• Tel: 858.663.9055
  • SeparatorEmail: info@nsjbio.com
  • Tel: 858.663.9055
  • Email: info@nsjbio.com
Home >> Antibodies >> Galectin 1 Antibody

Galectin 1 Antibody (R31924)

  Catalog No Formulation Size Price (USD)  
Image R31924 0.5mg/ml if reconstituted with 0.2ml sterile DI water 100 ug 449
Bulk quote request
IF/ICC staining of FFPE human U-2 OS cells with Galectin 1 antibody (green) at 2ug/ml and DAPI nuclear stain (blue). HIER: steam section in pH6 citrate buffer for 20 min.
IHC testing of FFPE human placenta with Galectin 1 antibody. HIER: Boil the paraffin sections in pH 6, 10mM citrate buffer for 20 minutes and allow to cool prior to staining.
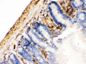
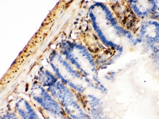
IHC testing of FFPE mouse intestinal cancer with Galectin 1 antibody. HIER: Boil the paraffin sections in pH 6, 10mM citrate buffer for 20 minutes and allow to cool prior to staining.
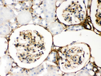
IHC testing of FFPE rat kidney with Galectin 1 antibody. HIER: Boil the paraffin sections in pH 6, 10mM citrate buffer for 20 minutes and allow to cool prior to staining.
Western blot testing of 1) rat testis, 2) mouse spleen, 3) human HeLa and 4) human SMCC lysate with Galectin 1 antibody. Expected molecular weight: ~15 kDa.
Flow cytometry testing of human PC-3 cells with Galectin 1 antibody at 1ug/million cells (blocked with goat sera); Red=cells alone, Green=isotype control, Blue= Galectin 1 antibody.
Availability 1-3 business days
Species Reactivity Human, Mouse, Rat
Format Antigen affinity purified
Host Rabbit
Clonality Polyclonal (rabbit origin)
Isotype Rabbit IgG
Purity Antigen affinity
Buffer Lyophilized from 1X PBS with 2.5% BSA and 0.025% sodium azide
UniProt P09382
Localization Cytoplasmic, secreted
Applications Western Blot : 0.1-0.5ug/ml
Immunohistochemistry (FFPE) : 0.5-1ug/ml
Immunofluorescence : 2-4ug/ml
Flow Cytometry : 1-3ug/million cells
ELISA : 0.1-0.5ug/ml (human protein tested); request BSA-free format for coating
Limitations This Galectin 1 antibody is available for research use only.
Review this product on BioCompare and get a $20 Amazon gift card

Related Products

Description

Galectin-1 is a protein that in humans is encoded by the LGALS1 gene. The galectins are a family of beta-galactoside-binding proteins implicated in modulating cell-cell and cell-matrix interactions. Galectin-1 may act as an autocrine negative growth factor that regulates cell proliferation. Galectin-1 expression in Hodgkin Lymphoma has also been shown to mediate immunosuppression of CD8+ T-cells. It is thought to play a role in creatingimmune tolerance in pregnancy. It has been found that Galectin-1-mediated production of IL6 may assist in augmenting the innate immune response against NiV. Galectin-1 may also be a significant factor that augments the efficiency of the HIV-1 infection process.

Application Notes

Optimal dilution of the Galectin 1 antibody should be determined by the researcher.

Immunogen

Amino acids 2-135 of human Galectin 1 were used as the immunogen for the Galectin 1 antibody.

Storage

After reconstitution, the Galectin 1 antibody can be stored for up to one month at 4oC. For long-term, aliquot and store at -20oC. Avoid repeated freezing and thawing.

Cross
Bulk Quote Request Form
Name*:
Organization*:
Email*:
Phone Number*:
Catalog No.*:
Comments and Specifics(amount, formulation, etc.)*:
Validation code: Captchapackage Image


Can't read the image? click here to refresh.
    *required field

Your bulk quote request has been submitted successfully!

Please contact us if you have any questions.