• Tel: 858.663.9055
  • SeparatorEmail: info@nsjbio.com
  • Tel: 858.663.9055
  • Email: info@nsjbio.com
Home >> Antibodies >> GATM Antibody / Glycine amidinotransferase mitochondrial

GATM Antibody / Glycine amidinotransferase mitochondrial (FY12963)

  Catalog No Formulation Size Price (USD)  
Image FY12963 Adding 0.2 ml of distilled water will yield a concentration of 500 ug/ml 100 ug 439
Bulk quote request
Immunofluorescent staining of GATM using anti-GATM antibody (green). GATM was detected in a paraffin-embedded section of human breast cancer tissue. Heat mediated antigen retrieval was performed in EDTA buffer (pH 8.0, epitope retrieval solution). The tissue section was blocked with 10% goat serum. The tissue section was then incubated with 5 ug/ml rabbit anti-GATM antibody overnight at 4oC. DyLight 488 Conjugated Goat Anti-Rabbit IgG was used as secondary antibody at 1:500 dilution and incubated for 30 minutes at 37oC. The section was counterstained with DAPI nuclear stain (blue). Visualize using a fluorescence microscope and filter sets appropriate for the label used.
Western blot analysis of GATM using anti-GATM antibody. Lane 1: human AGS whole cell lysates, Lane 2: human HUH-7 whole cell lysates, Lane 3: rat kidney tissue lysates, Lane 4: rat HBZY-1 whole cell lysates, Lane 5: mouse kidney tissue lysates. After electrophoresis, proteins were transferred to a nitrocellulose membrane at 150 mA for 50-90 minutes. Blocked the membrane with 5% non-fat milk/TBS for 1.5 hour at RT. The membrane was incubated with rabbit anti-GATM antibody at 0.5 ug/ml overnight at 4oC, then washed with TBS-0.1%Tween 3 times with 5 minutes each and probed with a goat anti-rabbit IgG-HRP secondary antibody at a dilution of 1:5000 for 1.5 hour at RT. The signal was developed using enhanced chemiluminescent. A specific band was detected for GATM at approximately 48 kDa. The expected molecular weight of GATM is ~48 kDa.
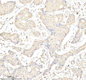
Immunohistochemical staining of GATM using anti-GATM antibody. GATM was detected in a paraffin-embedded section of human pancreas cancer tissue. Heat mediated antigen retrieval was performed in EDTA buffer (pH 8.0, epitope retrieval solution). The tissue section was blocked with 10% goat serum. The tissue section was then incubated with 2 ug/ml rabbit anti-GATM antibody overnight at 4oC. Peroxidase Conjugated Goat Anti-rabbit IgG was used as secondary antibody and incubated for 30 minutes at 37oC. The tissue section was developed using an HRP secondary and DAB substrate.
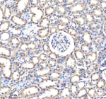
Immunohistochemical staining of GATM using anti-GATM antibody. GATM was detected in a paraffin-embedded section of rat kidney tissue. Heat mediated antigen retrieval was performed in EDTA buffer (pH 8.0, epitope retrieval solution). The tissue section was blocked with 10% goat serum. The tissue section was then incubated with 2 ug/ml rabbit anti-GATM antibody overnight at 4oC. Peroxidase Conjugated Goat Anti-rabbit IgG was used as secondary antibody and incubated for 30 minutes at 37oC. The tissue section was developed using an HRP secondary and DAB substrate.
Flow Cytometry analysis of THP-1 cells using anti-GATM antibody. Overlay histogram showing THP-1 cells stained with (Blue line). To facilitate intracellular staining, cells were fixed with 4% paraformaldehyde and permeabilized with permeabilization buffer. The cells were blocked with 10% normal goat serum. And then incubated with rabbit anti-GATM antibody (1 ug/million cells) for 30 min at 20oC. DyLight 488 conjugated goat anti-rabbit IgG (5-10 ug/million cells) was used as secondary antibody for 30 minutes at 20oC. Isotype control antibody (Green line) was rabbit IgG (1 ug/million cells) used under the same conditions. Unlabelled sample without incubation with primary antibody and secondary antibody (Red line) was used as a blank control.
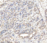
Immunohistochemical staining of GATM using anti-GATM antibody. GATM was detected in a paraffin-embedded section of human breast cancer tissue. Heat mediated antigen retrieval was performed in EDTA buffer (pH 8.0, epitope retrieval solution). The tissue section was blocked with 10% goat serum. The tissue section was then incubated with 2 ug/ml rabbit anti-GATM antibody overnight at 4oC. Peroxidase Conjugated Goat Anti-rabbit IgG was used as secondary antibody and incubated for 30 minutes at 37oC. The tissue section was developed using an HRP secondary and DAB substrate.
Availability 1-2 days
Species Reactivity Human, Mouse, Rat
Format Lyophilized
Clonality Polyclonal (rabbit origin)
Isotype Rabbit IgG
Purity Immunogen affinity purified
Buffer Each vial contains 4 mg Trehalose, 0.9 mg NaCl, 0.2 mg Na2HPO4.
UniProt P50440
Localization Cytoplasm, Mitochondria
Applications Western Blot : 0.25-0.5ug/ml
Immunohistochemistry : 2-5ug/ml
Immunofluorescence : 5ug/ml
Flow Cytometry : 1-3ug/million cells
ELISA : 0.1-0.5ug/ml
Limitations This GATM antibody is available for research use only.
Review this product on BioCompare and get a $20 Amazon gift card

