scaffolding protein that plays a central role in the organization of inhibitory synapses within the central nervous system. It is essential for the clustering and stabilization of inhibitory neurotransmitter receptors, particularly glycine receptors and GABA(A) receptors, at postsynaptic membranes. Through these interactions, Gephyrin regulates inhibitory synaptic transmission and contributes to maintenance of neuronal excitability and synaptic balance.

Gephyrin antibody, also referred to as GPHN antibody and Gephyrin synaptic scaffold antibody in the literature, recognizes a cytoplasmic protein that is highly enriched at inhibitory postsynaptic sites. Gephyrin forms lattice-like assemblies beneath the postsynaptic membrane, where it anchors receptor complexes and coordinates synaptic organization. This structural role makes Gephyrin one of the most widely used markers for identifying inhibitory synapses and studying receptor clustering dynamics in neuronal systems.

This Gephyrin Antibody / Inhibitory Synapse and Receptor Clustering Marker Antibody is uniquely positioned for studies of inhibitory neurotransmission and synaptic organization. Gephyrin-mediated receptor clustering is critical for efficient inhibitory signaling and proper neural circuit function. Alterations in Gephyrin distribution or expression have been associated with disrupted synaptic architecture and abnormal inhibitory signaling in neurological disease models. As a result, Gephyrin serves as an important marker for evaluating inhibitory synapse integrity and postsynaptic specialization.

Gephyrin plays a critical role in maintaining inhibitory synaptic strength through stabilization and trafficking of GABA(A) and glycine receptor complexes at postsynaptic membranes. Dynamic remodeling of Gephyrin clusters contributes to synaptic plasticity and regulation of inhibitory neurotransmission in response to neuronal activity. Because inhibitory signaling is essential for maintaining excitatory-inhibitory balance within neural circuits, alterations in Gephyrin organization can influence neuronal network stability and synaptic responsiveness.

Disruption of Gephyrin expression or receptor clustering has been associated with multiple neurological and neurodevelopmental disorders involving altered inhibitory signaling. Changes in Gephyrin-dependent synaptic organization have been investigated in epilepsy, schizophrenia, autism spectrum disorders, and hyperekplexia models, highlighting the importance of inhibitory postsynaptic scaffold proteins in neural circuit regulation and disease-associated synaptic dysfunction.

In immunofluorescence and tissue-based analyses, Gephyrin is typically observed as punctate cytoplasmic staining associated with inhibitory postsynaptic structures, consistent with its role in receptor anchoring and synaptic scaffold formation. In western blot analysis, Gephyrin is detected as a protein corresponding to its expected molecular weight in neuronal and brain-derived samples. These expression patterns support its use in studies examining synaptic distribution, neuronal connectivity, and inhibitory signaling networks.

This rabbit polyclonal antibody is designed to detect Gephyrin with consistent performance in research applications. A Gephyrin antibody is suitable for detecting GPHN expression in studies of inhibitory synapse biology, receptor clustering, and neuronal signaling where synaptic scaffold proteins are of interest.

This antibody is part of a broader antibody panel offered by NSJ Bioreagents.

Application Notes

Optimal dilution of the Gephyrin Antibody / Inhibitory Synapse and Receptor Clustering Marker Antibody should be determined by the researcher.

Immunogen

An E. coli-derived human protein (amino acids K148-L736) was used as the immunogen for the Gephyrin antibody.

Storage

After reconstitution, the Gephyrin antibody can be stored for up to one month at 4oC. For long-term, aliquot and store at -20oC. Avoid repeated freezing and thawing.

Alternate Names

Gephyrin antibody, GPHN antibody, Glycine receptor-associated protein antibody, Tubulin-folding cofactor E-like antibody, Gephyrin synaptic scaffold antibody

Cross
Bulk Quote Request Form
Name*:
Organization*:
Email*:
Phone Number*:
Catalog No.*:
Comments and Specifics(amount, formulation, etc.)*:
Validation code: Captchapackage Image


Can't read the image? click here to refresh.
    *required field

Your bulk quote request has been submitted successfully!

Please contact us if you have any questions.