• Tel: 858.663.9055
  • SeparatorEmail: info@nsjbio.com
  • Tel: 858.663.9055
  • Email: info@nsjbio.com
Home >> Antibodies >> Gelatinase B Antibody / MMP9 / Matrix metalloproteinase 9

Gelatinase B Antibody / MMP9 / Matrix metalloproteinase 9 [clone r15W2] (V5949)

  Catalog No Formulation Size Price (USD)  
Image V5949-100UG 0.2 mg/ml in 1X PBS with 0.05% BSA, 0.05% sodium azide 100 ug 559
Image
V5949-20UG 0.2 mg/ml in 1X PBS with 0.05% BSA, 0.05% sodium azide 20 ug 259
Image
V5949SAF-100UG 1 mg/ml in 1X PBS; BSA free, sodium azide free 100 ug 559
Microvalidated Recmousemono
Bulk quote request
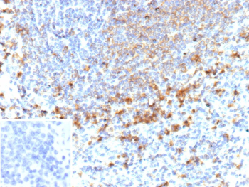
Immunohistochemistry analysis of Gelatinase B / MMP9 antibody (clone r15W2) in human spleen tissue. Formalin-fixed, paraffin-embedded human spleen section shows cytoplasmic brown chromogenic staining in scattered immune cells within the splenic parenchyma, consistent with MMP9 expression, while surrounding lymphoid cells display minimal staining and nuclei appear blue. The inset shows PBS used in place of primary antibody as a negative control with no specific staining observed. Heat-induced epitope retrieval was performed by heating tissue sections in 10 mM Tris with 1 mM EDTA, pH 9.0, for 45 minutes at 95oC followed by cooling at room temperature for 20 minutes prior to staining.
SDS-PAGE analysis of purified recombinant Gelatinase B/MMP9 antibody (clone r15W2). Confirmation of Purity and Integrity of Antibody.
Species Reactivity Human
Format Purified
Host Mouse
Clonality Recombinant Mouse Monoclonal
Isotype Mouse IgG2a, kappa
Clone Name r15W2
UniProt P14780
Localization Extracellular matrix, Extracellular space, Secreted
Applications Immunohistochemistry (FFPE) : 1-2ug/ml
Limitations This recombinant Gelatinase B/MMP9 antibody is available for research use only.
Review this product on BioCompare and get a $20 Amazon gift card

Related Products

Description

Gelatinase B antibody targets Matrix metalloproteinase 9, a secreted zinc-dependent endopeptidase encoded by the human MMP9 gene and a key member of the matrix metalloproteinase family. Matrix metalloproteinase 9, also widely known as MMP9 and MMP-9, is historically referred to as Gelatinase B due to its strong enzymatic activity against gelatin and type IV collagen. The name Gelatinase B originates from early biochemical characterization studies, while MMP9 represents the standardized gene symbol. Gelatinase B antibody and MMP9 antibody therefore refer to detection of the same extracellular protease involved in matrix remodeling and inflammatory signaling.

MMP9 is synthesized as a latent proenzyme that undergoes proteolytic activation to generate the active catalytic form. It efficiently degrades type IV collagen, gelatin, elastin, and additional basement membrane substrates, facilitating cell migration, angiogenesis, and extracellular matrix reorganization. Gelatinase B activity is tightly regulated by tissue inhibitors of metalloproteinases, particularly TIMP1, to maintain tissue integrity during normal repair processes. Dysregulated MMP9 expression contributes to cancer metastasis, chronic inflammatory diseases, cardiovascular remodeling, and blood-brain barrier permeability.

Gelatinase B is highly expressed in neutrophils, macrophages, activated endothelial cells, and certain tumor cells, especially under inflammatory stimulation. Elevated MMP-9 levels frequently correlate with increased tumor invasiveness and poor clinical outcome in multiple malignancies. Beyond oncology, MMP9 plays important roles in wound healing, immune cell trafficking, and vascular remodeling.

Structurally, Matrix metalloproteinase 9 contains a signal peptide, propeptide region, catalytic zinc-binding domain, fibronectin type II repeats that enhance gelatin binding, and a C-terminal hemopexin-like domain that contributes to substrate specificity and protein interactions. A Gelatinase B antibody is suitable for detecting MMP9 expression in extracellular matrix remodeling, inflammatory signaling, and tumor progression research applications.

Application Notes

1. Optimal dilution of the recombinant Gelatinase B/MMP9 antibody should be determined by the researcher.

2. This recombinant Gelatinase B/MMP9 antibody is recombinantly produced by expression in CHO cells.

Immunogen

Prokaryotic recombinant protein corresponding to a 134 amino acid portion of the C-terminal region of the mature human MMP9 molecule was used as the immunogen for the recombinant Gelatinase B/MMP9 antibody.

Storage

Gelatinase B/MMP9 antibody with sodium azide - store at 2 to 8oC; antibody without sodium azide - store at -20 to -80oC.

Cross
Bulk Quote Request Form
Name*:
Organization*:
Email*:
Phone Number*:
Catalog No.*:
Comments and Specifics(amount, formulation, etc.)*:
Validation code: Captchapackage Image


Can't read the image? click here to refresh.
    *required field

Your bulk quote request has been submitted successfully!

Please contact us if you have any questions.