• Tel: 858.663.9055
  • SeparatorEmail: info@nsjbio.com
  • Tel: 858.663.9055
  • Email: info@nsjbio.com
Home >> Antibodies >> GANAB Antibody / Neutral alpha-glucosidase AB

GANAB Antibody / Neutral alpha-glucosidase AB (FY12095)

  Catalog No Formulation Size Price (USD)  
Image FY12095 Adding 0.2 ml of distilled water will yield a concentration of 500 ug/ml 100 ug 449
Bulk quote request
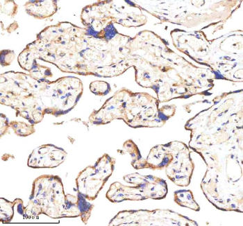
IHC analysis of GANAB using anti-GANAB antibody. GANAB was detected in a paraffin-embedded section of human placenta tissue. Heat mediated antigen retrieval was performed in EDTA buffer (pH 8.0, epitope retrieval solution). The tissue section was blocked with 10% goat serum. The tissue section was then incubated with 2 ug/ml rabbit anti-GANAB antibody overnight at 4oC. Peroxidase Conjugated Goat Anti-rabbit IgG was used as secondary antibody and incubated for 30 minutes at 37oC. The tissue section was developed using an HRP secondary and DAB substrate.
Western blot analysis of GANAB using anti-GANAB antibody. Lane 1: human placenta tissue lysates, Lane 2: human THP-1 whole cell lysates, Lane 3: human Hela whole cell lysates, Lane 4: human whole cell lysates, Lane 5: rat brain tissue lysates, Lane 6: rat kidney tissue lysates, Lane 7: mouse brain tissue lysates, Lane 8: mouse kidney tissue lysates. After electrophoresis, proteins were transferred to a nitrocellulose membrane at 150 mA for 50-90 minutes. Blocked the membrane with 5% non-fat milk/TBS for 1.5 hour at RT. The membrane was incubated with rabbit anti-GANAB antibody at 0.25 ug/ml overnight at 4oC, then washed with TBS-0.1%Tween 3 times with 5 minutes each and probed with a goat anti-rabbit IgG-HRP secondary antibody at a dilution of 1:5000 for 1.5 hour at RT. The signal was developed using enhanced chemiluminescent. The expected band size for GANAB is at 107 kDa.
Immunofluorescent staining of GANAB using anti-GANAB antibody (green). GANAB was detected in an immunocytochemical section of HELA cells. Enzyme antigen retrieval was performed using IHC enzyme antigen retrieval reagent for 15 mins. The cells were blocked with 10% goat serum. And then incubated with 5 ug/ml rabbit anti-GANAB antibody overnight at 4oC. DyLight 488 Conjugated Goat Anti-Rabbit IgG was used as secondary antibody at 1:500 dilution and incubated for 30 minutes at 37oC. The section was counterstained with DAPI (blue). Visualize using a fluorescence microscope and filter sets appropriate for the label used.
Immunofluorescent staining of GANAB using anti-GANAB antibody (green). GANAB was detected in a paraffin-embedded section of human placenta tissue. Heat mediated antigen retrieval was performed in EDTA buffer (pH 8.0, epitope retrieval solution). The tissue section was blocked with 10% goat serum. The tissue section was then incubated with 5 ug/ml rabbit anti-GANAB antibody overnight at 4oC. DyLight 488 Conjugated Goat Anti-Rabbit IgG was used as secondary antibody at 1:500 dilution and incubated for 30 minutes at 37oC. The section was counterstained with DAPI (blue). Visualize using a fluorescence microscope and filter sets appropriate for the label used.
Flow Cytometry analysis of SH-SY5Y cells using anti-GANAB antibody. Overlay histogram showing SH-SY5Y cells stained with (Blue line). To facilitate intracellular staining, cells were fixed with 4% paraformaldehyde and permeabilized with permeabilization buffer. The cells were blocked with 10% normal goat serum. And then incubated with rabbit anti-GANAB antibody (1 ug/million cells) for 30 min at 20oC. DyLight 488 conjugated goat anti-rabbit IgG (5-10 ug/million cells) was used as secondary antibody for 30 minutes at 20oC. Isotype control antibody (Green line) was rabbit IgG (1 ug/million cells) used under the same conditions. Unlabelled sample without incubation with primary antibody and secondary antibody (Red line) was used as a blank control.
Availability 1-2 days
Species Reactivity Human, Mouse, Rat
Format Lyophilized
Host Rabbit
Clonality Polyclonal (rabbit origin)
Isotype Rabbit IgG
Purity Immunogen affinity purified
Buffer Each vial contains 4 mg Trehalose, 0.9 mg NaCl, 0.2 mg Na2HPO4.
UniProt Q14697
Applications ELISA : 0.1-0.5ug/ml
Flow Cytometry : 1-3ug/million cells
Immunofluorescence : 5ug/ml
Immunohistochemistry : 2-5ug/ml
Immunocytochemistry : 5ug/ml
Western Blot : 0.25-0.5ug/ml
Limitations This GANAB antibody is available for research use only.
Review this product on BioCompare and get a $20 Amazon gift card

