• Tel: 858.663.9055
  • SeparatorEmail: info@nsjbio.com
  • Tel: 858.663.9055
  • Email: info@nsjbio.com
Home >> Antibodies >> GAPDH Antibody

GAPDH Antibody [clone BH-7] (RQ5052)

  Catalog No Formulation Size Price (USD)  
Image RQ5052 Antibody in PBS with 0.02% sodium azide, 50% glycerol and 0.4-0.5mg/ml BSA 100 ul 449
Microvalidated Recrabbitmono
Bulk quote request
Western blot testing of 1) human HeLa, 2) human Jurkat, 3) mouse kidney, 4) mouse spleen, 5) mouse RAW264 and 6) rat brain lysate with GAPDH antibody. Predicted molecular weight ~36 kDa.
IF/ICC staining of human HeLa cells with GAPDH antibody (green) and DAPI nuclear stain (blue).
IHC staining of FFPE human uterus with GAPDH antibody. HIER: boil tissue sections in pH6, 10mM citrate buffer, for 10-20 min and allow to cool before testing.
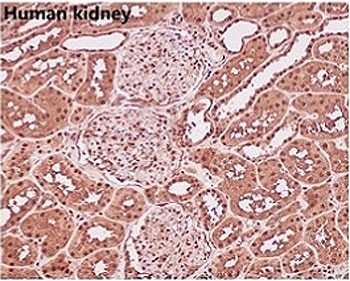
IHC staining of FFPE human kidney with GAPDH antibody. HIER: boil tissue sections in pH6, 10mM citrate buffer, for 10-20 min and allow to cool before testing.
IHC staining of FFPE mouse testis with GAPDH antibody. HIER: boil tissue sections in pH6, 10mM citrate buffer, for 10-20 min and allow to cool before testing.
IHC staining of FFPE rat colon with GAPDH antibody. HIER: boil tissue sections in pH6, 10mM citrate buffer, for 10-20 min and allow to cool before testing.
Availability 1-2 weeks
Species Reactivity Human, Mouse, Rat
Format Purified
Host Rabbit
Clonality Recombinant Rabbit Monoclonal
Isotype Rabbit IgG
Clone Name BH-7
Purity Affinity purified
UniProt P04406
Applications Western Blot : 1:3000-1:10000
Immunohistochemistry (FFPE) : 1:100-1:500
Immunofluorescence/Immunocytochemistry : 1:100-1:250
Limitations This GAPDH antibody is available for research use only.
Review this product on BioCompare and get a $20 Amazon gift card

Related Products

  • Applications : WB, IP, ICC, IHC, ChIP
    Reactivity : All Species
    Recrabbitmono
  • Applications : WB, ICC, IHC, ChIP
    Reactivity : All Species
    Recrabbitmono
  • Applications : WB
    Reactivity : Human, Mouse, Rat
    Recrabbitmono
  • Applications : IHC-P, WB, IF
    Reactivity : Human, Mouse, Rat
    Recrabbitmono
  • Applications : WB, IHC-P
    Reactivity : Human, Mouse, Rat, Primate, Dog
  • Applications : WB, IF, IHC, ELISA
    Reactivity : Human, Mouse, Rat
  • Applications : WB, FACS, IHC-P
    Reactivity : Human
  • Applications : WB, IHC-P, IF
    Reactivity : Human, Mouse, Rat
  • Applications : IF, WB, IHC, ELISA
    Reactivity : Human
  • Applications : WB, IHC, FACS, IF, ELISA
    Reactivity : Human
    Pred. Reactivity : Chicken, Mouse, Pig, Rat
  • Applications : WB, ELISA
    Reactivity : Human, Zebrafish
  • Applications : WB, IHC-P, IF/ICC, ELISA (peptide)
    Reactivity : Human, Mouse, Rat
    Pred. Reactivity : Dog
  • Applications : WB, IHC-P, ELISA (peptide)
    Reactivity : Human, Mouse, Rat
    Pred. Reactivity : Dog
  • Applications : WB, IHC-P
    Reactivity : Human, Mouse, Rat

Description

GAPDH antibody is a fundamental reagent for experimental controls in molecular biology and protein quantification. Glyceraldehyde 3 phosphate dehydrogenase (GAPDH) is expressed consistently across tissues and conditions, making it a gold standard housekeeping protein. Its abundance and stability make GAPDH ideal for normalizing protein levels in western blotting, immunohistochemistry, and quantitative assays.

Researchers routinely use GAPDH antibody as a reference to confirm equal loading in gels and blots. By comparing the signal of target proteins to GAPDH, variations due to experimental handling or sample preparation can be minimized. This ensures accurate interpretation of experimental outcomes and reproducibility of data.

Although commonly regarded as a metabolic enzyme, GAPDH participates in many non glycolytic processes. It regulates transcription, vesicle trafficking, and apoptosis, meaning its expression can vary under certain stress conditions. Antibody based detection allows researchers to monitor GAPDH under different stimuli, ensuring that it is appropriately used as a control.

At the structural level, GAPDH forms a stable tetramer with conserved enzymatic domains. Its evolutionary conservation allows GAPDH antibody detection across human, mouse, and other model organisms. This broad applicability further enhances its value as a control protein in experimental biology.

The GAPDH antibody is used in immunohistochemistry, immunofluorescence, ELISA, and western blotting for normalization and protein detection. For researchers across molecular and cellular biology, the GAPDH antibody is an indispensable reagent. NSJ Bioreagents provides validated antibodies that deliver reproducibility and precision in experimental systems.

Application Notes

Optimal dilution of the GAPDH antibody should be determined by the researcher.

Immunogen

A synthetic peptide specific to human GAPDH was used as the immunogen for the GAPDH antibody.

Storage

Store the GAPDH antibody at -20oC.

Cross
Bulk Quote Request Form
Name*:
Organization*:
Email*:
Phone Number*:
Catalog No.*:
Comments and Specifics(amount, formulation, etc.)*:
Validation code: Captchapackage Image


Can't read the image? click here to refresh.
    *required field

Your bulk quote request has been submitted successfully!

Please contact us if you have any questions.