• Tel: 858.663.9055
  • SeparatorEmail: info@nsjbio.com
  • Tel: 858.663.9055
  • Email: info@nsjbio.com
Home >> Antibodies >> GDF9 Antibody

GDF9 Antibody [clone GDF9/4261] (V8671)

  Catalog No Formulation Size Price (USD)  
Image V8671-100UG 0.2 mg/ml in 1X PBS with 0.1 mg/ml BSA (US sourced) and 0.05% sodium azide 100 ug 559
Image
V8671-20UG 0.2 mg/ml in 1X PBS with 0.1 mg/ml BSA (US sourced) and 0.05% sodium azide 20 ug 259
Image
V8671SAF-100UG 1 mg/ml in 1X PBS; BSA free, sodium azide free 100 ug 559
Bulk quote request
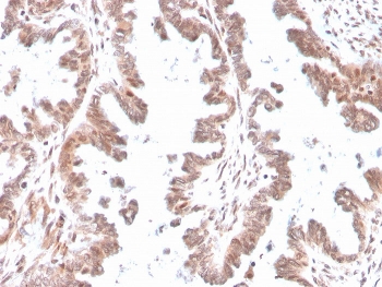
IHC staining of FFPE human ovary with GDF9 antibody. HIER: boil tissue sections in pH 9 10mM Tris with 1mM EDTA for 20 min and allow to cool before testing.
SDS-PAGE analysis of purified, BSA-free GDF9 antibody as confirmation of integrity and purity.
Availability 1-3 business days
Species Reactivity Human
Format Purified
Host Mouse
Clonality Monoclonal (mouse origin)
Isotype Mouse IgG1
Clone Name GDF9/4261
Purity Protein G affinity chromatography
UniProt O60383
Localization Cytoplasmic (secreted)
Applications ELISA : order Ab without BSA for coating
Western Blot : 1-2ug/ml
Immunohistochemistry (FFPE) : 1-2ug/ml for 30 minutes at RT
Limitations This GDF9 antibody is available for research use only.
Review this product on BioCompare and get a $20 Amazon gift card

Related Products

Description

GDF9 is a member of the bone morphogenetic protein (BMP) family and the TGF-beta superfamily. This group of proteins is characterized by a polybasic proteolytic processing site which is cleaved to produce a mature protein containing seven conserved cysteine residues. The members of this family are regulators of cell growth and differentiation in both embryonic and adult tissues. Growth factors synthesized by ovarian somatic cells directly affect oocyte growth and function. GDF9 is expressed in oocytes and is thought to be required for ovarian folliculogenesis. GDF9/4261 can be used in assays to detect oocyte expression and has been shown to neutralize GDF9 biological activity.

Application Notes

Optimal dilution of the GDF9 antibody should be determined by the researcher.

Immunogen

Amino acids VPAKYSPLSVLTIEPDGSIAYKEYEDMIATKC from the C-terminal region of human GDF9 were used as the immunogen for the GDF9 antibody. The epitope has been mapped to amino acids EPDG.

Storage

Store the GDF9 antibody at 2-8oC (with azide) or aliquot and store at -20oC or colder (without azide).

Cross
Bulk Quote Request Form
Name*:
Organization*:
Email*:
Phone Number*:
Catalog No.*:
Comments and Specifics(amount, formulation, etc.)*:
Validation code: Captchapackage Image


Can't read the image? click here to refresh.
    *required field

Your bulk quote request has been submitted successfully!

Please contact us if you have any questions.