• Tel: 858.663.9055
  • SeparatorEmail: info@nsjbio.com
  • Tel: 858.663.9055
  • Email: info@nsjbio.com
Home >> Antibodies >> GbetaL Antibody / LST8 / MLST8

GbetaL Antibody / LST8 / MLST8 (RQ8603)

  Catalog No Formulation Size Price (USD)  
Image RQ8603 0.5mg/ml if reconstituted with 0.2ml sterile DI water 100 ug 449
Bulk quote request
Immunofluorescent staining of FFPE human lung cancer tissue with GbetaL antibody (red) and DAPI nuclear stain (blue). HIER: steam section in pH8 EDTA buffer for 20 min.
Immunofluorescent staining of FFPE human intestinal cancer tissue with GbetaL antibody (red) and DAPI nuclear stain (blue). HIER: steam section in pH8 EDTA buffer for 20 min.
Immunofluorescent staining of FFPE human U-2 OS cells with GbetaL antibody (green) and Beta Tubulin mAb (red). HIER: steam section in pH6 citrate buffer for 20 min.
IHC staining of FFPE human thyroid papillary carcinoma tissue with GbetaL antibody. HIER: boil tissue sections in pH8 EDTA for 20 min and allow to cool before testing.
IHC staining of FFPE human rectum adenocarcinoma tissue with GbetaL antibody. HIER: boil tissue sections in pH8 EDTA for 20 min and allow to cool before testing.
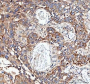
IHC staining of FFPE human liver cancer tissue with GbetaL antibody. HIER: boil tissue sections in pH8 EDTA for 20 min and allow to cool before testing.
IHC staining of FFPE human lung cancer tissue with GbetaL antibody. HIER: boil tissue sections in pH8 EDTA for 20 min and allow to cool before testing.
IHC staining of FFPE human esophageal squamous carcinoma tissue with GbetaL antibody. HIER: boil tissue sections in pH8 EDTA for 20 min and allow to cool before testing.
Western blot testing of 1) human HeLa, 2) rat kidney ad 3) mouse kidney tissue lysate with GbetaL antibody. Predicted molecular weight ~36 kDa.
Flow cytometry testing of fixed and permeabilized human SiHa cells with GbetaL antibody at 1ug/million cells (blocked with goat sera); Red=cells alone, Green=isotype control, Blue= GbetaL antibody.
Availability 1-3 days
Species Reactivity Human, Mouse, Rat
Format Antigen affinity purified
Host Rabbit
Clonality Polyclonal (rabbit origin)
Isotype Rabbit IgG
Purity Antigen affinity purified
Buffer Lyophilized from 1X PBS with 2% Trehalose
UniProt Q9BVC4
Localization Cytoplasm, Nucleus, Cell Junctions
Applications Western Blot : 0.5-1ug/ml
Immunohistochemistry (FFPE) : 2-5ug/ml
Immunofluorescence : 5ug/ml
Flow Cytometry : 1-3ug/million cells
ELISA : 0.1-0.5ug/ml
Limitations This GbetaL antibody is available for research use only.
Review this product on BioCompare and get a $20 Amazon gift card

Related Products

Description

Target of rapamycin complex subunit LST8, also known as mammalian lethal with SEC13 protein 8 (mLST8) or TORC subunit LST8 or G protein beta subunit-like (GbetaL or Gable), is a protein that in humans is encoded by the MLST8 (MTOR associated protein, LST8 homolog) gene. mTOR is a serine/threonine kinase that acts in two distinct complexes, mTORC1 and mTORC2, and is dysregulated in many diseases including cancer. mLST8 is a shared component of both mTORC1 and mTORC2. Mammalian lethal with SEC13 protein 8 (mLST8), is an indispensable protein subunit of mammalian target of rapamycin (mTOR) signaling pathway that interacts with the kinase domain of mTOR protein, thereby stabilizing its active site.

Application Notes

Optimal dilution of the GbetaL antibody should be determined by the researcher.

Immunogen

An E.coli-derived human recombinant protein (amino acids D11-G326) was used as the immunogen for the GbetaL antibody.

Storage

After reconstitution, the GbetaL antibody can be stored for up to one month at 4oC. For long-term, aliquot and store at -20oC. Avoid repeated freezing and thawing.

Cross
Bulk Quote Request Form
Name*:
Organization*:
Email*:
Phone Number*:
Catalog No.*:
Comments and Specifics(amount, formulation, etc.)*:
Validation code: Captchapackage Image


Can't read the image? click here to refresh.
    *required field

Your bulk quote request has been submitted successfully!

Please contact us if you have any questions.