• Tel: 858.663.9055
  • SeparatorEmail: info@nsjbio.com
  • Tel: 858.663.9055
  • Email: info@nsjbio.com
Home >> Antibodies >> GBP1 Antibody / Interferon-Induced Immune Response Marker

GBP1 Antibody / Interferon-Induced Immune Response Marker (FY12213)

  Catalog No Formulation Size Price (USD)  
Image FY12213 Adding 0.2 ml of distilled water will yield a concentration of 500 ug/ml 100 ug 449
Bulk quote request
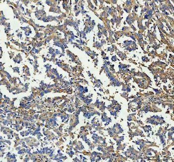
GBP1 Antibody Ovarian Cancer IHC. Immunohistochemistry analysis of paraffin-embedded human ovarian cancer tissue stained with GBP1 antibody demonstrates moderate cytoplasmic HRP-DAB brown staining throughout malignant epithelial and stromal-associated cellular populations, consistent with interferon-responsive inflammatory signaling and innate immune activation pathways involving Guanylate binding protein 1 / GBP1. The observed staining pattern aligns with the role of GBP1 as an interferon-inducible large GTPase associated with host defense and immune-associated tissue responses. Heat mediated antigen retrieval was performed in EDTA buffer (pH 8.0).
GBP1 Antibody Multi-Species WB. Western blot analysis of human placenta tissue lysate, human HUVEC whole cell lysate, human MCF-7 whole cell lysate, human HeLa whole cell lysate, rat brain tissue lysate, rat spleen tissue lysate, mouse brain tissue lysate, and mouse spleen tissue lysate using GBP1 antibody demonstrates a distinct band at approximately 68 kDa, consistent with the expected molecular weight of Guanylate binding protein 1 / GBP1. The observed cross-species expression profile supports the role of GBP1 as an interferon-induced GTPase involved in innate immune signaling, inflammatory activation, and host defense-associated pathways. Detection was performed using rabbit anti-GBP1 antibody followed by HRP-conjugated goat anti-rabbit secondary antibody and enhanced chemiluminescent development.
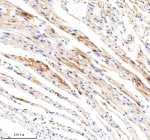
GBP1 Antibody Mouse Heart IHC. Immunohistochemistry analysis of paraffin-embedded mouse heart tissue stained with GBP1 antibody demonstrates cytoplasmic HRP-DAB brown staining within cardiomyocyte-associated and stromal cellular populations, consistent with interferon-responsive GBP1 expression in inflammatory and stress-associated tissue environments. The staining profile aligns with the role of Guanylate binding protein 1 / GBP1 as an innate immune-associated large GTPase involved in cytokine-responsive signaling pathways. Heat mediated antigen retrieval was performed in EDTA buffer (pH 8.0).
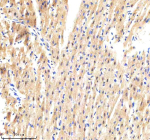
GBP1 Antibody Rat Heart IHC. Immunohistochemistry analysis of paraffin-embedded rat heart tissue stained with GBP1 antibody demonstrates diffuse cytoplasmic HRP-DAB brown staining within cardiomyocyte-associated cellular populations, consistent with the role of Guanylate binding protein 1 / GBP1 in interferon-responsive inflammatory signaling and stress-associated innate immune pathways. The observed staining pattern supports the established function of GBP1 as an interferon-inducible host defense GTPase involved in immune-associated cellular activation. Heat mediated antigen retrieval was performed in EDTA buffer (pH 8.0).
GBP1 Antibody SiHa IF. Immunofluorescence analysis of SiHa cells stained with GBP1 antibody demonstrates diffuse cytoplasmic green fluorescence consistent with the localization of Guanylate binding protein 1 / GBP1 as an interferon-inducible large GTPase involved in innate immune signaling and inflammatory response pathways. DAPI nuclear counterstain is shown in blue. Enzyme antigen retrieval was performed for 15 min prior to staining, followed by DyLight 488-conjugated goat anti-rabbit secondary antibody detection.
GBP1 Antibody HeLa IP-WB. Immunoprecipitation of GBP1 from HeLa whole cell lysate followed by western blot analysis using GBP1 antibody demonstrates a distinct band at approximately 68 kDa, consistent with the expected molecular weight of Guanylate binding protein 1 / GBP1. Lane 1: HeLa whole cell lysate input control (30 ug). Lane 2: rabbit IgG negative control immunoprecipitation. Lane 3: immunoprecipitation using anti-GBP1 antibody (2 ug) with HeLa whole cell lysate (500 ug). The selective enrichment observed in the GBP1 immunoprecipitation lane supports specific detection of this interferon-inducible large GTPase involved in innate immune signaling and inflammatory response pathways. Detection was performed using rabbit anti-GBP1 antibody followed by HRP-conjugated goat anti-rabbit secondary antibody and ECL substrate development.
GBP1 Antibody MCF-7 FACS. Flow cytometry analysis of MCF-7 cells stained with GBP1 antibody demonstrates a clear rightward shift of the positive cell population relative to the isotype control, consistent with detection of Guanylate binding protein 1 / GBP1 expression in epithelial-derived tumor cells. Blue=GBP1 antibody, Green=isotype control, Red=blank control. Cells were fixed with 4% paraformaldehyde, blocked with normal goat serum, and detected using DyLight 488-conjugated goat anti-rabbit secondary antibody.
Availability 1-2 days
Species Reactivity Human, Mouse, Rat
Format Lyophilized
Host Rabbit
Clonality Polyclonal (rabbit origin)
Isotype Rabbit IgG
Purity Immunogen affinity purified
Buffer Each vial contains 4 mg Trehalose, 0.9 mg NaCl, 0.2 mg Na2HPO4.
UniProt P32455
Localization Cytoplasmic, secreted
Applications ELISA : 0.1-0.5ug/ml
Flow Cytometry : 1-3ug/million cells
Immunoprecipitation : 2-4ug/500ug of lysate
Immunofluorescence : 5ug/ml
Immunohistochemistry : 2-5ug/ml
Immunocytochemistry : 5ug/ml
Western Blot : 0.25-0.5ug/ml
Limitations This GBP1 Antibody / Interferon-Induced Immune Response Marker is available for research use only.
Review this product on BioCompare and get a $20 Amazon gift card

