• Tel: 858.663.9055
  • SeparatorEmail: info@nsjbio.com
  • Tel: 858.663.9055
  • Email: info@nsjbio.com
Home >> Antibodies >> GCLM Antibody / GLCLR

GCLM Antibody / GLCLR [clone GCLM/4068] (V4660)

  Catalog No Formulation Size Price (USD)  
Image V4660-100UG 0.2 mg/ml in 1X PBS with 0.1 mg/ml BSA (US sourced), 0.05% sodium azide 100 ug 559
Image
V4660-20UG 0.2 mg/ml in 1X PBS with 0.1 mg/ml BSA (US sourced), 0.05% sodium azide 20 ug 259
Image
V4660SAF-100UG 1 mg/ml in 1X PBS; BSA free, sodium azide free 100 ug 559
Bulk quote request
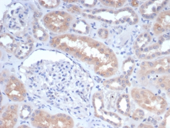
IHC staining of FFPE human kidney tissue with GCLM antibody (clone GCLM/4068). HIER: boil tissue sections in pH 9 10mM Tris with 1mM EDTA for 20 min and allow to cool before testing.
SDS-PAGE analysis of purified, BSA-free GCLM antibody (clone GCLM/4068) as confirmation of integrity and purity.
Availability 1-3 business days
Species Reactivity Human
Format Purified
Host Mouse
Clonality Monoclonal (mouse origin)
Isotype Mouse IgG2a, kappa
Clone Name GCLM/4068
Purity Protein A/G affinity
UniProt P48507
Localization Cytoplasmic
Applications Immunohistochemistry (FFPE) : 1-2ug/ml for 30 min at RT
Limitations This GCLM antibody is available for research use only.
Review this product on BioCompare and get a $20 Amazon gift card

Related Products

Description

g-glutamylcysteine synthetase (g-GCS) is the rate limiting enzyme for glutathione (L-g-glutamyl-L-cysteinylglycine, GSH) synthesis. GSH is ubiquitous in mammalian cells as a vital intra- and extracellular protective antioxidant. g-GCS is a heterodimer of a heavy catalytic subunit and a light regulatory subunit that is responsive to inflammation, phenolic antioxidants, heat shock, oxidants and cytokines. The human g-GCS gene encoding the 367 amino acid catalytic subunit maps to chromosome 6p12. The human g-GCS gene encoding the regulatory subunit maps to chromosome 1p22.1. The two subunits of g-GCS form a heterodimeric zinc metalloprotein that gains activity through formation of a reversible disulfide bond.

Application Notes

Optimal dilution of the GCLM antibody should be determined by the researcher.

Immunogen

Recombinant full-length human GCLM protein was used as the immunogen for the GCLM antibody.

Storage

Aliquot the GCLM antibody and store frozen at -20oC or colder. Avoid repeated freeze-thaw cycles.

Cross
Bulk Quote Request Form
Name*:
Organization*:
Email*:
Phone Number*:
Catalog No.*:
Comments and Specifics(amount, formulation, etc.)*:
Validation code: Captchapackage Image


Can't read the image? click here to refresh.
    *required field

Your bulk quote request has been submitted successfully!

Please contact us if you have any questions.