• Tel: 858.663.9055
  • SeparatorEmail: info@nsjbio.com
  • Tel: 858.663.9055
  • Email: info@nsjbio.com
Home >> Antibodies >> GAD65 Antibody Rabbit Polyclonal

GAD65 Antibody Rabbit Polyclonal (R30474)

  Catalog No Formulation Size Price (USD)  
Image R30474 0.5mg/ml if reconstituted with 0.2ml sterile DI water 100 ug 449
Bulk quote request
GAD65 Antibody Rat Brain WB. Western blot testing of polyclonal GAD65 antibody and rat brain tissue lysate. Predicted molecular weight ~65 kDa.
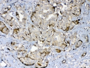
GAD65 Antibody Rat Brain IHC. Immunohistochemistry of GAD65 Antibody Rabbit Polyclonal in rat brain tissue. Formalin-fixed, paraffin-embedded rat brain sections demonstrate cytoplasmic HRP-DAB brown staining in neuronal cell bodies and processes, consistent with the known enrichment of Glutamate decarboxylase 2 (GAD65) in GABAergic neurons. Surrounding neuropil shows diffuse cytoplasmic signal, while non-neuronal cells display minimal staining. Heat-induced epitope retrieval was performed by steaming sections in pH 6 citrate buffer for 20 min prior to antibody incubation.
Availability 1-3 business days
Species Reactivity Human, Mouse, Rat
Format Antigen affinity purified
Host Rabbit
Clonality Polyclonal (rabbit origin)
Isotype Rabbit IgG
Purity Antigen affinity
Buffer Lyophilized from 1X PBS with 2.5% BSA and 0.025% sodium azide/thimerosal
UniProt Q05329
Localization Cytoplasmic, membranous
Applications Western Blot : 0.5-1ug/ml
IHC (FFPE) : 0.5-1ug/ml
Limitations This GAD65 antibody is available for research use only.
Review this product on BioCompare and get a $20 Amazon gift card

Related Products

Description

Glutamate decarboxylase 2 is a pyridoxal phosphate-dependent enzyme encoded by the GAD2 gene and commonly referred to as GAD65. GAD65 Antibody Rabbit Polyclonal targets this 65 kDa isoform of glutamate decarboxylase, a cytoplasmic enzyme responsible for converting glutamate into gamma-aminobutyric acid, the principal inhibitory neurotransmitter in the central nervous system. GAD2 is located on chromosome 10p11.23 and is highly expressed in GABAergic neurons, where it plays a central role in maintaining inhibitory synaptic tone.

GAD65 is primarily localized to the cytoplasmic surface of synaptic vesicles and nerve terminals, distinguishing it functionally from the related isoform GAD67, encoded by GAD1. While both isoforms catalyze GABA synthesis, GAD65 is particularly associated with activity-dependent neurotransmitter production and rapid synaptic regulation. High levels of GAD2 expression are observed in cortex, hippocampus, cerebellum, and basal ganglia, reflecting the distribution of inhibitory interneurons throughout the brain.

Beyond the nervous system, GAD65 is also expressed in pancreatic islet beta cells, where it contributes to local GABA signaling and has been extensively studied as an autoantigen in type 1 diabetes research. Altered expression or immune targeting of GAD65 has been linked to autoimmune diabetes as well as certain neurological disorders involving disrupted inhibitory neurotransmission. Because of its tissue-restricted and cell-type-specific expression pattern, detection of GAD65 can support studies focused on neuronal identity, synaptic function, and neuroendocrine cell characterization.

As a rabbit polyclonal reagent, GAD65 Antibody Rabbit Polyclonal recognizes multiple epitopes on the target protein, which can enhance detection sensitivity in samples with varying fixation or processing conditions. A GAD65 antibody is suitable for research applications investigating inhibitory neuron populations, islet cell biology, and disease-associated alterations in GABAergic signaling pathways.

For highly specific detection of GAD65 in inhibitory synaptic signaling studies, see our GAD65 Antibody / Synaptic GABA Marker Antibody page featuring clone GAD2/2362 with strong HuProt(TM) microarray specificity validation data.

Application Notes

The stated application concentrations are suggested starting points. Titration of the GAD65 antibody rabbit polyclonal may be required due to differences in protocols and secondary/substrate sensitivity.

Immunogen

An amino acid sequence from the N-terminus of the human protein (ENPGTARAWCQVAQKFT) was used as the immunogen for this GAD65 antibody (100% homologous in human, mouse and rat).

Storage

After reconstitution, the GAD65 antibody can be stored for up to one month at 4oC. For long-term, aliquot and store at -20oC. Avoid repeated freezing and thawing.

Cross
Bulk Quote Request Form
Name*:
Organization*:
Email*:
Phone Number*:
Catalog No.*:
Comments and Specifics(amount, formulation, etc.)*:
Validation code: Captchapackage Image


Can't read the image? click here to refresh.
    *required field

Your bulk quote request has been submitted successfully!

Please contact us if you have any questions.