Related Products

Description

Guanylate binding protein 1 (GBP1) is an interferon-inducible large GTPase involved in innate immune defense, inflammatory signaling, and host response to intracellular pathogens. The GBP1 Antibody / Interferon-Induced Immune Response Marker is positioned for studies of interferon-gamma signaling, antimicrobial defense pathways, inflammatory activation, and immune-associated tissue responses.

GBP1 is encoded by the GBP1 gene on chromosome 1p22 and belongs to the guanylate-binding protein family of large dynamin-related GTPases. The protein is strongly induced by interferon-gamma and additional inflammatory cytokine-associated signaling pathways. GBP1 is primarily localized within the cytoplasm but may also associate with intracellular membrane structures, pathogen-containing vacuoles, and inflammatory signaling complexes during immune activation states.

GBP1 participates in multiple aspects of innate immune defense and inflammatory regulation. The protein contributes to antimicrobial responses directed against intracellular bacterial, viral, and protozoan pathogens through mechanisms involving pathogen compartment targeting, inflammasome-associated signaling, and disruption of pathogen-associated membrane integrity. GBP1 has also been implicated in regulation of cytokine-associated immune responses, interferon-mediated signaling cascades, and host cell defense programs activated during infection and inflammatory stress.

Expression of GBP1 is frequently associated with activated immune environments and inflammatory tissue states. Elevated GBP1 levels have been reported in response to interferon stimulation, chronic inflammatory signaling, infection-associated immune activation, and tumor-associated immune microenvironments. Because GBP1 expression reflects interferon pathway activation, the protein is commonly studied alongside markers of immune infiltration, cytokine signaling, and inflammatory response regulation.

Beyond infectious disease biology, GBP1 has emerged as a relevant target in cancer immunology and tumor microenvironment research. Increased GBP1 expression has been associated with interferon-responsive tumor states, inflammatory stromal activation, and immune-associated transcriptional programs in multiple cancer types. GBP1 may therefore serve as a useful marker within studies involving immune checkpoint signaling, tumor inflammation, and cytokine-associated anti-tumor responses.

As a large interferon-responsive GTPase, GBP1 also contributes to broader cellular pathways involving vesicle-associated signaling, intracellular trafficking, and stress-responsive host defense mechanisms. The protein interacts with additional interferon-induced immune regulators and may participate in coordinated antimicrobial complexes involved in restriction of intracellular pathogen replication and dissemination.

Immunohistochemical and western blot analyses using GBP1 antibodies commonly demonstrate cytoplasmic staining patterns in activated epithelial, endothelial, stromal, and immune-associated cellular populations consistent with interferon-responsive expression profiles. GBP1 continues to serve as an important research target across immunology, inflammation biology, infectious disease research, host-pathogen interaction studies, and tumor immune microenvironment investigations.

Additional antibodies involved in innate immunity, interferon signaling, inflammatory activation, and host defense pathways can be explored within our Immunology Antibodies collection.

Application Notes

Optimal dilution of the GBP1 antibody should be determined by the researcher.

Immunogen

E.coli-derived human GBP1 recombinant protein (Position: E190-S592) was used as the immunogen for the GBP1 antibody.

Storage

After reconstitution, the GBP1 antibody can be stored for up to one month at 4oC. For long-term, aliquot and store at -20oC. Avoid repeated freezing and thawing.

Alternate Names

GBP1 antibody, Guanylate binding protein 1 antibody, Interferon-induced GTPase antibody, Innate immune response marker antibody, Antimicrobial defense protein antibody

Cross
Bulk Quote Request Form
Name*:
Organization*:
Email*:
Phone Number*:
Catalog No.*:
Comments and Specifics(amount, formulation, etc.)*:
Validation code: Captchapackage Image


Can't read the image? click here to refresh.
    *required field

Your bulk quote request has been submitted successfully!

Please contact us if you have any questions.