• Tel: 858.663.9055
  • SeparatorEmail: info@nsjbio.com
  • Tel: 858.663.9055
  • Email: info@nsjbio.com
Home >> Antibodies >> GATA-3 Antibody

GATA-3 Antibody [clone GATA3/7686R] (V4085)

  Catalog No Formulation Size Price (USD)  
Image V4085-100UG 0.2 mg/ml in 1X PBS with 0.1 mg/ml BSA (US sourced), 0.05% sodium azide 100 ug 559
Image
V4085-20UG 0.2 mg/ml in 1X PBS with 0.1 mg/ml BSA (US sourced), 0.05% sodium azide 20 ug 259
Image
V4085SAF-100UG 1 mg/ml in 1X PBS; BSA free, sodium azide free 100 ug 559
Microvalidated Recrabbitmono
Bulk quote request
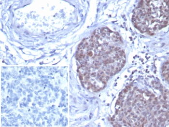
IHC staining of FFPE human ovarian cancer tissue with GATA-3 antibody (clone GATA3/7686R). Inset: PBS used in place of primary Ab (secondary Ab negative control). HIER: boil tissue sections in pH 9 10mM Tris with 1mM EDTA for 20 min and allow to cool before testing.
SDS-PAGE analysis of purified, BSA-free GATA-3 antibody (clone GATA3/7686R) as confirmation of integrity and purity.
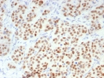
IHC staining of FFPE human breast carinoma tissue with GATA-3 antibody (clone GATA3/7686R). HIER: boil tissue sections in pH 9 10mM Tris with 1mM EDTA for 20 min and allow to cool before testing.
IHC staining of FFPE human bladder tissue with GATA-3 antibody (clone GATA3/7686R). HIER: boil tissue sections in pH 9 10mM Tris with 1mM EDTA for 20 min and allow to cool before testing.
Availability 1-3 business days
Species Reactivity Human
Format Purified
Host Rabbit
Clonality Recombinant Rabbit Monoclonal
Isotype Rabbit IgG, kappa
Clone Name GATA3/7686R
Purity Protein A/G affinity
UniProt P23771
Localization Nucleus
Applications Immunohistochemistry (FFPE) : 1-2ug/ml for 30 minutes at RT
Limitations This GATA-3 antibody is available for research use only.
Review this product on BioCompare and get a $20 Amazon gift card

Related Products

Description

GATA-3 (GATA binding protein 3) is a member of the GATA family of transcription factors. This 50kDa nuclear protein regulates the development and subsequent maintenance of a variety of human tissues, including hematopoietic cells, skin, kidney, mammary gland, and the central nervous system. Among several other roles, GATA-3 involved in luminal cell differentiation in the mammary gland and appears to control a set of genes involved in the differentiation and proliferation of breast cancer. The expression of GATA-3 is associated with the expression of estrogen receptor-alpha (ER) in breast cancer. GATA-3 has been shown to be a novel marker for bladder cancer. The study demonstrated that GATA-3 stained 67% of urothelial Carcinomas, but none of prostate or renal carcinomas.

Application Notes

Optimal dilution of the GATA-3 antibody should be determined by the researcher.

Immunogen

A recombinant partial protein (within amino acids 150-250) from the human protein was used as the immunogen for the GATA-3 antibody.

Storage

Aliquot the GATA-3 antibody and store frozen at -20oC or colder. Avoid repeated freeze-thaw cycles.

Cross
Bulk Quote Request Form
Name*:
Organization*:
Email*:
Phone Number*:
Catalog No.*:
Comments and Specifics(amount, formulation, etc.)*:
Validation code: Captchapackage Image


Can't read the image? click here to refresh.
    *required field

Your bulk quote request has been submitted successfully!

Please contact us if you have any questions.