• Tel: 858.663.9055
  • SeparatorEmail: info@nsjbio.com
  • Tel: 858.663.9055
  • Email: info@nsjbio.com
Home >> Antibodies >> GAPDH Antibody

GAPDH Antibody (F50850)

  Catalog No Formulation Size Price (USD)  
Image F50850-0.4ML In 1X PBS, pH 7.4, with 0.09% sodium azide 0.4 ml 439
Image
F50850-0.08ML In 1X PBS, pH 7.4, with 0.09% sodium azide 0.08 ml 205
Bulk quote request
Western blot analysis of lysate from HeLa, HUVEC cell line (left to right) using GAPDH antibody; Ab was diluted at 1:1000 for each lane. Predicted molecular weight ~36kDa.
Western blot analysis of GAPDH antibody and 1) A2058, 2) A375, and 3) CEM lysate. Predicted molecular weight ~36kDa.
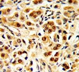
IHC analysis of FFPE human prostate carcinoma with GAPDH antibody
Flow cytometric analysis of HepG2 cells using GAPDH antibody (bottom histogram) compared to a negative control cell (top histogram). FITC-conjugated goat-anti-rabbit secondary Ab was used for the analysis.
Confocal immunofluorescent analysis of GAPDH antibody with HeLa cells followed by Alexa Fluor 488-conjugated goat anti-rabbit lgG (green). DAPI was used as a nuclear counterstain (blue).
Confocal immunofluorescent analysis of GAPDH antibody with HeLa cells followed by Alexa Fluor 488-conjugated goat anti-rabbit lgG (green). Actin filaments have been labeled with Alexa Fluor 555 Phalloidin (red). DAPI was used as a nuclear counterstain (blue).
Availability 1-3 business days
Species Reactivity Human
Predicted Reactivity Chicken, Mouse, Pig, Rat
Format Purified
Host Rabbit
Clonality Polyclonal (rabbit origin)
Isotype Rabbit Ig
Purity Purified
UniProt P04406
Applications Western Blot : 1:1000
IHC (Paraffin) : 1:50-1:100
Flow Cytometry : 1:10-1:50
Immunofluorescence : 1:10-1:50
Limitations This GAPDH antibody is available for research use only.
Review this product on BioCompare and get a $20 Amazon gift card

Related Products

  • Applications : WB, IP, ICC, IHC, ChIP
    Reactivity : All Species
    Recrabbitmono
  • Applications : WB, ICC, IHC, ChIP
    Reactivity : All Species
    Recrabbitmono
  • Applications : WB
    Reactivity : Human, Mouse, Rat
    Recrabbitmono
  • Applications : IHC-P, WB, IF
    Reactivity : Human, Mouse, Rat
    Recrabbitmono
  • Applications : IHC-P, IF/ICC, WB
    Reactivity : Human, Mouse, Rat
    Recrabbitmono
  • Applications : WB, IHC-P
    Reactivity : Human, Mouse, Rat, Primate, Dog
  • Applications : WB, IF, IHC, ELISA
    Reactivity : Human, Mouse, Rat
  • Applications : WB, FACS, IHC-P
    Reactivity : Human
  • Applications : WB, IHC-P, IF
    Reactivity : Human, Mouse, Rat
  • Applications : IF, WB, IHC, ELISA
    Reactivity : Human
  • Applications : WB, ELISA
    Reactivity : Human, Zebrafish
  • Applications : WB, IHC-P, IF/ICC, ELISA (peptide)
    Reactivity : Human, Mouse, Rat
    Pred. Reactivity : Dog
  • Applications : WB, IHC-P, ELISA (peptide)
    Reactivity : Human, Mouse, Rat
    Pred. Reactivity : Dog
  • Applications : WB, IHC-P
    Reactivity : Human, Mouse, Rat

Description

GAPDH catalyzes an important energy-yielding step in carbohydrate metabolism, the reversible oxidative phosphorylation of glyceraldehyde-3-phosphate in the presence of inorganic phosphate and nicotinamide adenine dinucleotide (NAD). The enzyme exists as a tetramer of identical chains.

Application Notes

Titration of the GAPDH antibody may be required due to differences in protocols and secondary/substrate sensitivity.

Immunogen

A portion of amino acids 233-259 from the human protein was used as the immunogen for this GAPDH antibody.

Storage

Aliquot the GAPDH antibody and store frozen at -20oC or colder. Avoid repeated freeze-thaw cycles.

Cross
Bulk Quote Request Form
Name*:
Organization*:
Email*:
Phone Number*:
Catalog No.*:
Comments and Specifics(amount, formulation, etc.)*:
Validation code: Captchapackage Image


Can't read the image? click here to refresh.
    *required field

Your bulk quote request has been submitted successfully!

Please contact us if you have any questions.