• Tel: 858.663.9055
  • SeparatorEmail: info@nsjbio.com
  • Tel: 858.663.9055
  • Email: info@nsjbio.com
Home >> Antibodies >> GAD1 Antibody / Glutamate Decarboxylase 1 Antibody

GAD1 Antibody / Glutamate Decarboxylase 1 Antibody [clone BICCN-GAD67-1A6] (V5904)

  Catalog No Formulation Size Price (USD)  
Image V5904-100UG 0.2 mg/ml in 1X PBS with 0.05% BSA, 0.05% sodium azide 100 ug 559
Image
V5904-20UG 0.2 mg/ml in 1X PBS with 0.05% BSA, 0.05% sodium azide 20 ug 259
Image
V5904SAF-100UG 1 mg/ml in 1X PBS; BSA free, sodium azide free 100 ug 559
Microvalidated
Bulk quote request
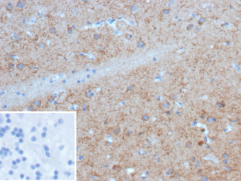
GAD1 Antibody Brain IHC. Immunohistochemistry analysis of FFPE human brain tissue stained with GAD1 Antibody demonstrates diffuse cytoplasmic HRP-DAB brown staining throughout neuronal cell bodies and neural processes, consistent with Glutamate decarboxylase 1 / GAD67 expression in GABAergic neuronal populations. This Glutamate decarboxylase 1 antibody highlights inhibitory neurotransmitter-associated signaling pathways and neuronal differentiation within central nervous system tissue. Inset: PBS-only negative control processed without primary antibody demonstrates minimal non-specific background staining.
GAD1 Antibody Brain WB. Western blot analysis of human brain tissue lysate using GAD1 Antibody detects a strong band at approximately 67 kDa, consistent with the expected molecular weight of Glutamate decarboxylase 1 / GAD67. This Glutamate decarboxylase 1 antibody highlights abundant expression of inhibitory neurotransmitter-associated signaling machinery within neural tissue and supports characterization of GABAergic neuronal differentiation pathways.
GAD1 Antibody Protein Microarray Validation. Analysis of HuProt(TM) microarray containing more than 19,000 full-length human proteins using GAD1 Antibody demonstrates highly selective recognition of GAD1 / GAD67 with strong separation from non-target proteins across the tested human proteome. Clone BICCN-GAD67-1A6 shows highly specific target recognition with an S-score exceeding the commonly accepted specificity threshold of 2.5, supporting selective detection of inhibitory neurotransmitter-associated signaling pathways and GABAergic neuronal differentiation markers. The Z-score represents the strength of antibody binding signal relative to the overall array mean, while the S-score reflects target specificity relative to the next highest ranked protein signal. Elevated S-score separation supports preferential target recognition with minimal off-target binding across the tested human proteome.
SDS-PAGE analysis of purified GAD1/Glutamate decarboxylase 1 antibody (clone BICCN-GAD67-1A6). Confirmation of Purity and Integrity of Antibody.
Species Reactivity Human
Format Purified
Host Mouse
Clonality Monoclonal (mouse origin)
Isotype Mouse IgG2c, kappa
Clone Name BICCN-GAD67-1A6
UniProt Q99259
Localization Cytoplasm
Applications Western Blot : 2-4ug/ml
Immunohistochemistry (FFPE) : 1-2ug/ml
Limitations This GAD1 Antibody / Glutamate Decarboxylase 1 Antibody is available for research use only.
Review this product on BioCompare and get a $20 Amazon gift card

Related Products

  • Applications : WB, IHC
    Reactivity : Human, Mouse, Rat, Pig
    Recrabbitmono
  • Applications : ELISA, WB, IHC-P
    Reactivity : Human
    Microvalidated
  • Applications : ELISA, FACS, WB
    Reactivity : Human
    Microvalidated
  • Applications : WB
    Reactivity : Human, Rat
  • Applications : WB, ELISA (peptide)
    Reactivity : Human
    Pred. Reactivity : Mouse, Rat, Dog, Pig, Cow
  • Applications : WB, ELISA (peptide)
    Reactivity : Human, Mouse
    Pred. Reactivity : Rat, Dog, Pig, Cow

Description

Glutamate decarboxylase 1 (GAD1), commonly known as GAD67, is a pyridoxal phosphate-dependent enzyme that catalyzes conversion of glutamate into gamma-aminobutyric acid (GABA), the major inhibitory neurotransmitter within the central nervous system. GAD1 expression is strongly associated with inhibitory neuronal populations and contributes to regulation of neuronal excitability, synaptic inhibition, cortical signaling balance, and neural circuit organization. GAD1 Antibody is useful for investigations involving inhibitory neurotransmitter biology, interneuron differentiation, GABAergic signaling pathways, and neurodevelopment-associated cellular regulation.

