• Tel: 858.663.9055
  • SeparatorEmail: info@nsjbio.com
  • Tel: 858.663.9055
  • Email: info@nsjbio.com
Home >> Antibodies >> GAPDH Antibody

GAPDH Antibody [clone BG-7] (RQ5051)

  Catalog No Formulation Size Price (USD)  
Image RQ5051 Antibody in PBS with 0.02% sodium azide, 50% glycerol and 0.4-0.5mg/ml BSA 100 ul 449
Microvalidated Recrabbitmono
Bulk quote request
Western blot testing of 1) rat liver, 2) rat brain, 3) rat RH35, 4) mouse liver, 5) mouse brain and 6) mouse NIH 3T3 cell lysate with GAPDH antibody. Predicted molecular weight ~36 kDa.
Western blot testing of 1) human HeLa, 2) human K562, 3) human MCF7, 4) human A549, 5) human PC-3 and 6) monkey COS7 cell lysate with GAPDH antibody. Predicted molecular weight ~36 kDa.
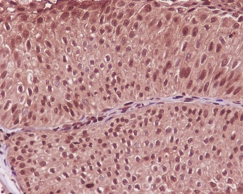
IHC staining of FFPE human bladder cancer with GAPDH antibody. HIER: boil tissue sections in pH6, 10mM citrate buffer, for 10-20 min and allow to cool before testing.
Immunofluorescent staining of human HeLa cells with GAPDH antibody (green) and DAPI nuclear stain (blue).
Immunofluorescent staining of human HeLa cells with GAPDH antibody (green) and DAPI nuclear stain (blue).
Availability 1-2 weeks
Species Reactivity Human, Mouse, Rat
Format Purified
Host Rabbit
Clonality Recombinant Rabbit Monoclonal
Isotype Rabbit IgG
Clone Name BG-7
Purity Affinity purified
UniProt P04406
Localization Nuclear, cytoplasmic
Applications Western Blot : 1:3000-1:10000
Immunohistochemistry (FFPE) : 1:100-1:250
Immunofluorescence : 1:100-1:250
Limitations This GAPDH antibody is available for research use only.
Review this product on BioCompare and get a $20 Amazon gift card

Related Products

  • Applications : WB, IP, ICC, IHC, ChIP
    Reactivity : All Species
    Recrabbitmono
  • Applications : WB, ICC, IHC, ChIP
    Reactivity : All Species
    Recrabbitmono
  • Applications : WB
    Reactivity : Human, Mouse, Rat
    Recrabbitmono
  • Applications : IHC-P, IF/ICC, WB
    Reactivity : Human, Mouse, Rat
    Recrabbitmono
  • Applications : WB, IHC-P
    Reactivity : Human, Mouse, Rat, Primate, Dog
  • Applications : WB, IF, IHC, ELISA
    Reactivity : Human, Mouse, Rat
  • Applications : WB, FACS, IHC-P
    Reactivity : Human
  • Applications : WB, IHC-P, IF
    Reactivity : Human, Mouse, Rat
  • Applications : IF, WB, IHC, ELISA
    Reactivity : Human
  • Applications : WB, IHC, FACS, IF, ELISA
    Reactivity : Human
    Pred. Reactivity : Chicken, Mouse, Pig, Rat
  • Applications : WB, ELISA
    Reactivity : Human, Zebrafish
  • Applications : WB, IHC-P, IF/ICC, ELISA (peptide)
    Reactivity : Human, Mouse, Rat
    Pred. Reactivity : Dog
  • Applications : WB, IHC-P, ELISA (peptide)
    Reactivity : Human, Mouse, Rat
    Pred. Reactivity : Dog
  • Applications : WB, IHC-P
    Reactivity : Human, Mouse, Rat

Description

GAPDH antibody is a widely used reagent for research in cell biology, protein expression studies, and molecular assays. The encoded protein, glyceraldehyde 3 phosphate dehydrogenase (GAPDH), is a glycolytic enzyme that catalyzes the conversion of glyceraldehyde 3 phosphate to 1,3 bisphosphoglycerate. Because of its ubiquitous expression and stable abundance, GAPDH is frequently used as a housekeeping protein and loading control in western blotting and quantitative PCR studies.

GAPDH is expressed in virtually all tissues, reflecting its essential role in energy metabolism. Its steady expression across experimental conditions makes it an ideal reference protein for normalization. Detection with GAPDH antibody ensures accurate interpretation of protein loading and experimental outcomes. For this reason, GAPDH is one of the most cited internal controls in biomedical research.

Beyond glycolysis, GAPDH participates in multiple cellular processes. It is involved in DNA repair, nuclear transport, membrane fusion, and apoptosis. GAPDH translocation to the nucleus has been observed during oxidative stress, where it influences gene expression and cell survival. These non glycolytic functions highlight GAPDH as more than just a metabolic enzyme.

At the structural level, GAPDH is a tetrameric protein with conserved catalytic cysteine residues critical for enzymatic activity. Its high degree of evolutionary conservation across species makes GAPDH antibody applicable in a wide range of models, from bacteria to mammals. This versatility further reinforces its value as a reference protein in experimental biology.

The GAPDH antibody is widely applied in western blotting, immunohistochemistry, immunofluorescence, and ELISA. These applications support detection across tissues, cell lines, and experimental systems. For researchers seeking reliable normalization controls or exploring glycolysis and multifunctional protein roles, the GAPDH antibody is indispensable. NSJ Bioreagents supplies validated antibodies that ensure reproducibility and accuracy in molecular studies.

Application Notes

Optimal dilution of the GAPDH antibody should be determined by the researcher.

Immunogen

A synthetic peptide specific to human GAPDH was used as the immunogen for the GAPDH antibody.

Storage

Store the GAPDH antibody at -20oC.

Cross
Bulk Quote Request Form
Name*:
Organization*:
Email*:
Phone Number*:
Catalog No.*:
Comments and Specifics(amount, formulation, etc.)*:
Validation code: Captchapackage Image


Can't read the image? click here to refresh.
    *required field

Your bulk quote request has been submitted successfully!

Please contact us if you have any questions.