• Tel: 858.663.9055
  • SeparatorEmail: info@nsjbio.com
  • Tel: 858.663.9055
  • Email: info@nsjbio.com
Home >> Antibodies >> GBF1 Antibody / Golgi-specific brefeldin A-resistance factor 1

GBF1 Antibody / Golgi-specific brefeldin A-resistance factor 1 (FY13072)

  Catalog No Formulation Size Price (USD)  
Image FY13072 Adding 0.2 ml of distilled water will yield a concentration of 500 ug/ml 100 ug 449
Bulk quote request
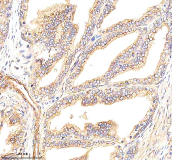
Immunohistochemical staining of GBF1 using anti-GBF1 antibody. GBF1 was detected in a paraffin-embedded section of human prostate cancer tissue. Heat mediated antigen retrieval was performed in EDTA buffer (pH 8.0, epitope retrieval solution). The tissue section was blocked with 10% goat serum. The tissue section was then incubated with 2 ug/ml rabbit anti-GBF1 antibody overnight at 4oC. Peroxidase Conjugated Goat Anti-rabbit IgG was used as secondary antibody and incubated for 30 minutes at 37oC. The tissue section was developed using an HRP secondary and DAB substrate.
Western blot analysis of GBF1 using anti-GBF1 antibody. Electrophoresis was performed on a 8% SDS-PAGE gel at 80V (Stacking gel) / 120V (Resolving gel) for 2 hours. Lane 1: human U251 whole cell lysates, Lane 2: human Caco-2 whole cell lysates, Lane 3: human whole cell lysates, Lane 4: human HepG2 whole cell lysates, Lane 5: rat brain tissue lysates, Lane 6: mouse brain tissue lysates. After electrophoresis, proteins were transferred to a nitrocellulose membrane at 150 mA for 50-90 minutes. Blocked the membrane with 5% non-fat milk/TBS for 1.5 hour at RT. The membrane was incubated with rabbit anti-GBF1 antibody at 0.5 ug/ml overnight at 4oC, then washed with TBS-0.1%Tween 3 times with 5 minutes each and probed with a goat anti-rabbit IgG-HRP secondary antibody at a dilution of 1:5000 for 1.5 hour at RT. The signal was developed using an ECL Plus Western Blotting Substrate. Although GBF1 has a predicted molecular weight of ~207 kDa, it consistently migrates at ~240-260 kDa on SDS–PAGE, as reported in previous biochemical studies. The slower migration is due to GBF1’s extended coiled-coil structure and multiple phosphorylation sites, which affect SDS binding. Additional faint bands above or below this region likely represent differentially modified or partially processed forms of GBF1 present in distinct cell and tissue types.
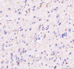
Immunohistochemical staining of GBF1 using anti-GBF1 antibody. GBF1 was detected in a paraffin-embedded section of rat brain tissue. Heat mediated antigen retrieval was performed in EDTA buffer (pH 8.0, epitope retrieval solution). The tissue section was blocked with 10% goat serum. The tissue section was then incubated with 2 ug/ml rabbit anti-GBF1 antibody overnight at 4oC. Peroxidase Conjugated Goat Anti-rabbit IgG was used as secondary antibody and incubated for 30 minutes at 37oC. The tissue section was developed using an HRP secondary and DAB substrate.
Immunohistochemical staining of GBF1 using anti-GBF1 antibody. GBF1 was detected in a paraffin-embedded section of mouse brain tissue. Heat mediated antigen retrieval was performed in EDTA buffer (pH 8.0, epitope retrieval solution). The tissue section was blocked with 10% goat serum. The tissue section was then incubated with 2 ug/ml rabbit anti-GBF1 antibody overnight at 4oC. Peroxidase Conjugated Goat Anti-rabbit IgG was used as secondary antibody and incubated for 30 minutes at 37oC. The tissue section was developed using an HRP secondary and DAB substrate.
Western blot analysis of GBF1 using anti-GBF1 antibody. Electrophoresis was performed on a 8% SDS-PAGE gel at 80V (Stacking gel) / 120V (Resolving gel) for 2 hours. Lane 1: human U251 whole cell lysates, Lane 2: human CACO-2 whole cell lysates, Lane 3: human whole cell lysates, Lane 4: human HepG2 whole cell lysates. After electrophoresis, proteins were transferred to a nitrocellulose membrane at 150 mA for 50-90 minutes. Blocked the membrane with 5% non-fat milk/TBS for 1.5 hour at RT. The membrane was incubated with rabbit anti-GBF1 antibody at 0.5 ug/ml overnight at 4oC, then washed with TBS-0.1%Tween 3 times with 5 minutes each and probed with a goat anti-rabbit IgG-HRP secondary antibody at a dilution of 1:5000 for 1.5 hour at RT. The signal is developed using an ECL Plus Western Blotting Substrate with Tanon 5200 system. GBF1 has a predicted molecular weight of ~207 kDa but consistently migrates at ~240-260 kDa, in agreement with published reports. The higher apparent size results from GBF1’s extended coiled-coil structure and extensive phosphorylation, which reduce SDS mobility. Additional bands around 200-230 kDa likely represent partially proteolyzed or alternatively modified forms of the protein. This multi-band pattern is characteristic of GBF1 and has been observed in both cultured cells and tissue lysates.
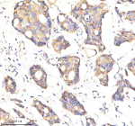
Immunohistochemical staining of GBF1 using anti-GBF1 antibody. GBF1 was detected in a paraffin-embedded section of human breast cancer tissue. Heat mediated antigen retrieval was performed in EDTA buffer (pH 8.0, epitope retrieval solution). The tissue section was blocked with 10% goat serum. The tissue section was then incubated with 2 ug/ml rabbit anti-GBF1 antibody overnight at 4oC. Peroxidase Conjugated Goat Anti-rabbit IgG was used as secondary antibody and incubated for 30 minutes at 37oC. The tissue section was developed using an HRP secondary and DAB substrate.
Immunofluorescent staining of GBF1 using anti-GBF1 antibody (green). GBF1 was detected in an immunocytochemical section of U2OS cells. Enzyme antigen retrieval was performed using IHC enzyme antigen retrieval reagent for 15 mins. The cells were blocked with 10% goat serum. And then incubated with 5 ug/ml rabbit anti-GBF1 antibody overnight at 4oC. DyLight 488 Conjugated Goat Anti-Rabbit IgG was used as secondary antibody at 1:500 dilution and incubated for 30 minutes at 37oC. The section was counterstained with DAPI nuclear stain (blue). Visualize using a fluorescence microscope and filter sets appropriate for the label used.
Flow Cytometry analysis of HepG2 cells using anti-GBF1 antibody. Overlay histogram showing HepG2 cells stained with (Blue line). To facilitate intracellular staining, cells were fixed with 4% paraformaldehyde and permeabilized with permeabilization buffer. The cells were blocked with 10% normal goat serum. And then incubated with rabbit anti-GBF1 antibody (1 ug/million cells) for 30 min at 20oC. DyLight 488 conjugated goat anti-rabbit IgG (5-10 ug/million cells) was used as secondary antibody for 30 minutes at 20oC. Isotype control antibody (Green line) was rabbit IgG (1 ug/million cells) used under the same conditions. Unlabelled sample without incubation with primary antibody and secondary antibody (Red line) was used as a blank control.
Availability 1-2 days
Species Reactivity Human, Mouse, Rat
Format Lyophilized
Host Rabbit
Clonality Polyclonal (rabbit origin)
Isotype Rabbit IgG
Purity Immunogen affinity purified
Buffer Each vial contains 4 mg Trehalose, 0.9 mg NaCl, 0.2 mg Na2HPO4.
UniProt Q92538
Localization Cytoplasm, Golgi
Applications Western Blot : 0.25-0.5ug/ml
Immunohistochemistry : 2-5ug/ml
Immunocytochemistry : 5ug/ml
Immunofluorescence : 5ug/ml
Flow Cytometry : 1-3ug/million cells
ELISA : 0.1-0.5ug/ml
Limitations This GBF1 antibody is available for research use only.
Review this product on BioCompare and get a $20 Amazon gift card

