• Tel: 858.663.9055
  • SeparatorEmail: info@nsjbio.com
  • Tel: 858.663.9055
  • Email: info@nsjbio.com
Home >> Antibodies >> GAPDH Antibody

GAPDH Antibody [clone 1A10A10] (F40186)

  Catalog No Formulation Size Price (USD)  
Image F40186-0.4ML In 1X PBS, pH 7.4, with 0.09% sodium azide 0.4 ml 439
Image
F40186-0.08ML In 1X PBS, pH 7.4, with 0.09% sodium azide 0.08 ml 205
Bulk quote request
GAPDH antibody WB at 1:1000 dilution. Lane 1: A431 lysate; 2: rat C6; 3: HeLa; 4: HUVEC; Predicted band size : 36 kDa.
Western blot testing of GAPDH antibody at 1:8000 dilution. Lane 1: HeLa lysate; 2: A549; 3: COS-7; 4: mouse brain; 5: rat C6; 6: NIH3T3; Predicted band size : 36 kDa.
Fluorescent image of HeLa cells stained with XAF1 GAPDH antibody. Ab was diluted at 1:25 dilution; Alexa Fluor 488-conjugated secondary Ab (green); Cytoplasmic actin was counterstained with Alexa Fluor 555 conjugated with Phalloidin (red).
Immunohistochemical analysis of paraffin-embedded humankidney section using GAPDH antibody. Ab was diluted at 1:25 dilution.
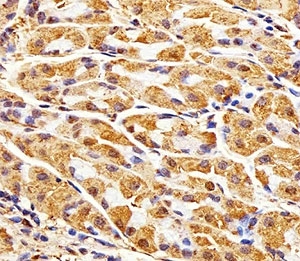
Immunohistochemical analysis of paraffin-embedded human stomach section using GAPDH antibody
Western blot analysis of anti-GAPDH antibody and CEM lysate
Availability 1-3 business days
Species Reactivity Human, Mouse, Rat
Format Purified
Host Mouse
Clonality Monoclonal (mouse origin)
Isotype Mouse IgG1
Clone Name 1A10A10
Purity Purified
UniProt P04406
Applications Western Blot : 1:1000-8000
Immunofluorescence : 1:25
IHC (Paraffin) : 1:25
Limitations This GAPDH antibody is available for research use only.
Review this product on BioCompare and get a $20 Amazon gift card

Related Products

  • Applications : WB, IP, ICC, IHC, ChIP
    Reactivity : All Species
    Recrabbitmono
  • Applications : WB, ICC, IHC, ChIP
    Reactivity : All Species
    Recrabbitmono
  • Applications : WB
    Reactivity : Human, Mouse, Rat
    Recrabbitmono
  • Applications : IHC-P, WB, IF
    Reactivity : Human, Mouse, Rat
    Recrabbitmono
  • Applications : IHC-P, IF/ICC, WB
    Reactivity : Human, Mouse, Rat
    Recrabbitmono
  • Applications : WB, IHC-P
    Reactivity : Human, Mouse, Rat, Primate, Dog
  • Applications : WB, FACS, IHC-P
    Reactivity : Human
  • Applications : WB, IHC-P, IF
    Reactivity : Human, Mouse, Rat
  • Applications : IF, WB, IHC, ELISA
    Reactivity : Human
  • Applications : WB, IHC, FACS, IF, ELISA
    Reactivity : Human
    Pred. Reactivity : Chicken, Mouse, Pig, Rat
  • Applications : WB, ELISA
    Reactivity : Human, Zebrafish
  • Applications : WB, IHC-P, IF/ICC, ELISA (peptide)
    Reactivity : Human, Mouse, Rat
    Pred. Reactivity : Dog
  • Applications : WB, IHC-P, ELISA (peptide)
    Reactivity : Human, Mouse, Rat
    Pred. Reactivity : Dog
  • Applications : WB, IHC-P
    Reactivity : Human, Mouse, Rat

Description

The product of this gene catalyzes an important energy-yielding step in carbohydrate metabolism, the reversible oxidative phosphorylation of glyceraldehyde-3-phosphate in the presence of inorganic phosphate and nicotinamide adenine dinucleotide (NAD). The enzyme exists as a tetramer of identical chains. Many pseudogenes similar to this locus are present in the human genome.

Application Notes

Titration of the GAPDH antibody may be required due to differences in protocols and secondary/substrate sensitivity.

Immunogen

recombinant protein was used to produce this monoclonal GAPDH antibody.

Storage

Aliquot the GAPDH antibody and store frozen at -20oC or colder. Avoid repeated freeze-thaw cycles.

Cross
Bulk Quote Request Form
Name*:
Organization*:
Email*:
Phone Number*:
Catalog No.*:
Comments and Specifics(amount, formulation, etc.)*:
Validation code: Captchapackage Image


Can't read the image? click here to refresh.
    *required field

Your bulk quote request has been submitted successfully!

Please contact us if you have any questions.