• Tel: 858.663.9055
  • SeparatorEmail: info@nsjbio.com
  • Tel: 858.663.9055
  • Email: info@nsjbio.com
Home >> Antibodies >> GAR1 Antibody / H/ACA ribonucleoprotein complex subunit 1 / NOLA1

GAR1 Antibody / H/ACA ribonucleoprotein complex subunit 1 / NOLA1 (RQ8911)

  Catalog No Formulation Size Price (USD)  
Image RQ8911 0.5mg/ml if reconstituted with 0.2ml sterile DI water 100 ug 449
Bulk quote request
Immunofluorescent staining of FFPE human MCF7 cells with GAR1 antibody (green) and DAPI nuclear stain (blue). HIER: steam section in pH6 citrate buffer for 20 min.
Western blot testing of human 1) A375, 2) K562, 3) HL60 and 4) MCF7 cell lysate with GAR1 antibody. Expected molecular weight ~25 kDa.
Immunoprecipitation of GAR1 protein from 500ug of human K562 whole cell lysate with 2ug of GAR1 antibody.
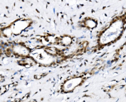
IHC staining of FFPE human glioma tissue with GAR1 antibody, HRP-secondary and DAB substrate. HIER: boil tissue sections in pH8 EDTA for 20 min and allow to cool before testing.
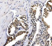
IHC staining of FFPE human breast cancer tissue with GAR1 antibody, HRP-secondary and DAB substrate. HIER: boil tissue sections in pH8 EDTA for 20 min and allow to cool before testing.
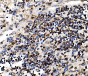
IHC staining of FFPE human lymphoma tissue with GAR1 antibody, HRP-secondary and DAB substrate. HIER: boil tissue sections in pH8 EDTA for 20 min and allow to cool before testing.
IHC staining of FFPE human prostate cancer tissue with GAR1 antibody, HRP-secondary and DAB substrate. HIER: boil tissue sections in pH8 EDTA for 20 min and allow to cool before testing.
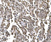
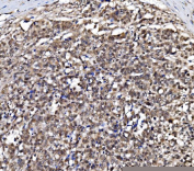
IHC staining of FFPE human pancreatic cancer tissue with GAR1 antibody, HRP-secondary and DAB substrate. HIER: boil tissue sections in pH8 EDTA for 20 min and allow to cool before testing.
IHC staining of FFPE human ovarian adenoma tissue with GAR1 antibody, HRP-secondary and DAB substrate. HIER: boil tissue sections in pH8 EDTA for 20 min and allow to cool before testing.
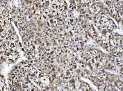
IHC staining of FFPE human liver cancer tissue with GAR1 antibody, HRP-secondary and DAB substrate. HIER: boil tissue sections in pH8 EDTA for 20 min and allow to cool before testing.
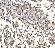
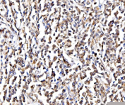
IHC staining of FFPE human gastric carcinoma tissue with GAR1 antibody, HRP-secondary and DAB substrate. HIER: boil tissue sections in pH8 EDTA for 20 min and allow to cool before testing.
Flow cytometry testing of fixed and permeabilized human K562 cells with GAR1 antibody at 1ug/million cells (blocked with goat sera); Red=cells alone, Green=isotype control, Blue= GAR1 antibody.
Availability 1-3 business days
Species Reactivity Human
Format Antigen affinity purified
Host Rabbit
Clonality Polyclonal (rabbit origin)
Isotype Rabbit IgG
Purity Antigen affinity purified
Buffer Lyophilized from 1X PBS with 2% Trehalose
UniProt Q9NY12
Localization Nucleolus
Applications Western Blot : 0.5-1ug/ml
Immunofluorescence : 5ug/ml
Flow Cytometry : 1-3ug/million cells
Immunoprecipitation : 2ug per 500ug of lysate
Immunohistochemistry (FFPE) : 2-5ug/ml
Limitations This GAR1 antibody is available for research use only.
Review this product on BioCompare and get a $20 Amazon gift card

Description

GAR1 (H/ACA ribonucleoprotein complex subunit 1) is a highly conserved nucleolar protein that functions as an essential component of the H/ACA small nucleolar ribonucleoprotein (snoRNP) complex. This complex guides site-specific pseudouridylation of ribosomal RNA, a critical modification for ribosome biogenesis and proper protein synthesis.

GAR1 interacts with other snoRNP core proteins, including DKC1, NOP10, and NHP2, to ensure stability and catalytic activity of the H/ACA complex. Beyond its role in rRNA processing, GAR1 has been implicated in telomerase function and the regulation of RNA stability. Disruption of GAR1 activity has been associated with ribosomopathies and defects in cellular proliferation.

Using a high-quality GAR1 antibody enables accurate detection in applications such as western blot, immunohistochemistry, and immunofluorescence. A GAR1 antibody from NSJ Bioreagents provides sensitivity and reproducibility for research in RNA modification, ribosome assembly, and nucleolar biology. Selecting the right GAR1 antibody is essential for generating reliable and consistent results.

Application Notes

Optimal dilution of the GAR1 antibody should be determined by the researcher.

Immunogen

Recombinant human protein (amino acids F58-K165) was used as the immunogen for the GAR1 antibody.

Storage

After reconstitution, the GAR1 antibody can be stored for up to one month at 4oC. For long-term, aliquot and store at -20oC. Avoid repeated freezing and thawing.

Cross
Bulk Quote Request Form
Name*:
Organization*:
Email*:
Phone Number*:
Catalog No.*:
Comments and Specifics(amount, formulation, etc.)*:
Validation code: Captchapackage Image


Can't read the image? click here to refresh.
    *required field

Your bulk quote request has been submitted successfully!

Please contact us if you have any questions.