• Tel: 858.663.9055
  • SeparatorEmail: info@nsjbio.com
  • Tel: 858.663.9055
  • Email: info@nsjbio.com
Home >> Antibodies >> GCLM Antibody / Glutamate-Cysteine Ligase Regulatory Subunit

GCLM Antibody / Glutamate-Cysteine Ligase Regulatory Subunit (F54261)

  Catalog No Formulation Size Price (USD)  
Image F54261-0.4ML In 1X PBS, pH 7.4, with 0.09% sodium azide 0.4 ml 439
Image
F54261-0.08ML In 1X PBS, pH 7.4, with 0.09% sodium azide 0.08 ml 205
Bulk quote request
Western blot testing of human HeLa cell lysate with GCLM antibody. Predicted molecular weight ~31 kDa.
Western blot testing of 1) human 293 and 2) mouse kidney lysate with GCLM antibody. Predicted molecular weight ~31 kDa.
Immunofluorescent staining of fixed and permeabilized human 293 cells with GCLM antibody (green) and DAPI nuclear stain (blue).
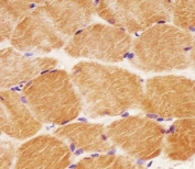
IHC testing of FFPE human skeletal muscle tissue with GCLM antibody. HIER: steam section in pH6 citrate buffer for 20 min and allow to cool prior to staining.
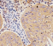
IHC testing of FFPE human cervical carcinoma tissue with GCLM antibody. HIER: steam section in pH6 citrate buffer for 20 min and allow to cool prior to staining.
Flow cytometry testing of fixed and permeabilized human 293 cells with GCLM antibody; Blue=isotype control, Green= GCLM antibody.
Availability 1-3 business days
Species Reactivity Human, Mouse
Format Purified
Host Rabbit
Clonality Polyclonal (rabbit origin)
Isotype Rabbit Ig
Purity Antigen affinity purified
UniProt P48507
Gene ID 2730
Localization Cytoplasmic
Applications Western Blot : 1:1000-1:2000
Immunohistochemistry (FFPE) : 1:25-50
Flow Cytometry : 1:25 (1x10e6 cells)
Immunofluorescence : 1:25
Limitations This GCLM antibody is available for research use only.
Review this product on BioCompare and get a $20 Amazon gift card

Related Products

Description

GCLM known as gamma-glutamylcysteine synthetase, is the first rate limiting enzyme of glutathione synthesis. The enzyme consists of two subunits, a heavy catalytic subunit and a light regulatory subunit. Gamma glutamylcysteine synthetase deficiency has been implicated in some forms of hemolytic anemia.

Application Notes

The stated application concentrations are suggested starting points. Titration of the GCLM antibody may be required due to differences in protocols and secondary/substrate sensitivity.

Immunogen

A portion of amino acids 246-274 from the human protein were used as the immunogen for the GCLM antibody.

Storage

Aliquot the GCLM antibody and store frozen at -20oC or colder. Avoid repeated freeze-thaw cycles.

Cross
Bulk Quote Request Form
Name*:
Organization*:
Email*:
Phone Number*:
Catalog No.*:
Comments and Specifics(amount, formulation, etc.)*:
Validation code: Captchapackage Image


Can't read the image? click here to refresh.
    *required field

Your bulk quote request has been submitted successfully!

Please contact us if you have any questions.