GAD1 antibody, also referred to as GAD67 antibody and Glutamate decarboxylase 67 antibody in the literature, recognizes a predominantly cytoplasmic neuronal enzyme encoded on chromosome 2q31. GAD1 localizes mainly within neuronal soma and presynaptic compartments where it supports constitutive GABA synthesis required for inhibitory neurotransmission. Expression of GAD1 is enriched within inhibitory interneurons throughout cortical and subcortical neural tissues and has been associated with neurodevelopmental disorders, epilepsy, schizophrenia, neurodegeneration, and neural lineage-associated tumor biology.

GAD1 Antibody / Glutamate Decarboxylase 1 Antibody (clone BICCN-GAD67-1A6) is uniquely positioned for studies involving GABAergic signaling pathways and inhibitory neuronal differentiation. This mouse monoclonal antibody demonstrates strong western blot and immunohistochemical detection together with HuProt(TM) microarray specificity validation against more than 19,000 full-length human proteins. The combined validation profile supports use of clone BICCN-GAD67-1A6 in investigations involving inhibitory neuronal lineage characterization, neurotransmitter-associated signaling pathways, and neurodevelopment-associated cellular regulation.

Analysis of HuProt(TM) microarrays containing more than 19,000 individually purified full-length human proteins demonstrated selective recognition of GAD1/GAD67 by clone BICCN-GAD67-1A6. In HuProt(TM) analysis, the Z-score represents the strength of antibody binding signal relative to the overall array mean, while the S-score reflects target specificity relative to the next highest ranked protein signal. Elevated S-score separation supports preferential target recognition and reduced off-target binding across the tested human proteome. This specificity validation strategy supports reliable detection of inhibitory neurotransmitter-associated pathways in complex neural tissues.

GAD1 contributes directly to inhibitory synaptic regulation through sustained GABA production required for suppression of excitotoxic signaling and maintenance of neuronal network balance. Because GAD1 expression is highly associated with inhibitory neuronal populations, it serves as an important marker for investigations involving interneuron organization, inhibitory cortical circuitry, and GABAergic neuronal differentiation. GAD1 additionally represents a useful marker in studies involving neural lineage-associated tumors and developmental neural signaling pathways.

This GAD1 Antibody supports research involving GABA synthesis, inhibitory neurotransmitter signaling, interneuron differentiation, synaptic inhibition pathways, neural circuit organization, neurodevelopment-associated regulation, and GABAergic neuronal biology. Clone BICCN-GAD67-1A6 may be incorporated into western blot, immunohistochemistry, and tissue-based investigations examining inhibitory neural signaling pathways in normal and diseased tissues.

For highly specific detection of GAD67 in inhibitory neurotransmitter pathway studies, see our GAD67 Antibody / GABA Synthesis Enzyme Antibody page featuring strong HuProt(TM) microarray specificity validation data.

Application Notes

Optimal dilution of the GAD1 Antibody / Glutamate Decarboxylase 1 Antibody should be determined by the researcher.

Immunogen

Recombinant human GAD1 (GAD67) protein (exact sequence is proprietary) was used as the immunogen for the GAD1 / Glutamate decarboxylase 1 antibody.

Storage

GAD1 / Glutamate decarboxylase 1 antibody with sodium azide - store at 2 to 8oC; antibody without sodium azide - store at -20 to -80oC.

Alternate Names

GAD1 antibody, GAD67 antibody, Glutamate decarboxylase 1 antibody, Glutamate decarboxylase 67 antibody, Gamma-aminobutyric acid synthesis enzyme antibody

Cross
Bulk Quote Request Form
Name*:
Organization*:
Email*:
Phone Number*:
Catalog No.*:
Comments and Specifics(amount, formulation, etc.)*:
Validation code: Captchapackage Image


Can't read the image? click here to refresh.
    *required field

Your bulk quote request has been submitted successfully!

Please contact us if you have any questions.