• Tel: 858.663.9055
  • SeparatorEmail: info@nsjbio.com
  • Tel: 858.663.9055
  • Email: info@nsjbio.com
Home >> Antibodies >> Gasdermin E Antibody / GSDME / DFNA5

Gasdermin E Antibody / GSDME / DFNA5 (F55076)

  Catalog No Formulation Size Price (USD)  
Image F55076-0.2ML In 1X PBS, pH 7.4, with 0.09% sodium azide 0.2 ml 439
Image
F55076-0.05ML In 1X PBS, pH 7.4, with 0.09% sodium azide 0.05 ml 205
Bulk quote request
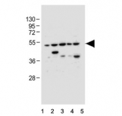
Western blot testing of human 1) HeLa, 2) U-251 MG, 3) U-87 MG, 4) U-2 OS and 5) MCF7 cell lysate with Gasdermin E antibody. Predicted molecular weight ~55 kDa.
Availability 1-2 business days
Species Reactivity Human
Format Purified
Host Rabbit
Clonality Polyclonal (rabbit origin)
Isotype Rabbit Ig
UniProt O60443
Applications Western Blot : 1:500-1:1000
Limitations This Gasdermin E antibody is available for research use only.
Review this product on BioCompare and get a $20 Amazon gift card

Description

Gasdermin E, also known as GSDME or DFNA5, is a protein that was originally identified as a member of the gasdermin family, which are known for their role in inflammation and cell death. While other members of this family have been extensively studied, Gasdermin E remained relatively unexplored until recently. One of the most exciting findings regarding Gasdermin E is its role in pyroptosis, a form of cell death that is triggered by inflammasomes. Pyroptosis is a vital part of the immune response, as it helps to eliminate infected or damaged cells. Gasdermin E has been shown to be crucial for the execution of pyroptosis, acting as a pore-forming protein that allows for the release of pro-inflammatory cytokines and other molecules from the cell. In addition to its role in cell death, Gasdermin E has also been implicated in a variety of other cellular processes, including cell proliferation, migration, and differentiation. Studies have shown that dysregulation of Gasdermin E can contribute to the development of various diseases, such as cancer, autoimmune disorders, and neurodegenerative conditions.

Application Notes

Titration of the Gasdermin E antibody may be required due to differences in protocols and secondary/substrate sensitivity.

Immunogen

A portion of amino acids 55-87 from the human protein was used as the immunogen for this Gasdermin E antibody.

Storage

Aliquot the Gasdermin E antibody and store frozen at -20oC or colder. Avoid repeated freeze-thaw cycles.

Cross
Bulk Quote Request Form
Name*:
Organization*:
Email*:
Phone Number*:
Catalog No.*:
Comments and Specifics(amount, formulation, etc.)*:
Validation code: Captchapackage Image


Can't read the image? click here to refresh.
    *required field

Your bulk quote request has been submitted successfully!

Please contact us if you have any questions.