• Tel: 858.663.9055
  • SeparatorEmail: info@nsjbio.com
  • Tel: 858.663.9055
  • Email: info@nsjbio.com
Home >> Antibodies >> GALNS Antibody

GALNS Antibody (F54604)

  Catalog No Formulation Size Price (USD)  
Image F54604-0.4ML In 1X PBS, pH 7.4, with 0.09% sodium azide 0.4 ml 439
Image
F54604-0.08ML In 1X PBS, pH 7.4, with 0.09% sodium azide 0.08 ml 205
Bulk quote request
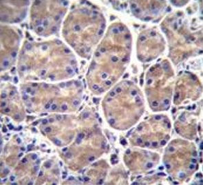
IHC testing of FFPE human stomach tissue with GALNS antibody. HIER: steam section in pH6 citrate buffer for 20 min and allow to cool prior to staining.
Immunofluorescent staining of human MCF7 cells with GALNS antibody (green) and DAPI nuclear stain (blue).
Western blot testing of human MCF7 cell lysate with GALNS antibody. Predicted molecular weight ~58 kDa.
Flow cytometry testing of human MCF7 cells with GALNS antibody; Blue=isotype control, Green= GALNS antibody.
Availability 1-3 business days
Species Reactivity Human
Format Purified
Host Rabbit
Clonality Polyclonal (rabbit origin)
Isotype Rabbit Ig
Purity Antigen affinity purified
UniProt P34059
Localization Cytoplasmic
Applications Flow Cytometry : 1:25 (1x10e6 cells)
Immunofluorescence : 1:25
Western Blot : 1:500-1:2000
Immunohistochemistry (FFPE) : 1:25
Limitations This GALNS antibody is available for research use only.
Review this product on BioCompare and get a $20 Amazon gift card

Related Products

  • Applications : WB, ELISA (peptide)
    Reactivity : Human
  • Applications : WB, IHC-P, ELISA
    Reactivity : Human, Mouse, Rat

Description

This gene encodes N-acetylgalactosamine-6-sulfatase which is a lysosomal exohydrolase required for the degradation of the glycosaminoglycans, keratan sulfate, and chondroitin 6-sulfate. Sequence alterations including point, missense and nonsense mutations, as well as those that affect splicing, result in a deficiency of this enzyme. Deficiencies of this enzyme lead to Morquio A syndrome, a lysosomal storage disorder. [provided by RefSeq].

Application Notes

The stated application concentrations are suggested starting points. Titration of the GALNS antibody may be required due to differences in protocols and secondary/substrate sensitivity.

Immunogen

A portion of amino acids 236-263 from the human protein was used as the immunogen for the GALNS antibody.

Storage

Aliquot the GALNS antibody and store frozen at -20oC or colder. Avoid repeated freeze-thaw cycles.

Cross
Bulk Quote Request Form
Name*:
Organization*:
Email*:
Phone Number*:
Catalog No.*:
Comments and Specifics(amount, formulation, etc.)*:
Validation code: Captchapackage Image


Can't read the image? click here to refresh.
    *required field

Your bulk quote request has been submitted successfully!

Please contact us if you have any questions.