• Tel: 858.663.9055
  • SeparatorEmail: info@nsjbio.com
  • Tel: 858.663.9055
  • Email: info@nsjbio.com
Home >> Antibodies >> GCNT2 Antibody / Beta-1,6-N-acetylglucosaminyltransferase 2

GCNT2 Antibody / Beta-1,6-N-acetylglucosaminyltransferase 2 (FY13350)

  Catalog No Formulation Size Price (USD)  
Image FY13350 Adding 0.2 ml of distilled water will yield a concentration of 500 ug/ml 100 ug 449
Bulk quote request
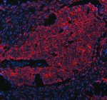
Immunofluorescent staining of GCNT2 using anti-GCNT2 antibody (red). GCNT2was detected in a paraffin-embedded section of human prostate cancer tissue. Heat mediated antigen retrieval was performed in EDTA buffer (pH 8.0, epitope retrieval solution). The tissue section was blocked with 10% goat serum. The tissue section was then incubated with 5 ug/ml rabbit anti-GCNT2 antibody overnight at 4oC. Cy3 Conjugated Goat Anti-Rabbit IgG was used as secondary antibody at 1:500 dilution and incubated for 30 minutes at 37oC. The section was counterstained with DAPI nuclear stain (blue). Visualize using a fluorescence microscope and filter sets appropriate for the label used.
Western blot analysis of GCNT2 using anti-GCNT2 antibody. Electrophoresis was performed on a 10% SDS-PAGE gel at 80V (Stacking gel) / 120V (Resolving gel) for 2 hours. Lane 1: human HepG2 whole cell lysates, Lane 2: human Caco-2 whole cell lysates, Lane 3: rat kidney tissue lysates, Lane 4: mouse kidney tissue lysates, Lane 5: mouse lung tissue lysates. After electrophoresis, proteins were transferred to a nitrocellulose membrane at 150 mA for 50-90 minutes. Blocked the membrane with 5% non-fat milk/TBS for 1.5 hour at RT. The membrane was incubated with rabbit anti-GCNT2 antibody at 0.5 ug/ml overnight at 4oC, then washed with TBS-0.1%Tween 3 times with 5 minutes each and probed with a goat anti-rabbit IgG-HRP secondary antibody at a dilution of 1:5000 for 1.5 hour at RT. The signal was developed using an ECL Plus Western Blotting Substrate. A predominant band is detected at approximately 40 kDa in all samples, running below the predicted ~46 kDa size but consistent with the known apparent molecular weight of the Golgi glycosyltransferase GCNT2.
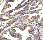
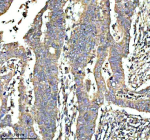
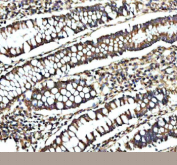
Immunohistochemical staining of GCNT2 using anti-GCNT2 antibody. GCNT2 was detected in a paraffin-embedded section of human colon cancer tissue. Heat mediated antigen retrieval was performed in EDTA buffer (pH 8.0, epitope retrieval solution). The tissue section was blocked with 10% goat serum. The tissue section was then incubated with 2 ug/ml rabbit anti-GCNT2 antibody overnight at 4oC. Peroxidase Conjugated Goat Anti-rabbit IgG was used as secondary antibody and incubated for 30 minutes at 37oC. The tissue section was developed using an HRP secondary and DAB substrate.
Immunohistochemical staining of GCNT2 using anti-GCNT2 antibody. GCNT2 was detected in a paraffin-embedded section of human prostate cancer tissue. Heat mediated antigen retrieval was performed in EDTA buffer (pH 8.0, epitope retrieval solution). The tissue section was blocked with 10% goat serum. The tissue section was then incubated with 2 ug/ml rabbit anti-GCNT2 antibody overnight at 4oC. Peroxidase Conjugated Goat Anti-rabbit IgG was used as secondary antibody and incubated for 30 minutes at 37oC. The tissue section was developed using an HRP secondary and DAB substrate.