Related Products

Description

GBF1 antibody detects Golgi-specific brefeldin A-resistance factor 1, a guanine nucleotide exchange factor that activates ADP-ribosylation factor (ARF) GTPases controlling membrane trafficking. The UniProt recommended name is Golgi-specific brefeldin A-resistance factor 1 (GBF1). This large cytosolic protein is essential for vesicle formation, Golgi integrity, and maintenance of the secretory pathway.

Functionally, GBF1 antibody identifies a 1859-amino-acid protein that catalyzes GDP-GTP exchange on ARF1, ARF3, and related GTPases, stimulating COPI-coated vesicle assembly and Golgi-to-ER transport. GBF1 localizes to the cis-Golgi and early endosomes, where it regulates membrane curvature and vesicle budding. Brefeldin A inhibits many GEFs but not GBF1, making it a critical regulator of Golgi architecture during stress or drug treatment.

The GBF1 gene is located on chromosome 10q24.32 and is ubiquitously expressed in mammalian cells, with high abundance in secretory tissues. GBF1 coordinates with its effectors, such as BIG1 and BIG2, to sustain bidirectional membrane traffic between the endoplasmic reticulum and Golgi complex. Its activity is modulated by lipid composition, phosphorylation, and interaction with small GTPases and coatomer complexes.

Pathologically, GBF1 dysfunction disrupts vesicular trafficking and contributes to Golgi fragmentation, neurodegeneration, and viral replication. Several RNA viruses exploit GBF1 to remodel host membranes for replication complexes. Conversely, depletion of GBF1 can impair secretion and protein glycosylation, leading to ER stress and altered cellular homeostasis.

GBF1 antibody is widely used in cell biology and virology research to study Golgi dynamics, ARF signaling, and vesicle trafficking. It is suitable for western blotting, immunofluorescence, and immunoprecipitation. NSJ Bioreagents offers GBF1 antibody reagents validated for Golgi transport and membrane trafficking research.

Structurally, GBF1 contains a Sec7 catalytic domain responsible for nucleotide exchange, flanked by dimerization and regulatory domains that ensure specificity for ARF family substrates. Its structural organization supports dynamic localization to Golgi membranes and adaptation to cellular conditions. This antibody enables detailed study of Golgi organization, secretory pathway regulation, and virus-host interactions.

Application Notes

Optimal dilution of the GBF1 antibody should be determined by the researcher.

Immunogen

E.coli-derived human GBF1 recombinant protein (Position: E110-K1600) was used as the immunogen for the GBF1 antibody.

Storage

After reconstitution, the GBF1 antibody can be stored for up to one month at 4oC. For long-term, aliquot and store at -20oC. Avoid repeated freezing and thawing.

Cross
Bulk Quote Request Form
Name*:
Organization*:
Email*:
Phone Number*:
Catalog No.*:
Comments and Specifics(amount, formulation, etc.)*:
Validation code: Captchapackage Image


Can't read the image? click here to refresh.
    *required field

Your bulk quote request has been submitted successfully!

Please contact us if you have any questions.