• Tel: 858.663.9055
  • SeparatorEmail: info@nsjbio.com
  • Tel: 858.663.9055
  • Email: info@nsjbio.com
Home >> Antibodies >> Gamma Parvin Antibody / PARVG

Gamma Parvin Antibody / PARVG [clone 8C5.2] (V9268)

  Catalog No Formulation Size Price (USD)  
Image V9268-100UG 0.2 mg/ml in 1X PBS with 0.1 mg/ml BSA (US sourced), 0.05% sodium azide 100 ug 559
Image
V9268-20UG 0.2 mg/ml in 1X PBS with 0.1 mg/ml BSA (US sourced), 0.05% sodium azide 20 ug 259
Image
V9268SAF-100UG 1 mg/ml in 1X PBS; BSA free, sodium azide free 100 ug 559
Bulk quote request
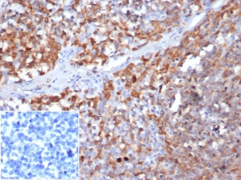
IHC staining of FFPE human tonsil tissue with Gamma Parvin antibody (clone 8C5.2) at 2ug/ml in PBS. Negative control inset: PBS instead of primary antibody to control for secondary binding. HIER: boil tissue sections in pH 9 10mM Tris with 1mM EDTA for 20 min and allow to cool before testing.
SDS-PAGE analysis of purified, BSA-free Gamma Parvin antibody (clone 8C5.2) as confirmation of integrity and purity.
Availability 1-3 business days
Species Reactivity Human
Format Purified
Host Mouse
Clonality Monoclonal (mouse origin)
Isotype Mouse IgG1, kappa
Clone Name 8C5.2
Purity Protein A/G affinity
UniProt Q9HBI0
Localization Cytoplasm, Cell Surface
Applications Western Blot : 1-2ug/ml
Immunohistochemistry (FFPE) : 1-2ug/ml
Limitations This Gamma Parvin antibody is available for research use only.
Review this product on BioCompare and get a $20 Amazon gift card

Related Products

Description

Gamma-parvin likely plays a role in the regulation of cell adhesion and cytoskeleton organization. [UniProt]

Application Notes

Optimal dilution of the Gamma Parvin antibody should be determined by the researcher.

Immunogen

GST-tagged recombinant protein corresponding to human Gamma-parvin was used as the immunogen for the Gamma Parvin antibody.

Storage

Aliquot the Gamma Parvin antibody and store frozen at -20oC or colder. Avoid repeated freeze-thaw cycles.

Cross
Bulk Quote Request Form
Name*:
Organization*:
Email*:
Phone Number*:
Catalog No.*:
Comments and Specifics(amount, formulation, etc.)*:
Validation code: Captchapackage Image


Can't read the image? click here to refresh.
    *required field

Your bulk quote request has been submitted successfully!

Please contact us if you have any questions.