Immunofluorescent staining of GCNT2 using anti-GCNT2 antibody (green) and anti-Beta Tubulin antibody (red). GCNT2 was detected in an immunocytochemical section of human A549 cells. Enzyme antigen retrieval was performed using IHC enzyme antigen retrieval reagent for 15 mins. The cells were blocked with 10% goat serum. And then incubated with 5 ug/ml rabbit anti-GCNT2 antibody and mouse anti-Beta Tubulin antibody overnight at 4oC. DyLight 488 Conjugated Goat Anti-Rabbit IgG and Cy3 Conjugated Goat Anti-Mouse IgG were used as secondary antibody at 1:500 dilution and incubated for 30 minutes at 37oC. The section was counterstained with DAPI nuclear stain (blue). Visualize using a fluorescence microscope and filter sets appropriate for the label used.
Flow Cytometry analysis of Caco-2 cells using anti-GCNT2 antibody. Overlay histogram showing Caco-2 cells stained with (Blue line). To facilitate intracellular staining, cells were fixed with 4% paraformaldehyde and permeabilized with permeabilization buffer. The cells were blocked with 10% normal goat serum. And then incubated with rabbit anti-GCNT2 antibody (1 ug/million cells) for 30 min at 20oC. DyLight 488 conjugated goat anti-rabbit IgG (5-10 ug/million cells) was used as secondary antibody for 30 minutes at 20oC. Isotype control antibody (Green line) was rabbit IgG (1 ug/million cells) used under the same conditions. Unlabelled sample without incubation with primary antibody and secondary antibody (Red line) was used as a blank control.
Flow Cytometry analysis of HepG2 cells using anti-GCNT2 antibody. Overlay histogram showing HepG2 cells stained with (Blue line). To facilitate intracellular staining, cells were fixed with 4% paraformaldehyde and permeabilized with permeabilization buffer. The cells were blocked with 10% normal goat serum. And then incubated with rabbit anti-GCNT2 antibody (1 ug/million cells) for 30 min at 20oC. DyLight 488 conjugated goat anti-rabbit IgG (5-10 ug/million cells) was used as secondary antibody for 30 minutes at 20oC. Isotype control antibody (Green line) was rabbit IgG (1 ug/million cells) used under the same conditions. Unlabelled sample without incubation with primary antibody and secondary antibody (Red line) was used as a blank control.
Immunofluorescent staining of GCNT2 using anti-GCNT2 antibody (red). GCNT2was detected in a paraffin-embedded section of human intestine cancer tissue. Heat mediated antigen retrieval was performed in EDTA buffer (pH 8.0, epitope retrieval solution). The tissue section was blocked with 10% goat serum. The tissue section was then incubated with 5 ug/ml rabbit anti-GCNT2 antibody overnight at 4oC. Cy3 Conjugated Goat Anti-Rabbit IgG was used as secondary antibody at 1:500 dilution and incubated for 30 minutes at 37oC. The section was counterstained with DAPI nuclear stain (blue). Visualize using a fluorescence microscope and filter sets appropriate for the label used.
Immunohistochemical staining of GCNT2 using anti-GCNT2 antibody. GCNT2 was detected in a paraffin-embedded section of human colon tissue. Heat mediated antigen retrieval was performed in EDTA buffer (pH 8.0, epitope retrieval solution). The tissue section was blocked with 10% goat serum. The tissue section was then incubated with 2 ug/ml rabbit anti-GCNT2 antibody overnight at 4oC. Peroxidase Conjugated Goat Anti-rabbit IgG was used as secondary antibody and incubated for 30 minutes at 37oC. The tissue section was developed using an HRP secondary and DAB substrate.
Availability 1-2 days
Species Reactivity Human, Mouse, Rat
Format Lyophilized
Host Rabbit
Clonality Polyclonal (rabbit origin)
Isotype Rabbit IgG
Purity Immunogen affinity purified
Buffer Each vial contains 4 mg Trehalose, 0.9 mg NaCl, 0.2 mg Na2HPO4.
UniProt Q8N0V5
Localization Cytoplasm (Golgi)
Applications Western Blot : 0.25-0.5ug/ml
Immunohistochemistry : 2-5ug/ml
Immunocytochemistry/Immunofluorescence : 5ug/ml
Immunofluorescence : 5ug/ml
Flow Cytometry : 1-3ug/million cells
ELISA : 0.1-0.5ug/ml
Limitations This GCNT2 antibody is available for research use only.
Review this product on BioCompare and get a $20 Amazon gift card