Description

GANAB antibody detects Neutral alpha-glucosidase AB, encoded by the GANAB gene. Neutral alpha-glucosidase AB is a catalytic subunit of the glucosidase II complex located in the endoplasmic reticulum. GANAB antibody provides researchers with a key reagent for studying N-linked glycoprotein processing, protein folding quality control, and disease pathogenesis related to glycosylation.

Neutral alpha-glucosidase AB catalyzes the sequential trimming of glucose residues from the N-linked glycan precursor Glc3Man9GlcNAc2 attached to newly synthesized glycoproteins. Research using GANAB antibody has shown that this activity is critical for proper folding of nascent glycoproteins and for quality control checkpoints that monitor protein maturation in the endoplasmic reticulum. Without glucosidase II activity, glycoproteins fail to fold correctly and are targeted for degradation.

Studies with GANAB antibody have revealed that mutations in GANAB cause autosomal dominant polycystic liver disease and polycystic kidney disease. These disorders result from disrupted glycoprotein maturation, impairing the function of proteins such as polycystin-1 and polycystin-2. The clinical connection between GANAB and polycystic disease emphasizes the physiological importance of glycan processing.

Dysregulation of Neutral alpha-glucosidase AB has also been linked to cancer and metabolic disease. Research using GANAB antibody has shown that altered glycosylation patterns in tumors are associated with progression, immune evasion, and metastasis. Because GANAB regulates a key early step in N-glycan processing, its activity influences global glycoprotein structure and function, making it a central regulator of cell biology.

GANAB antibody is widely applied in western blotting, immunohistochemistry, and enzymatic activity assays. Western blotting quantifies protein expression in cells and tissues, immunohistochemistry demonstrates localization within the endoplasmic reticulum, and activity assays confirm catalytic function in glycan trimming. These applications make GANAB antibody indispensable for glycobiology research.

By providing validated GANAB antibody reagents, NSJ Bioreagents supports studies into protein quality control, glycosylation, and disease. Detection of Neutral alpha-glucosidase AB provides researchers with insight into how glycan processing enzymes regulate proteostasis and pathology.

Application Notes

Optimal dilution of the GANAB antibody should be determined by the researcher.

Immunogen

E.coli-derived human GANAB recombinant protein (Position: Q68-R944) was used as the immunogen for the GANAB antibody.

Storage

After reconstitution, the GANAB antibody can be stored for up to one month at 4oC. For long-term, aliquot and store at -20oC. Avoid repeated freezing and thawing.

Cross
Bulk Quote Request Form
Name*:
Organization*:
Email*:
Phone Number*:
Catalog No.*:
Comments and Specifics(amount, formulation, etc.)*:
Validation code: Captchapackage Image


Can't read the image? click here to refresh.
    *required field

Your bulk quote request has been submitted successfully!

Please contact us if you have any questions.