• Tel: 858.663.9055
  • SeparatorEmail: info@nsjbio.com
  • Tel: 858.663.9055
  • Email: info@nsjbio.com
Home >> Antibodies >> GAREM1 Antibody / GRB2-associated and regulator of MAPK protein 1

GAREM1 Antibody / GRB2-associated and regulator of MAPK protein 1 (FY12491)

  Catalog No Formulation Size Price (USD)  
Image FY12491 Adding 0.2 ml of distilled water will yield a concentration of 500 ug/ml 100 ug 449
Bulk quote request
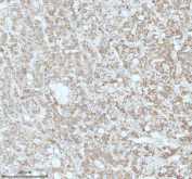
Immunohistochemical staining of GAREM1 using anti-GAREM1 antibody. GAREM1 was detected in a paraffin-embedded section of human liver cancer tissue. Heat mediated antigen retrieval was performed in EDTA buffer (pH 8.0, epitope retrieval solution). The tissue section was blocked with 10% goat serum. The tissue section was then incubated with 2 ug/ml rabbit anti-GAREM1 antibody overnight at 4oC. Peroxidase Conjugated Goat Anti-rabbit IgG was used as secondary antibody and incubated for 30 minutes at 37oC. The tissue section was developed using an HRP secondary and DAB substrate.
Immunohistochemical staining of GAREM1 using anti-GAREM1 antibody. GAREM1 was detected in a paraffin-embedded section of human liver cancer tissue. Heat mediated antigen retrieval was performed in EDTA buffer (pH 8.0, epitope retrieval solution). The tissue section was blocked with 10% goat serum. The tissue section was then incubated with 2 ug/ml rabbit anti-GAREM1 antibody overnight at 4oC. Peroxidase Conjugated Goat Anti-rabbit IgG was used as secondary antibody and incubated for 30 minutes at 37oC. The tissue section was developed using an HRP secondary and DAB substrate.
Western blot analysis of GAREM1 using anti-GAREM1 antibody. Lane 1: human SH-SY5Y whole cell lysates, Lane 2: human RT4 whole cell lysates, Lane 3: human Hacat whole cell lysates, Lane 4: human SIHA whole cell lysates. After electrophoresis, proteins were transferred to a nitrocellulose membrane at 150 mA for 50-90 minutes. Blocked the membrane with 5% non-fat milk/TBS for 1.5 hour at RT. The membrane was incubated with rabbit anti-GAREM1 antibody at 0.5 ug/ml overnight at 4oC, then washed with TBS-0.1%Tween 3 times with 5 minutes each and probed with a goat anti-rabbit IgG-HRP secondary antibody at a dilution of 1:5000 for 1.5 hour at RT. The signal was developed using enhanced chemiluminescent. GAREM1 (~96 kDa predicted) was detected as a major band at the expected size, with additional smaller bands (~55-80 kDa) consistent with proteolytic fragments or shorter isoforms reported in previous studies.
Flow Cytometry analysis of SH-SY5Y cells using anti-GAREM1 antibody. Overlay histogram showing SH-SY5Y cells stained with (Blue line). The cells were fixed with 4% paraformaldehyde and blocked with 10% normal goat serum. And then incubated with rabbit anti-GAREM1 antibody (1 ug/million cells) for 30 min at 20oC. DyLight 488 conjugated goat anti-rabbit IgG (5-10 ug/million cells) was used as secondary antibody for 30 minutes at 20oC. Isotype control antibody (Green line) was rabbit IgG (1 ug/million cells) used under the same conditions. Unlabelled sample (Red line) was also used as a control.
Availability 1-2 days
Species Reactivity Human
Format Lyophilized
Host Rabbit
Clonality Polyclonal (rabbit origin)
Isotype Rabbit IgG
Purity Immunogen affinity purified
Buffer Each vial contains 4 mg Trehalose, 0.9 mg NaCl, 0.2 mg Na2HPO4.
UniProt Q9H706
Localization Cytoplasmic, Nuclear
Applications Western Blot : 0.25-0.5ug/ml
Immunohistochemistry : 2-5ug/ml
Flow Cytometry : 1-3ug/million cells
ELISA : 0.1-0.5ug/ml
Limitations This GAREM1 antibody is available for research use only.
Review this product on BioCompare and get a $20 Amazon gift card

Description

GAREM1 antibody detects GRB2-associated regulator of MAPK1 subtype 1, an adaptor protein involved in growth factor receptor signaling, particularly within the epidermal growth factor receptor (EGFR) and fibroblast growth factor receptor (FGFR) pathways. GAREM1 acts as a downstream effector of receptor tyrosine kinases and plays a role in mitogen-activated protein kinase (MAPK) signaling, cellular proliferation, and differentiation. The GAREM1 antibody is used to investigate mechanisms of growth factor signaling, cell migration, and oncogenic transformation.

GAREM1 is encoded by the GAREM1 gene located on human chromosome 18p11.32. The protein is approximately 95 kilodaltons and contains multiple functional regions, including a pleckstrin homology (PH) domain, proline-rich motifs, and SH3-binding sequences that facilitate interaction with growth factor receptor-bound protein 2 (GRB2). Through these interactions, GAREM1 acts as a scaffolding adaptor that transmits extracellular growth factor signals to downstream MAPK/ERK cascades, modulating transcriptional responses and cytoskeletal reorganization.

The GAREM1 antibody detects a 90-100 kilodalton protein on western blot and reveals cytoplasmic and perinuclear localization by immunofluorescence. Activation of EGFR or FGFR promotes tyrosine phosphorylation of GAREM1, which enhances its association with signaling molecules such as SHP2, ERK1/2, and SOS1. Functionally, GAREM1 contributes to cell cycle progression and survival, and its overexpression has been observed in certain cancers, including hepatocellular carcinoma and glioblastoma. Depletion or inhibition of GAREM1 disrupts ERK activation, leading to reduced cell proliferation and migration.

GAREM1 also influences differentiation processes by regulating cytoskeletal dynamics and cell adhesion. In neurons, GAREM1 modulates neurite outgrowth and receptor clustering, linking receptor tyrosine kinase signaling to actin remodeling. It may further act as a regulatory hub integrating MAPK and PI3K signaling pathways. NSJ Bioreagents provides a validated GAREM1 antibody optimized for western blot, immunohistochemistry, and immunofluorescence, supporting studies of receptor signaling, cancer cell proliferation, and cellular differentiation.

Application Notes

Optimal dilution of the GAREM1 antibody should be determined by the researcher.

Immunogen

E.coli-derived human GAREM1 recombinant protein (Position: Q277-E753) was used as the immunogen for the GAREM1 antibody.

Storage

After reconstitution, the GAREM1 antibody can be stored for up to one month at 4oC. For long-term, aliquot and store at -20oC. Avoid repeated freezing and thawing.

Cross
Bulk Quote Request Form
Name*:
Organization*:
Email*:
Phone Number*:
Catalog No.*:
Comments and Specifics(amount, formulation, etc.)*:
Validation code: Captchapackage Image


Can't read the image? click here to refresh.
    *required field

Your bulk quote request has been submitted successfully!

Please contact us if you have any questions.