• Tel: 858.663.9055
  • SeparatorEmail: info@nsjbio.com
  • Tel: 858.663.9055
  • Email: info@nsjbio.com
Home >> Antibodies >> GBX2 Antibody / Gastrulation Brain Homeobox 2

GBX2 Antibody / Gastrulation Brain Homeobox 2 [clone GBX2/7235] (V4964)

  Catalog No Formulation Size Price (USD)  
Image V4964-100UG 0.2 mg/ml in 1X PBS with 0.1 mg/ml BSA (US sourced), 0.05% sodium azide 100 ug 559
Image
V4964-20UG 0.2 mg/ml in 1X PBS with 0.1 mg/ml BSA (US sourced), 0.05% sodium azide 20 ug 259
Image
V4964SAF-100UG 1 mg/ml in 1X PBS; BSA free, sodium azide free 100 ug 559
Bulk quote request
IHC staining of FFPE human brain tissue with GBX2 antibody (clone GBX2/7235). Inset: PBS used in place of primary Ab (secondary Ab negative control). HIER: boil tissue sections in pH 9 10mM Tris with 1mM EDTA for 20 min and allow to cool before testing.
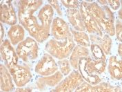
IHC staining of FFPE human kidney tissue with GBX2 antibody (clone GBX2/7235). HIER: boil tissue sections in pH 9 10mM Tris with 1mM EDTA for 20 min and allow to cool before testing.
SDS-PAGE analysis of purified, BSA-free GBX2 antibody (clone GBX2/7235) as confirmation of integrity and purity.
Availability 1-3 business days
Species Reactivity Human
Format Purified
Host Mouse
Clonality Monoclonal (mouse origin)
Isotype Mouse IgG2, kappa
Clone Name GBX2/7235
Purity Protein A/G affinity
UniProt P52951
Localization Nucleus
Applications Immunohistochemistry (FFPE) : 1-2ug/ml for 30 min at RT
Limitations This GBX2 antibody is available for research use only.
Review this product on BioCompare and get a $20 Amazon gift card

Related Products

Description

The isthmic organizer signals at the mid/hindbrain boundary (MHB) regulate the development and differentiation of the vertebrate caudal midbrain and the anterior hindbrain. The MHB forms at the boundary of expression between homeobox genes GBX2 and OTX2. GBX2 and OTX2 play distinct, essential roles in MHB positioning and development. During development, the GBX2 gene is expressed in the anterior hindbrain. Specifically, GBX2 negatively regulates OTX2 expression along the anterior-posterior axis; GBX2- mutants demonstrate an expanded OTX2 domain. During development, the GBX2 gene is expressed in the anterior hindbrain. GBX2 is expressed in the adult brain, spleen and female genital tract. The GBX2 gene is overexpressed in human prostate cancer cell lines (TSU-prl, PC3, DU145 and LNCaP). Furthermore, downregulation of GBX2 expression restricts tumorigenicity in human prostate cancer cell lines, which suggests that GBX2 expression may be required for growth of malignant prostate cells.

Application Notes

Optimal dilution of the GBX2 antibody should be determined by the researcher.

Immunogen

A recombinant partial protein sequence (within amino acids 150-350) from the human protein was used as the immunogen for the GBX2 antibody.

Storage

Aliquot the GBX2 antibody and store frozen at -20oC or colder. Avoid repeated freeze-thaw cycles.

Cross
Bulk Quote Request Form
Name*:
Organization*:
Email*:
Phone Number*:
Catalog No.*:
Comments and Specifics(amount, formulation, etc.)*:
Validation code: Captchapackage Image


Can't read the image? click here to refresh.
    *required field

Your bulk quote request has been submitted successfully!

Please contact us if you have any questions.