• Tel: 858.663.9055
  • SeparatorEmail: info@nsjbio.com
  • Tel: 858.663.9055
  • Email: info@nsjbio.com
Home >> Antibodies >> GAP43 Antibody

GAP43 Antibody (R30214)

  Catalog No Formulation Size Price (USD)  
Image R30214 0.5mg/ml if reconstituted with 0.2ml sterile DI water 100 ug 439
Bulk quote request
Western blot testing of GAP43 antibody and Lane 1: U87; 2: rat brain; 3: mouse brain; Predicted/observed molecular weight: ~43kDa.
IHC-P: GAP43 antibody testing of rat brain tissue. HIER: steamed with pH6 citrate buffer.
IHC-P: GAP43 antibody testing of human glioma tissue. HIER: steamed with pH6 citrate buffer.
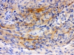
IHC-P: GAP43 antibody testing of human Menginges tumor tissue. HIER: steamed with pH6 citrate buffer.
Availability 1-3 business days
Species Reactivity Human, Mouse, Rat
Format Antigen affinity purified
Clonality Polyclonal (rabbit origin)
Isotype Rabbit IgG
Purity Antigen affinity
Buffer Lyophilized from 1X PBS with 2.5% BSA and 0.025% sodium azide/thimerosal
UniProt P17677
Applications Western Blot : 0.5-1ug/ml
IHC (FFPE) : 0.5-1ug/ml
Limitations This GAP43 antibody is available for research use only.
Review this product on BioCompare and get a $20 Amazon gift card

Related Products

  • Applications : WB, IHC-P, IHC-F
    Reactivity : Human, Mouse, Rat
  • Applications : WB, IHC-P, FACS, Direct ELISA
    Reactivity : Human, Mouse, Rat
  • Applications : WB, FACS, IHC-P, IF
    Reactivity : Human, Mouse, Rat
  • Applications : WB, IHC-P
    Reactivity : Zebrafish

Description

Growth Associated Protein-43 (GAP-43), also known as nerve growth-related growth peptide GAP43, shares a high degree of homology between the sequence of the human gene and the rat gene. GAP-43 is considered a crucial component of an effective regenerative response in the nervous system. Somatic cell hybrids demonstrate localization of the GAP-43 gene to human chromosome 3 and to mouse chromosome 16. GAP-43 has been termed a growth or plasticity protein because it is expressed at high levels in neuronal growth cones during development and during axonal regeneration. GAP-43 regulates growth of axons and modulates the formation of new connections.

Application Notes

The stated application concentrations are suggested starting amounts. Titration of the GAP43 antibody may be required due to differences in protocols and secondary/substrate sensitivity.

Immunogen

Amino acids KPKESARQDEGKEEEPEADQEHA were used as the immunogen for this GAP43 antibody.

Storage

After reconstitution, the GAP43 antibody can be stored for up to one month at 4oC. For long-term, aliquot and store at -20oC. Avoid repeated freezing and thawing.

Cross
Bulk Quote Request Form
Name*:
Organization*:
Email*:
Phone Number*:
Catalog No.*:
Comments and Specifics(amount, formulation, etc.)*:
Validation code: Captchapackage Image


Can't read the image? click here to refresh.
    *required field

Your bulk quote request has been submitted successfully!

Please contact us if you have any questions.