Description

GATM antibody detects Glycine amidinotransferase, mitochondrial, an enzyme that catalyzes the first committed step in creatine biosynthesis. The UniProt recommended name is Glycine amidinotransferase, mitochondrial (GATM), also known as L-arginine:glycine amidinotransferase or AGAT. GATM transfers an amidino group from arginine to glycine, producing guanidinoacetate, which is subsequently methylated to creatine by GAMT. Creatine and phosphocreatine serve as rapid energy buffers in tissues with fluctuating ATP demand, including muscle and brain.

Functionally, GATM antibody identifies a 423-amino-acid mitochondrial matrix enzyme that catalyzes a reversible transamidination reaction dependent on pyridoxal phosphate (PLP) as a cofactor. This reaction provides the foundation for creatine synthesis, linking amino acid metabolism with cellular energy storage. The enzyme's activity supports energy homeostasis by ensuring adequate creatine production for high-energy phosphate transfer through the phosphocreatine system.

The GATM gene is located on chromosome 15q21.1 and encodes a homotetrameric enzyme targeted to mitochondria via an N-terminal transit peptide. GATM is primarily expressed in kidney, pancreas, and liver, where it supplies guanidinoacetate for systemic creatine synthesis. In muscle and neural tissues, creatine generated downstream of GATM activity is phosphorylated by creatine kinase to form phosphocreatine, maintaining ATP levels during high metabolic activity. Deficiency or mutation of GATM causes creatine deficiency syndrome, characterized by neurological impairment and muscle weakness.

GATM antibody is widely used in studies of amino acid metabolism, energy homeostasis, and mitochondrial function. It is a valuable marker for assessing creatine biosynthesis and mitochondrial enzyme integrity. Reduced GATM activity is linked to metabolic and neurological disorders, while upregulation has been observed under energy stress and oxidative conditions. The enzyme's function connects arginine metabolism, urea cycle intermediates, and ATP regeneration.

Structurally, GATM consists of an active-site lysine residue forming a Schiff base with PLP, enabling catalysis of amidino transfer. The enzyme forms stable homotetramers that ensure efficient substrate channeling and regulation. GATM activity is modulated by substrate availability and feedback inhibition from creatine levels. It interacts with mitochondrial transport proteins to coordinate substrate exchange across the inner membrane. A GATM antibody supports research applications including western blotting, immunohistochemistry, and metabolic flux analysis, providing insights into energy metabolism and mitochondrial health.

NSJ Bioreagents provides GATM antibody reagents validated for use in energy metabolism, mitochondrial biology, and enzymology research.

Application Notes

Optimal dilution of the GATM antibody should be determined by the researcher.

Immunogen

E.coli-derived human GATM recombinant protein (Position: M1-E279) was used as the immunogen for the GATM antibody.

Storage

After reconstitution, the GATM antibody can be stored for up to one month at 4oC. For long-term, aliquot and store at -20oC. Avoid repeated freezing and thawing.

Cross
Bulk Quote Request Form
Name*:
Organization*:
Email*:
Phone Number*:
Catalog No.*:
Comments and Specifics(amount, formulation, etc.)*:
Validation code: Captchapackage Image


Can't read the image? click here to refresh.
    *required field

Your bulk quote request has been submitted successfully!

Please contact us if you have any questions.