• Tel: 858.663.9055
  • SeparatorEmail: info@nsjbio.com
  • Tel: 858.663.9055
  • Email: info@nsjbio.com
Home >> Antibodies >> GAPDH Antibody

GAPDH Antibody [clone 1653CT401.3.33] (F54491)

  Catalog No Formulation Size Price (USD)  
Image F54491-0.2ML In 1X PBS, pH 7.4, with 0.09% sodium azide 0.2 ml 439
Image
F54491-0.05ML In 1X PBS, pH 7.4, with 0.09% sodium azide 0.05 ml 205
Bulk quote request
Western blot testing of 1) human HeLa, 2) human Jurkat, 3) human A549, 4) rat C6, 5) mouse NIH 3T3 and 6) mouse brain lysate with GAPDH antibody. Predicted molecular weight ~36 kDa.
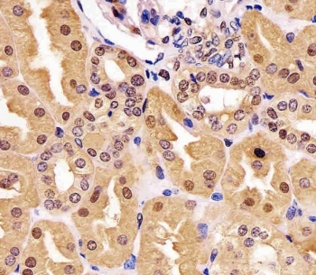
IHC testing of FFPE human kidney tissue with GAPDH antibody. HIER: steam section in pH6 citrate buffer for 20 min and allow to cool prior to staining.
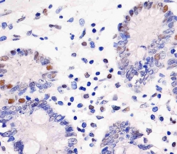
IHC testing of FFPE human colon tissue with GAPDH antibody. HIER: steam section in pH6 citrate buffer for 20 min and allow to cool prior to staining.
Immunofluorescent staining of fixed and permeabilized human HeLa cells with GAPDH antibody (green) and DAPI nuclear stain (blue).
Availability 1-3 business days
Species Reactivity Human, Mouse, Rat
Format Purified
Host Mouse
Clonality Monoclonal (mouse origin)
Isotype IgG1, kappa
Clone Name 1653CT401.3.33
Purity Protein G affinity
UniProt P04406
Localization Cytoplasmic, nuclear
Applications Western Blot : 1:500-1:2000
Immunohistochemistry (FFPE) : 1:25
Immunofluorescence : 1:25
Limitations This GAPDH antibody is available for research use only.
Review this product on BioCompare and get a $20 Amazon gift card

Related Products

  • Applications : WB, IP, ICC, IHC, ChIP
    Reactivity : All Species
    Recrabbitmono
  • Applications : WB, ICC, IHC, ChIP
    Reactivity : All Species
    Recrabbitmono
  • Applications : WB
    Reactivity : Human, Mouse, Rat
    Recrabbitmono
  • Applications : IHC-P, WB, IF
    Reactivity : Human, Mouse, Rat
    Recrabbitmono
  • Applications : IHC-P, IF/ICC, WB
    Reactivity : Human, Mouse, Rat
    Recrabbitmono
  • Applications : WB, IHC-P
    Reactivity : Human, Mouse, Rat, Primate, Dog
  • Applications : WB, IF, IHC, ELISA
    Reactivity : Human, Mouse, Rat
  • Applications : WB, FACS, IHC-P
    Reactivity : Human
  • Applications : IF, WB, IHC, ELISA
    Reactivity : Human
  • Applications : WB, IHC, FACS, IF, ELISA
    Reactivity : Human
    Pred. Reactivity : Chicken, Mouse, Pig, Rat
  • Applications : WB, ELISA
    Reactivity : Human, Zebrafish
  • Applications : WB, IHC-P, IF/ICC, ELISA (peptide)
    Reactivity : Human, Mouse, Rat
    Pred. Reactivity : Dog
  • Applications : WB, IHC-P, ELISA (peptide)
    Reactivity : Human, Mouse, Rat
    Pred. Reactivity : Dog
  • Applications : WB, IHC-P
    Reactivity : Human, Mouse, Rat

Description

GAPDH antibody is an essential tool for comparative biology, molecular evolution, and cross species protein analysis. The encoded protein, glyceraldehyde 3 phosphate dehydrogenase (GAPDH), is one of the most highly conserved enzymes in biology. It catalyzes a key step in glycolysis, converting glyceraldehyde 3 phosphate to 1,3 bisphosphoglycerate while generating NADH. Its evolutionary conservation across bacteria, plants, yeast, and mammals highlights its fundamental role in energy metabolism.

Because of its high conservation, GAPDH antibody can detect the protein across diverse organisms. This makes it useful for cross species experiments, including model organisms such as yeast, zebrafish, mouse, and human. GAPDH’s universal expression allows it to serve as a reference protein in evolutionary studies and as a housekeeping protein in basic research.

Beyond its metabolic role, GAPDH exhibits non glycolytic functions that are also conserved. These include roles in transcriptional regulation, apoptosis, vesicle transport, and DNA repair. Such multifunctionality demonstrates that GAPDH has adapted diverse cellular roles while maintaining its core enzymatic function throughout evolution.

Structurally, GAPDH is a tetrameric enzyme with conserved catalytic and NAD binding domains. Antibody based detection ensures reliable measurement of GAPDH in comparative systems where genetic homology may vary but protein structure is preserved. This makes GAPDH antibody a versatile reagent for studying protein evolution and conservation.

The GAPDH antibody is commonly used in western blotting, immunohistochemistry, immunofluorescence, and ELISA across different organisms. These applications support research in metabolism, molecular evolution, and comparative biology. For scientists studying conserved metabolic pathways or performing cross species normalization, the GAPDH antibody is a reliable and specific reagent. NSJ Bioreagents offers validated antibodies that ensure reproducibility and accuracy across diverse systems.

Application Notes

The stated application concentrations are suggested starting points. Titration of the GAPDH antibody may be required due to differences in protocols and secondary/substrate sensitivity.

Immunogen

Recombinant human protein was used as the immunogen for the GAPDH antibody.

Storage

Aliquot the GAPDH antibody and store frozen at -20oC or colder. Avoid repeated freeze-thaw cycles.

Cross
Bulk Quote Request Form
Name*:
Organization*:
Email*:
Phone Number*:
Catalog No.*:
Comments and Specifics(amount, formulation, etc.)*:
Validation code: Captchapackage Image


Can't read the image? click here to refresh.
    *required field

Your bulk quote request has been submitted successfully!

Please contact us if you have any questions.