Related Products

  • Applications : WB, IHC, ELISA
    Reactivity : Human, Mouse

Description

GCNT2 antibody detects Beta-1,6-N-acetylglucosaminyltransferase 2, a Golgi-localized glycosyltransferase encoded by the GCNT2 gene on chromosome 6p24.3. GCNT2 is an enzyme that catalyzes the branching of poly-N-acetyllactosamine chains on glycoproteins and glycolipids, forming the I and i blood group antigens. It belongs to the glycosyltransferase 14 family and plays an essential role in the biosynthesis of complex glycans, particularly those expressed on erythrocytes, epithelial cells, and the ocular lens. GCNT2 expression is highest in red blood cells, corneal tissue, and gastrointestinal epithelium, where it contributes to cell adhesion and recognition processes.

GCNT2 functions by transferring N-acetylglucosamine residues via a beta1,6 linkage to galactose units, generating branched carbohydrate structures. These modifications affect protein stability, receptor signaling, and cell-cell interactions. The enzyme has three transcript isoforms (A, B, and C), each exhibiting tissue-specific expression patterns and promoter usage. GCNT2A is predominant in erythroid cells, while GCNT2B and GCNT2C are expressed in non-hematopoietic tissues such as the lens and gastrointestinal tract.

Structurally, GCNT2 contains a conserved catalytic domain typical of glycosyltransferases, including the DXH motif required for donor sugar binding. It is anchored in the Golgi membrane by a short N-terminal transmembrane domain, positioning its catalytic site within the lumen for glycan modification. GCNT2 belongs to the GT14 family of glycosyltransferases, which also includes GCNT1 and GCNT3, enzymes responsible for branching of mucin-type O-glycans and other carbohydrate chains.

Functionally, GCNT2 is responsible for converting linear i antigens into branched I antigens during erythrocyte maturation. Loss of GCNT2 activity results in the adult i blood group phenotype, characterized by persistence of fetal-type linear glycans. In the lens, GCNT2 participates in glycoprotein processing required for lens transparency, while in epithelial tissues, it regulates mucin glycosylation that influences cell adhesion and immune defense. Known substrates of GCNT2 include glycoproteins bearing poly-N-acetyllactosamine extensions such as laminin and selectins.

Mutations in GCNT2 are associated with congenital cataracts and the rare adult i blood group phenotype. Reduced enzymatic activity leads to accumulation of unbranched glycan structures, affecting membrane organization and cell surface recognition. In cancer, altered GCNT2 expression has been observed in breast, colon, and gastric carcinomas, where changes in glycan branching influence cell motility and metastasis. Pathway associations include glycosphingolipid biosynthesis, protein glycosylation, and immune recognition processes.

Immunohistochemical staining using GCNT2 antibody shows Golgi localization in epithelial and erythroid cells. The GCNT2 antibody from NSJ Bioreagents is an effective tool for investigating glycan biosynthesis, erythrocyte differentiation, and cancer-related changes in glycosylation patterns.

Application Notes

Optimal dilution of the GCNT2 antibody should be determined by the researcher.

Immunogen

E.coli-derived human GCNT2 recombinant protein (Position: E27-Q397) was used as the immunogen for the GCNT2 antibody.

Storage

After reconstitution, the GCNT2 antibody can be stored for up to one month at 4oC. For long-term, aliquot and store at -20oC. Avoid repeated freezing and thawing.

Cross
Bulk Quote Request Form
Name*:
Organization*:
Email*:
Phone Number*:
Catalog No.*:
Comments and Specifics(amount, formulation, etc.)*:
Validation code: Captchapackage Image


Can't read the image? click here to refresh.
    *required field

Your bulk quote request has been submitted successfully!

Please contact us if you have any questions.