• Tel: 858.663.9055
  • SeparatorEmail: info@nsjbio.com
  • Tel: 858.663.9055
  • Email: info@nsjbio.com
Home >> Antibodies >> GDP-L-fucose synthase Antibody / GFUS / TSTA3

GDP-L-fucose synthase Antibody / GFUS / TSTA3 (RQ6910)

  Catalog No Formulation Size Price (USD)  
Image RQ6910 0.5mg/ml if reconstituted with 0.2ml sterile DI water 100 ug 449
Bulk quote request
Immunofluorescent staining of FFPE human MCF7 cells with GDP-L-fucose synthase antibody (green) and DAPI nuclear stain (blue). HIER: steam section in pH6 citrate buffer for 20 min.
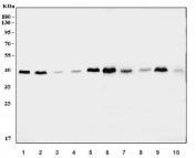
Western blot testing of 1) human MCF7, 2) human HeLa, 3) human HepG2, 4) human RT-4, 5) human PC-3, 6) rat testis, 7) rat kidney, 8) rat brain, 9) mouse testis and 10) mouse kidney tissue lysate with GDP-L-fucose synthase antibody. Predicted molecular weight ~36 kDa.
Flow cytometry testing of fixed and permeabilized human U-87 MG cells with GDP-L-fucose synthase antibody at 1ug/million cells (blocked with goat sera); Red=cells alone, Green=isotype control, Blue= GDP-L-fucose synthase antibody.
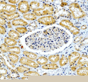
IHC staining of FFPE human kidney tissue with GDP-L-fucose synthase antibody, HRP-secondary and DAB substrate. HIER: boil tissue sections in pH8 EDTA for 20 min and allow to cool before testing.
Availability 1-3 business days
Species Reactivity Human, Mouse, Rat
Format Antigen affinity purified
Host Rabbit
Clonality Polyclonal (rabbit origin)
Isotype Rabbit IgG
Purity Antigen affinity purified
Buffer Lyophilized from 1X PBS with 2% Trehalose
UniProt Q13630
Applications Western Blot : 1-2ug/ml
Immunofluorescence (FFPE) : 5ug/ml
Flow Cytometry : 1-3ug/million cells
Direct ELISA : 0.1-0.5ug/ml
Immunohistochemistry (FFPE) : 2-5ug/ml
Limitations This GDP-L-fucose synthase antibody is available for research use only.
Review this product on BioCompare and get a $20 Amazon gift card

Description

GDP-L-fucose synthase (GFUS), also known as TSTA3, is a key enzyme in the de novo biosynthetic pathway of GDP-fucose, the activated sugar donor required for fucosylation reactions. It catalyzes the NADPH-dependent conversion of GDP-4-keto-6-deoxymannose into GDP-L-fucose, completing the two-step enzymatic process that produces this critical substrate. Because fucosylation is essential for glycoprotein and glycolipid modification, GDP-L-fucose synthase is central to many cellular processes. Researchers often use a GDP-L-fucose synthase antibody to study glycosylation pathways, carbohydrate metabolism, and related diseases.

Fucosylation regulates a wide range of biological functions, including cell adhesion, signaling, immune recognition, and embryonic development. GDP-L-fucose synthase activity ensures that adequate levels of GDP-fucose are available for fucosyltransferases, the enzymes that attach fucose residues to glycoproteins and glycolipids. Employing a GDP-L-fucose synthase antibody enables the examination of its role in maintaining glycosylation balance and supporting normal cell physiology.

Deficiency of GDP-L-fucose synthase, due to mutations in the TSTA3 gene, can lead to congenital disorders of glycosylation. These rare metabolic syndromes are characterized by abnormal fucosylation, which results in developmental defects, immunological problems, and neurological symptoms. In addition, altered fucosylation patterns have been linked to cancer progression, making GDP-L-fucose synthase an important target for biomedical research. Using a GDP-L-fucose synthase antibody allows researchers to investigate these mechanisms and advance understanding of glycosylation-dependent processes.

NSJ Bioreagents provides a high-quality GDP-L-fucose synthase antibody validated for applications such as western blot, immunohistochemistry, and immunofluorescence. Choosing a GDP-L-fucose synthase antibody from NSJ Bioreagents ensures consistent results and reproducibility in glycosylation and metabolism research.

Application Notes

Optimal dilution of the GDP-L-fucose synthase antibody should be determined by the researcher.

Immunogen

Recombinant human protein (amino acids K44-K321) was used as the immunogen for the GDP-L-fucose synthase antibody.

Storage

After reconstitution, the GDP-L-fucose synthase antibody can be stored for up to one month at 4oC. For long-term, aliquot and store at -20oC. Avoid repeated freezing and thawing.

Cross
Bulk Quote Request Form
Name*:
Organization*:
Email*:
Phone Number*:
Catalog No.*:
Comments and Specifics(amount, formulation, etc.)*:
Validation code: Captchapackage Image


Can't read the image? click here to refresh.
    *required field

Your bulk quote request has been submitted successfully!

Please contact us if you have any questions.