• Tel: 858.663.9055
  • SeparatorEmail: info@nsjbio.com
  • Tel: 858.663.9055
  • Email: info@nsjbio.com
Home >> Antibodies >> Galectin 13 Antibody / LGALS13

Galectin 13 Antibody / LGALS13 [clone PP13/1161] (V3295)

  Catalog No Formulation Size Price (USD)  
Image V3295-100UG 0.2 mg/ml in 1X PBS with 0.1 mg/ml BSA (US sourced) and 0.05% sodium azide 100 ug 559
Image
V3295-20UG 0.2 mg/ml in 1X PBS with 0.1 mg/ml BSA (US sourced) and 0.05% sodium azide 20 ug 259
Image
V3295SAF-100UG 1 mg/ml in 1X PBS; BSA free, sodium azide free 100 ug 559
Bulk quote request
IHC testing of FFPE human placenta with Galectin 13 antibody (clone PP13/1161). Required HIER: boil tissue sections in 10mM Tris with 1mM EDTA, pH 9 or 10mM Citrate buffer, pH 6, for 10-20.
IHC testing of FFPE human spleen with Galectin 13 antibody (clone PP13/1161). Required HIER: boil tissue sections in 10mM Tris with 1mM EDTA, pH 9 or 10mM Citrate buffer, pH 6, for 10-20.
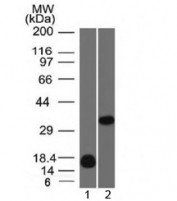
Western blot testing of 1) human partial recombinant protein and 2) human K562 cell lysate with Galectin 13 antibody (clone PP13/1161). Expected molecular weight ~16 kDa (monomer) and ~32 kDa (dimer).
Western blot testing of human K562 cell lysate with Galectin 13 antibody (clone PP13/1161). Expected molecular weight ~16 kDa (monomer) and ~32 kDa (dimer).
SDS-PAGE analysis of purified, BSA-free Galectin 13 antibody (clone PP13/1161) as confirmation of integrity and purity.
Western blot testing of human placental tissue lysate with Galectin 13 antibody (clone PP13/1161). Expected molecular weight ~16 kDa (monomer) and ~32 kDa (dimer).
Availability 1-3 business days
Species Reactivity Human
Format Purified
Host Mouse
Clonality Monoclonal (mouse origin)
Isotype Mouse IgG2b, kappa
Clone Name PP13/1161
Purity Protein G affinity chromatography
UniProt Q9UHV8
Localization Cytoplasmic, cell surface
Applications Flow Cytometry : 0.5-1ug/million cells
Immunofluorescence : 0.5-1ug/ml
Western Blot : 0.5-1ug/ml
Immunohistochemistry (FFPE) : 0.5-1ug/ml for 30 min at RT
Limitations This Galectin 13 antibody is available for research use only.
Review this product on BioCompare and get a $20 Amazon gift card

Related Products

Description

It recognizes a 32kDa protein, which is identified as homodimer of LGALS13/Galectin 13 (also known as PP13). Galectins are a family of soluble β-galactoside-binding lectins that modulate cell-to-cell adhesion and cell-to-extracellular matrix (ECM) interactions and play a role in tumor progression, pre-mRNA splicing and apoptosis. One such member, Galectin 13, is a 139 amino acid protein that contains one galectin domain. Possessing lysophospholipase activity, Galectin-13 exists as a disulfide-linked homodimer. Galectin 13 is suggested to have a developmental role in the placenta and may display immunobiological activity in feto-maternal blood-spaces. Screening for Galectin 13 in maternal serum during the first trimester of pregnancy may serve as a diagnostic marker to predict preterm pre-eclampsia.

Application Notes

Titering of the Galectin 13 antibody may be required for optimal performance.

Immunogen

A human partial recombinant protein corresponding to amino acids 23-134 was used as the immunogen for the Galectin 13 antibody.

Storage

Store the Galectin 13 antibody at 2-8oC (with azide) or aliquot and store at -20oC or colder (without azide).

Cross
Bulk Quote Request Form
Name*:
Organization*:
Email*:
Phone Number*:
Catalog No.*:
Comments and Specifics(amount, formulation, etc.)*:
Validation code: Captchapackage Image


Can't read the image? click here to refresh.
    *required field

Your bulk quote request has been submitted successfully!

Please contact us if you have any questions.