• Tel: 858.663.9055
  • SeparatorEmail: info@nsjbio.com
  • Tel: 858.663.9055
  • Email: info@nsjbio.com
Home >> Antibodies >> Gasdermin D Antibody / GSDMD

Gasdermin D Antibody / GSDMD (RQ5887)

  Catalog No Formulation Size Price (USD)  
Image RQ5887 0.5mg/ml if reconstituted with 0.2ml sterile DI water 100 ug 449
Bulk quote request
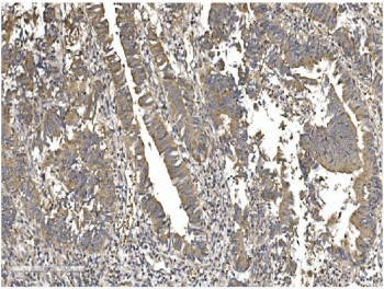
IHC staining of FFPE human rectal cancer with Gasdermin D antibody. HIER: boil tissue sections in pH8 EDTA for 20 min and allow to cool before testing.
Western blot testing of human 1) SW620 and 2) Jurkat lysate with Gasdermin D antibody. Predicted molecular weight ~53 kDa.
Flow cytometry testing of human U-87 MG cells with Gasdermin D antibody at 1ug/million cells (blocked with goat sera); Red=cells alone, Green=isotype control, Blue= Gasdermin D antibody.
Flow cytometry testing of human ThP-1 cells with Gasdermin D antibody at 1ug/million cells (blocked with goat sera); Red=cells alone, Green=isotype control, Blue= Gasdermin D antibody.
Availability 1-3 business days
Species Reactivity Human
Format Antigen affinity purified
Host Rabbit
Clonality Polyclonal (rabbit origin)
Isotype Rabbit IgG
Purity Affinity purified
Buffer Lyophilized from 1X PBS with 2% Trehalose and 0.025% sodium azide
UniProt P57764
Applications Western Blot : 0.5-1ug/ml
Immunohistochemistry : 1-2ug/ml
Flow Cytometry : 1-3ug/million cells
Direct ELISA : 0.1-0.5ug/ml
Limitations This Gasdermin D antibody is available for research use only.
Review this product on BioCompare and get a $20 Amazon gift card

Related Products

Description

Gasdermin D is a member of the gasdermin family. Members of this family appear to play a role in regulation of epithelial proliferation. Gasdermin D has been suggested to act as a tumor suppressor. Alternatively spliced transcript variants have been described.

Application Notes

Optimal dilution of the Gasdermin D antibody should be determined by the researcher.

Immunogen

Recombinant human protein (amino acids M1-H484) was used as the immunogen for the Gasdermin D antibody.

Storage

After reconstitution, the Gasdermin D antibody can be stored for up to one month at 4oC. For long-term, aliquot and store at -20oC. Avoid repeated freezing and thawing.

Cross
Bulk Quote Request Form
Name*:
Organization*:
Email*:
Phone Number*:
Catalog No.*:
Comments and Specifics(amount, formulation, etc.)*:
Validation code: Captchapackage Image


Can't read the image? click here to refresh.
    *required field

Your bulk quote request has been submitted successfully!

Please contact us if you have any questions.