• Tel: 858.663.9055
  • SeparatorEmail: info@nsjbio.com
  • Tel: 858.663.9055
  • Email: info@nsjbio.com
Home >> Antibodies >> GCNT2 Antibody

GCNT2 Antibody (F40004)

  Catalog No Formulation Size Price (USD)  
Image F40004-0.4ML In 1X PBS, pH 7.4, with 0.09% sodium azide 0.4 ml 439
Image
F40004-0.08ML In 1X PBS, pH 7.4, with 0.09% sodium azide 0.08 ml 205
Bulk quote request
GCNT2 antibody western blot analysis in mouse kidney tissue lysate
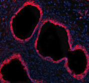
GCNT2 antibody immunohistochemistry analysis in formalin fixed and paraffin embedded human prostate carcinoma.
Availability 1-3 business days
Species Reactivity Human, Mouse
Format Antigen affinity purified
Host Rabbit
Clonality Polyclonal (rabbit origin)
Isotype Rabbit Ig
Purity Antigen affinity
UniProt Q06430
Applications Western Blot : 1:1000
IHC (Paraffin) : 1:10-1:50
Limitations This GCNT2 antibody is available for research use only.
Review this product on BioCompare and get a $20 Amazon gift card

Related Products

Description

This gene encodes the enzyme responsible for formation of the blood group I antigen. The i and I antigens are distinguished by linear and branched poly-N-acetyllactosaminoglycans, respectively. The encoded protein is the I-branching enzyme, a beta-1,6-N-acetylglucosaminyltransferase responsible for the conversion of fetal i antigen to adult I antigen in erythrocytes during embryonic development. Mutations in this gene have been associated with adult i blood group phenotype. Alternatively spliced transcript variants encoding different isoforms have been described.

Application Notes

Titration of the GCNT2 antibody may be required due to differences in protocols and secondary/substrate sensitivity.

Immunogen

A portion of amino acids 364-391 from the human protein was used as the immunogen for this GCNT2 antibody.

Storage

Aliquot the GCNT2 antibody and store frozen at -20oC or colder. Avoid repeated freeze-thaw cycles.

Cross
Bulk Quote Request Form
Name*:
Organization*:
Email*:
Phone Number*:
Catalog No.*:
Comments and Specifics(amount, formulation, etc.)*:
Validation code: Captchapackage Image


Can't read the image? click here to refresh.
    *required field

Your bulk quote request has been submitted successfully!

Please contact us if you have any questions.