• Tel: 858.663.9055
  • SeparatorEmail: info@nsjbio.com
  • Tel: 858.663.9055
  • Email: info@nsjbio.com
Home >> Antibodies >> Galectin Antibody

Galectin Antibody (R30492)

  Catalog No Formulation Size Price (USD)  
Image R30492 0.5mg/ml if reconstituted with 0.2ml sterile DI water 100 ug 449
Bulk quote request
Immunofluorescent staining of FFPE human U-2 OS cells with Galectin antibody (green) and DAPI nuclear stain (blue). HIER: steam section in pH6 citrate buffer for 20 min.
Western blot testing of Galectin antibody and Lane 1: recombinant human protein 10ng; 2: 5ng; 3: 2.5ng.
Western blot testing of human 1) HeLa, 2) MCF7, 3) COLO-320, 4) A549, 5) 22RV1 and 6) A375 cell lysate with Galectin antibody. Expected molecular weight ~14 kDa.
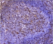
IHC staining of FFPE human tonsil with Galectin antibody. HIER: boil tissue sections in pH8 EDTA for 20 min and allow to cool before testing.
IHC staining of FFPE human glioma with Galectin antibody. HIER: boil tissue sections in pH8 EDTA for 20 min and allow to cool before testing.
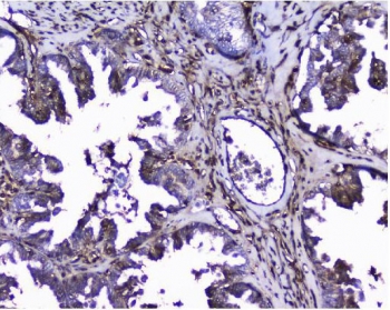
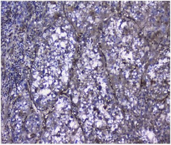
IHC staining of FFPE human stomach cancer with Galectin antibody. HIER: boil tissue sections in pH8 EDTA for 20 min and allow to cool before testing.
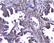
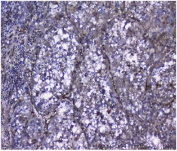
IHC staining of FFPE human ovarian cancer with Galectin antibody. HIER: boil tissue sections in pH8 EDTA for 20 min and allow to cool before testing.
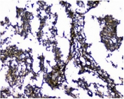
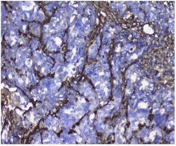
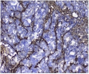
IHC staining of FFPE human liver cancer with Galectin antibody. HIER: boil tissue sections in pH8 EDTA for 20 min and allow to cool before testing.
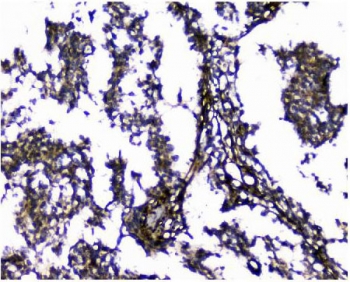
IHC staining of frozen human placenta with Galectin antibody.
Flow cytometry testing of human PC-3 cells with Galectin antibody at 1ug/million cells (blocked with goat sera); Red=cells alone, Green=isotype control, Blue= Galectin antibody.
Availability 1-3 business days
Species Reactivity Human
Format Antigen affinity purified
Host Rabbit
Clonality Polyclonal (rabbit origin)
Isotype Rabbit IgG
Purity Antigen affinity
Buffer Lyophilized from 1X PBS with 2.5% BSA and 0.025% sodium azide/thimerosal
UniProt P09382
Applications Western Blot : 0.5-1ug/ml
Immunohistochemistry (FFPE) : 1-2ug/ml
Immunohistochemistry (frozen) : 1-2ug/ml
Immunofluorescence (FFPE) : 2-4ug/ml
Flow Cytometry : 1-3ug/million cells
Limitations This Galectin antibody is available for research use only.
Review this product on BioCompare and get a $20 Amazon gift card

Related Products

Description

Galectin 1 is a protein that in humans is encoded by the LGALS1 gene. Galectins belong to a family of related beta-galactoside-binding lectins, also referred to as S-type or S-Lac lectins. Its gene is mapped to 22q12-q13. Galectin 1 was expressed in a subset of slowly dividing subventricular zone astrocytes, which included the neural stem cells. It has been considered as an autocrine negative growth factor that regulates cell proliferation.

Application Notes

The stated application concentrations are suggested starting amounts. Titration of the Galectin antibody may be required due to differences in protocols and secondary/substrate sensitivity.

Immunogen

An amino acid sequence from the C-terminus of human Galectin (NYMAADGDFKIKCVAFD) was used as the immunogen for this Galectin antibody.

Storage

After reconstitution, the Galectin antibody can be stored for up to one month at 4oC. For long-term, aliquot and store at -20oC. Avoid repeated freezing and thawing.

Cross
Bulk Quote Request Form
Name*:
Organization*:
Email*:
Phone Number*:
Catalog No.*:
Comments and Specifics(amount, formulation, etc.)*:
Validation code: Captchapackage Image


Can't read the image? click here to refresh.
    *required field

Your bulk quote request has been submitted successfully!

Please contact us if you have any questions.