• Tel: 858.663.9055
  • SeparatorEmail: info@nsjbio.com
  • Tel: 858.663.9055
  • Email: info@nsjbio.com
Home >> Antibodies >> Galectin 1 Antibody

Galectin 1 Antibody [clone GAL1/1831] (V3201)

  Catalog No Formulation Size Price (USD)  
Image V3201-100UG 0.2 mg/ml in 1X PBS with 0.1 mg/ml BSA (US sourced) and 0.05% sodium azide 100 ug 559
Image
V3201-20UG 0.2 mg/ml in 1X PBS with 0.1 mg/ml BSA (US sourced) and 0.05% sodium azide 20 ug 259
Image
V3201SAF-100UG 1 mg/ml in 1X PBS; BSA free, sodium azide free 100 ug 559
Microvalidated
Bulk quote request
Western blot testing of human 1) JEG-3 and 2) K562 cell lysate with Galectin 1 antibody (clone GAL1/1831). Expected molecular weight ~14 kDa.
Western blot testing of human HeLa cell lysate with Galectin 1 antibody (clone GAL1/1831). Expected molecular weight ~14 kDa.
Western blot testing of human 1) HeLa, 2) K562 and 3) HEK293 cell lysate with Galectin 1 antibody (clone GAL1/1831). Expected molecular weight ~14 kDa.
Immunofluorescent staining of permeabilized human HeLa cells with Galectin 1 antibody (clone GAL1/1831, green) and Reddot nuclear stain (red).
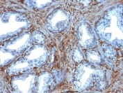
IHC testing of FFPE human prostate carcinoma with Galectin 1 antibody (clone GAL1/1831). Required HIER: boil tissue sections in 10mM citrate buffer, pH 6, for 10-20 min.
Analysis of HuProt(TM) microarray containing more than 19,000 full-length human proteins using Galectin 1 antibody (clone GAL1/1831). These results demonstrate the foremost specificity of the GAL1/1831 mAb. Z- and S- score: The Z-score represents the strength of a signal that an antibody (in combination with a fluorescently-tagged anti-IgG secondary Ab) produces when binding to a particular protein on the HuProt(TM) array. Z-scores are described in units of standard deviations (SD's) above the mean value of all signals generated on that array. If the targets on the HuProt(TM) are arranged in descending order of the Z-score, the S-score is the difference (also in units of SD's) between the Z-scores. The S-score therefore represents the relative target specificity of an Ab to its intended target.
SDS-PAGE analysis of purified, BSA-free Galectin 1 antibody (clone GAL1/1831) as confirmation of integrity and purity.
Availability 1-3 business days
Species Reactivity Human
Format Purified
Host Mouse
Clonality Monoclonal (mouse origin)
Isotype Mouse IgG1, lambda
Clone Name GAL1/1831
Purity Protein G affinity chromatography
UniProt P09382
Localization Cytoplasmic, secreted
Applications ELISA : 2-4ug/ml (order BSA/azide-free format)
Immunofluorescence : 1-2ug/ml
Western Blot : 1-2ug/ml
Immunohistochemistry (FFPE) : 0.5-1ug/ml for 30 min at RT
Limitations This Galectin 1 antibody is available for research use only.
Review this product on BioCompare and get a $20 Amazon gift card

Related Products

Description

Galectin 1 antibody is a valuable tool for research into carbohydrate binding proteins that regulate immune responses, cell adhesion, and tumor biology. Galectin 1 is a member of the galectin family, characterized by their affinity for beta galactoside containing glycoconjugates. Expressed in a wide variety of tissues, Galectin 1 influences cell communication, angiogenesis, and immune tolerance. Its multifunctional properties make it central to studies in immunology, oncology, and neurobiology.

This protein is secreted into the extracellular environment, where it interacts with glycoproteins on the cell surface to modulate signaling pathways. Galectin 1 regulates T cell apoptosis and suppresses inflammatory responses, contributing to immune homeostasis. Within the tumor microenvironment, it promotes angiogenesis and immune evasion, processes that support tumor progression. The widespread biological effects of Galectin 1 reflect its ability to integrate carbohydrate recognition with intracellular signaling networks.

The Galectin 1 antibody clone GAL1/1831 provides specific recognition of Galectin 1 protein, enabling researchers to monitor expression patterns across different tissues and experimental models. Clone GAL1/1831 has been tested for reproducibility and consistency, ensuring dependable results for those studying the regulatory roles of this lectin. It has been used in developmental biology, where Galectin 1 contributes to neuronal growth and differentiation, and in cancer biology, where it marks processes linked to invasion and metastasis.

Research into Galectin 1 has expanded understanding of how immune cells are regulated under both healthy and diseased conditions. In autoimmune disorders, altered Galectin 1 expression is associated with disease progression. In cardiovascular research, Galectin 1 has been studied for its role in vascular remodeling and repair. The multifunctional nature of this protein ensures broad applicability in studies aimed at defining cellular interactions and signaling events.

NSJ Bioreagents provides this Galectin 1 antibody to support diverse fields of biomedical research. By incorporating this product into experimental workflows, investigators gain a consistent reagent for exploring the regulatory mechanisms controlled by Galectin 1. Researchers may also encounter this protein under alternate designations such as LGALS1 antibody, beta galactoside binding protein antibody, HBL antibody, and lectin galactoside binding soluble 1 antibody, reflecting the varied nomenclature used across scientific literature.

Application Notes

Titering of the Galectin 1 antibody may be required for optimal performance.

Immunogen

A human partial recombinant protein corresponding to amino acids 12-108 was used as the immunogen for the Galectin 1 antibody.

Storage

Store the Galectin 1 antibody at 2-8oC (with azide) or aliquot and store at -20oC or colder (without azide).

Cross
Bulk Quote Request Form
Name*:
Organization*:
Email*:
Phone Number*:
Catalog No.*:
Comments and Specifics(amount, formulation, etc.)*:
Validation code: Captchapackage Image


Can't read the image? click here to refresh.
    *required field

Your bulk quote request has been submitted successfully!

Please contact us if you have any questions.